Recurrence of chronic encapsulated hematoma following cyst formation after stereotactic radiosurgery for brain arteriovenous malformations: a case report.

Q2 Medicine
Iñigo L Sistiaga, Gregorio Catalán-Uribarrena, Silvia Gamba, Alejandro Carrasco, Laura Zaldumbide, Lorena Mosteiro, Iñigo Pomposo
{"title":"Recurrence of chronic encapsulated hematoma following cyst formation after stereotactic radiosurgery for brain arteriovenous malformations: a case report.","authors":"Iñigo L Sistiaga, Gregorio Catalán-Uribarrena, Silvia Gamba, Alejandro Carrasco, Laura Zaldumbide, Lorena Mosteiro, Iñigo Pomposo","doi":"10.1186/s41016-025-00387-6","DOIUrl":null,"url":null,"abstract":"<p><strong>Background: </strong>Delayed radiation-induced complications after stereotactic radiosurgery (SRS) for arteriovenous malformations (AVM) have scarcely been described in the literature, and their incidence, pathophysiology, and treatment remain unclear. Additionally, the literature regarding these complications is confusing. The authors present a well-documented case report describing these late complications, adding evidence to the possible common pathophysiological mechanism underlying them, and illustrating an effective treatment modality when they occur.</p><p><strong>Case presentation: </strong>A case of a 28-year-old male with an increasing cyst formation (CF) appearing 10 years after SRS for AVM is presented. Despite surgical treatment, due to the incomplete resection of the angiomatous nodule, recurrence as a chronic encapsulated expanding hematoma (CEEH) occurred. This relapse required a second treatment, which could have been avoided if aggressive surgical treatment had been performed initially.</p><p><strong>Conclusions: </strong>This case highlights the continuum between CF and CEEH, challenging existing confusion in the literature. Complete resection of the angiomatous nodule associated with CF is imperative for achieving resolution and preventing recurrence.</p>","PeriodicalId":36700,"journal":{"name":"Chinese Neurosurgical Journal","volume":"11 1","pages":"1"},"PeriodicalIF":0.0000,"publicationDate":"2025-01-13","publicationTypes":"Journal Article","fieldsOfStudy":null,"isOpenAccess":false,"openAccessPdf":"https://www.ncbi.nlm.nih.gov/pmc/articles/PMC11726904/pdf/","citationCount":"0","resultStr":null,"platform":"Semanticscholar","paperid":null,"PeriodicalName":"Chinese Neurosurgical Journal","FirstCategoryId":"3","ListUrlMain":"https://doi.org/10.1186/s41016-025-00387-6","RegionNum":0,"RegionCategory":null,"ArticlePicture":[],"TitleCN":null,"AbstractTextCN":null,"PMCID":null,"EPubDate":"","PubModel":"","JCR":"Q2","JCRName":"Medicine","Score":null,"Total":0}
引用次数: 0

Abstract

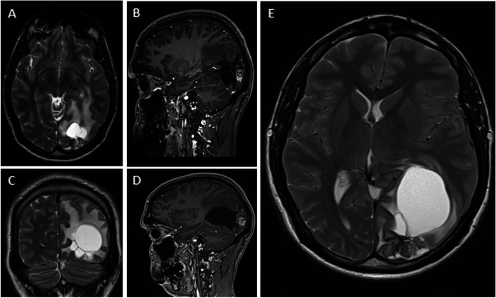
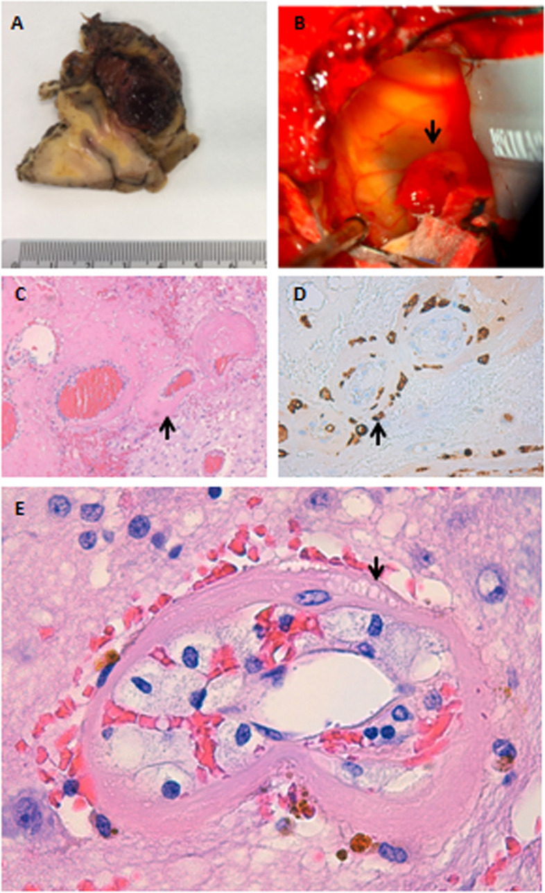
Background: Delayed radiation-induced complications after stereotactic radiosurgery (SRS) for arteriovenous malformations (AVM) have scarcely been described in the literature, and their incidence, pathophysiology, and treatment remain unclear. Additionally, the literature regarding these complications is confusing. The authors present a well-documented case report describing these late complications, adding evidence to the possible common pathophysiological mechanism underlying them, and illustrating an effective treatment modality when they occur.

Case presentation: A case of a 28-year-old male with an increasing cyst formation (CF) appearing 10 years after SRS for AVM is presented. Despite surgical treatment, due to the incomplete resection of the angiomatous nodule, recurrence as a chronic encapsulated expanding hematoma (CEEH) occurred. This relapse required a second treatment, which could have been avoided if aggressive surgical treatment had been performed initially.

Conclusions: This case highlights the continuum between CF and CEEH, challenging existing confusion in the literature. Complete resection of the angiomatous nodule associated with CF is imperative for achieving resolution and preventing recurrence.

Abstract Image

Abstract Image

Abstract Image

脑动静脉畸形立体定向放射治疗后囊肿形成后慢性囊性血肿复发1例。
背景:立体定向放射外科手术(SRS)治疗动静脉畸形(AVM)后的延迟辐射诱发并发症在文献中鲜有描述,其发生率、病理生理学和治疗方法仍不清楚。此外,有关这些并发症的文献也很混乱。作者提交了一份记录详实的病例报告,描述了这些晚期并发症,为这些并发症可能存在的共同病理生理机制提供了证据,并说明了发生这些并发症时的有效治疗方法:病例介绍:这是一例 28 岁男性的病例,他在因 AVM 接受 SRS 治疗 10 年后出现囊肿增大(CF)。尽管进行了手术治疗,但由于血管瘤结节切除不彻底,导致慢性包裹性扩张血肿(CEEH)复发。这次复发需要进行第二次治疗,如果一开始就进行积极的手术治疗,本可以避免复发:本病例强调了 CF 和 CEEH 之间的连续性,对文献中存在的混淆提出了质疑。彻底切除与 CF 相关的血管瘤结节对于治愈和预防复发至关重要。
本文章由计算机程序翻译,如有差异,请以英文原文为准。
求助全文
约1分钟内获得全文 求助全文
来源期刊
CiteScore
2.70
自引率
0.00%
发文量
224
审稿时长
10 weeks
×
引用
GB/T 7714-2015
复制
MLA
复制
APA
复制
导出至
BibTeX EndNote RefMan NoteFirst NoteExpress
×
提示
您的信息不完整,为了账户安全,请先补充。
现在去补充
×
提示
您因"违规操作"
具体请查看互助需知
我知道了
×
提示
确定
请完成安全验证×
copy
已复制链接
快去分享给好友吧!
我知道了
右上角分享
点击右上角分享
0
联系我们:info@booksci.cn Book学术提供免费学术资源搜索服务,方便国内外学者检索中英文文献。致力于提供最便捷和优质的服务体验。 Copyright © 2023 布克学术 All rights reserved.
京ICP备2023020795号-1
ghs 京公网安备 11010802042870号
Book学术文献互助
Book学术文献互助群
群 号:604180095
Book学术官方微信