[Pachymic acid promotes brown/beige adipocyte differentiation and lipid metabolism in preadipocytes].

Q2 Medicine
Kunling Chen, Xiaobing Dou, Yiyou Lin, Danyao Bai, Yangzhou Luo, Liping Zhou
{"title":"[Pachymic acid promotes brown/beige adipocyte differentiation and lipid metabolism in preadipocytes].","authors":"Kunling Chen, Xiaobing Dou, Yiyou Lin, Danyao Bai, Yangzhou Luo, Liping Zhou","doi":"10.3724/zdxbyxb-2024-0355","DOIUrl":null,"url":null,"abstract":"<p><strong>Objectives: </strong>To investigate the effect of pachymic acid on brown/beige adipocyte differentiation and lipid metabolism in preadipocytes.</p><p><strong>Methods: </strong>3T3-L1 MBX cells were induced to differentiate into beige adipocytes using a brown cocktail method. The impact of pachymic acid on the viability of 3T3-L1 MBX cells was evaluated using the CCK-8 assay. The formation of lipid droplets following treatment with pachymic acid was observed by oil red O staining. The mRNA expression levels of key browning genes, including uncoupling protein (Ucp) 1, the peroxisome proliferator activated receptor-γ coactivator (Pgc)-1α, and the PR domain-containing protein 16 (Prdm16), as well as the mRNA expression of sterol regulatory element-binding protein (Srebp) 1c, acetyl-coA carboxylase (Acc), fatty acid synthase (Fas), and hormone-sensitive triglyceride lipase (Hsl), adipose triglyceride lipase (Atgl), and carnitine palmitoyltransferase (Cpt) 1 were detected by quantitative reverse transcription polymerase chain reaction. The protein expression of Ucp1, Pgc-1a, and Prdm16 was detected by Western blotting.</p><p><strong>Results: </strong>The 3T3-L1 MBX cells were induced <i>in vitro</i> to form beige adipocytes with high expression of key browning genes(<i>Ucp1</i>, <i>Pgc-1α</i>, and <i>Prdm16</i>), and beige adipose-marker genes (<i>Cd137</i>, <i>Tbx1</i>, and <i>Tmem26</i>). Concentrations range of 0-80 μmol/L pachymic acid were non-cytotoxic to 3T3-L1 MBX cells. Pachymic acid treatment significantly inhibited the differentiation of 3T3-L1 MBX cells, resulting in a notable decrease in lipid accumulation. There was a marked increase in the expression of key browning genes and their proteins products, such as Ucp1, Pgc-1α, and Prdm16, while the expressions of fat synthesis-related genes <i>Srebp1c</i>, <i>Acc</i> and <i>Fas</i> were significantly decreased (all <i>P<</i>0.05). The expressions of lipolysis-related genes (<i>Hsl</i>, <i>Atgl</i>, and <i>Cpt1</i>) were significantly increased (all <i>P</i><0.05). Treatment with 20 μmol/L pachymic acid showed the most pronounced effect.</p><p><strong>Conclusions: </strong>Pachymic acid can inhibit fat synthesis and promote lipid decomposition by regulating the brown formation and lipid differentiation of preadipocytes.</p>","PeriodicalId":24007,"journal":{"name":"Zhejiang da xue xue bao. Yi xue ban = Journal of Zhejiang University. Medical sciences","volume":" ","pages":"333-341"},"PeriodicalIF":0.0000,"publicationDate":"2025-05-25","publicationTypes":"Journal Article","fieldsOfStudy":null,"isOpenAccess":false,"openAccessPdf":"https://www.ncbi.nlm.nih.gov/pmc/articles/PMC12176541/pdf/","citationCount":"0","resultStr":null,"platform":"Semanticscholar","paperid":null,"PeriodicalName":"Zhejiang da xue xue bao. Yi xue ban = Journal of Zhejiang University. Medical sciences","FirstCategoryId":"1085","ListUrlMain":"https://doi.org/10.3724/zdxbyxb-2024-0355","RegionNum":0,"RegionCategory":null,"ArticlePicture":[],"TitleCN":null,"AbstractTextCN":null,"PMCID":null,"EPubDate":"","PubModel":"","JCR":"Q2","JCRName":"Medicine","Score":null,"Total":0}
引用次数: 0

Abstract

Objectives: To investigate the effect of pachymic acid on brown/beige adipocyte differentiation and lipid metabolism in preadipocytes.

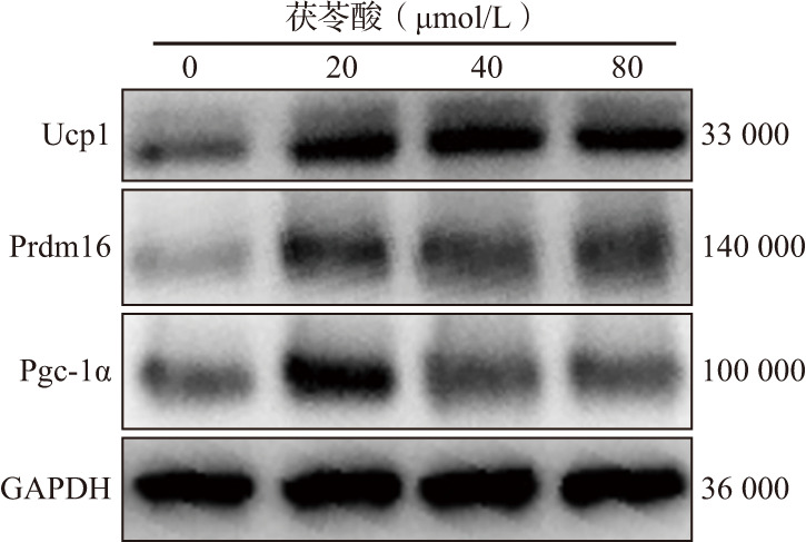
Methods: 3T3-L1 MBX cells were induced to differentiate into beige adipocytes using a brown cocktail method. The impact of pachymic acid on the viability of 3T3-L1 MBX cells was evaluated using the CCK-8 assay. The formation of lipid droplets following treatment with pachymic acid was observed by oil red O staining. The mRNA expression levels of key browning genes, including uncoupling protein (Ucp) 1, the peroxisome proliferator activated receptor-γ coactivator (Pgc)-1α, and the PR domain-containing protein 16 (Prdm16), as well as the mRNA expression of sterol regulatory element-binding protein (Srebp) 1c, acetyl-coA carboxylase (Acc), fatty acid synthase (Fas), and hormone-sensitive triglyceride lipase (Hsl), adipose triglyceride lipase (Atgl), and carnitine palmitoyltransferase (Cpt) 1 were detected by quantitative reverse transcription polymerase chain reaction. The protein expression of Ucp1, Pgc-1a, and Prdm16 was detected by Western blotting.

Results: The 3T3-L1 MBX cells were induced in vitro to form beige adipocytes with high expression of key browning genes(Ucp1, Pgc-1α, and Prdm16), and beige adipose-marker genes (Cd137, Tbx1, and Tmem26). Concentrations range of 0-80 μmol/L pachymic acid were non-cytotoxic to 3T3-L1 MBX cells. Pachymic acid treatment significantly inhibited the differentiation of 3T3-L1 MBX cells, resulting in a notable decrease in lipid accumulation. There was a marked increase in the expression of key browning genes and their proteins products, such as Ucp1, Pgc-1α, and Prdm16, while the expressions of fat synthesis-related genes Srebp1c, Acc and Fas were significantly decreased (all P<0.05). The expressions of lipolysis-related genes (Hsl, Atgl, and Cpt1) were significantly increased (all P<0.05). Treatment with 20 μmol/L pachymic acid showed the most pronounced effect.

Conclusions: Pachymic acid can inhibit fat synthesis and promote lipid decomposition by regulating the brown formation and lipid differentiation of preadipocytes.

Abstract Image

Abstract Image

Abstract Image

厚青酸促进褐色/米色脂肪细胞分化和前脂肪细胞3T3-L1 MBX的脂质代谢。
目的:探讨厚皮酸对褐/米色脂肪细胞分化及前脂肪细胞3T3-L1 MBX脂质代谢的影响。方法:采用棕色鸡尾酒法诱导3T3-L1 MBX细胞向米色脂肪细胞分化。采用CCK-8法评估厚皮酸对3T3-L1 MBX前脂肪细胞活力的影响。油红O染色观察厚青酸处理后脂滴的形成,并测定分化细胞中脂质的含量。通过定量逆转录聚合酶链反应检测褐变关键基因解偶联蛋白(Ucp) 1、过氧化物酶体增殖激活受体γ辅助激活因子(Pgc)-1α和含有PR结构域16的转录因子(Prdm16)的表达水平。还检测了脂解相关基因中甾醇调节元件结合蛋白(Srebp) 1c、乙酰辅酶a羧化酶(Acc)、脂肪酸合成酶(Fas)、类固醇敏感脂肪酶(Hsl)、脂肪甘油三酯水解酶(Atgl)和肉毒碱棕榈酰转移酶(Cpt) 1的表达。结果:体外诱导3T3-L1 MBX形成高表达褐变关键基因(Ucp1、Pgc-1α、Prdm16)和褐变脂肪标记基因(Cd137、Tbx1、Tmem26)的米色脂肪细胞。0 ~ 80 μM厚皮酸浓度范围内对3T3-L1 MBX无细胞毒性。厚青酸处理显著抑制了3T3-L1 MBX的分化,导致脂肪堆积含量显著降低(PSrebp1c、Acc和Fas均显著降低(均P0.05)。脂溶相关基因Hsl、Atgl、Cpt1的表达均显著升高(均为p)。结论:厚青酸通过调节3T3-L1 MBX前脂肪细胞的棕色形成和脂质分化,抑制脂肪合成,促进脂质分解。
本文章由计算机程序翻译,如有差异,请以英文原文为准。
求助全文
约1分钟内获得全文 求助全文
来源期刊
CiteScore
3.80
自引率
0.00%
发文量
67
×
引用
GB/T 7714-2015
复制
MLA
复制
APA
复制
导出至
BibTeX EndNote RefMan NoteFirst NoteExpress
×
提示
您的信息不完整,为了账户安全,请先补充。
现在去补充
×
提示
您因"违规操作"
具体请查看互助需知
我知道了
×
提示
确定
请完成安全验证×
copy
已复制链接
快去分享给好友吧!
我知道了
右上角分享
点击右上角分享
0
联系我们:info@booksci.cn Book学术提供免费学术资源搜索服务,方便国内外学者检索中英文文献。致力于提供最便捷和优质的服务体验。 Copyright © 2023 布克学术 All rights reserved.
京ICP备2023020795号-1
ghs 京公网安备 11010802042870号
Book学术文献互助
Book学术文献互助群
群 号:604180095
Book学术官方微信