Structural considerations and differences between leaf canals and secretory cavities in Asteraceae.

IF 2.5 3区 生物学 Q3 CELL BIOLOGY
Protoplasma Pub Date : 2025-05-01 Epub Date: 2025-01-14 DOI:10.1007/s00709-024-02028-8
Daniel M Martínez-Quezada, Alicia Rojas-Leal, José Luis Villaseñor, Teresa Terrazas
{"title":"Structural considerations and differences between leaf canals and secretory cavities in Asteraceae.","authors":"Daniel M Martínez-Quezada, Alicia Rojas-Leal, José Luis Villaseñor, Teresa Terrazas","doi":"10.1007/s00709-024-02028-8","DOIUrl":null,"url":null,"abstract":"<p><p>Secretory canals are distributed among seed plants, and their diversity is concentrated in many families of angiosperms, while other internal secretory structures such as secretory cavities have been identified only in Rutaceae, Myrtaceae, and Asteraceae. Identifying and recognizing these two types of secretory structures has been complicated, mainly due to their structural similarities. In this study, the ontogeny of canals and secretory cavities in two species of Asteraceae are described and compared, to understand the structural differences between them and allow the establishment of more appropriate homology hypotheses. Leaves of Bidens odorata and Tagetes tenuifolia in different stages of development, including the apex of the stems, were collected. The samples were processed using the methacrylate technique, and longitudinal and transverse sections were made. The development of both, canals and secretory cavities, is schizogenous, in contrast to what was previously reported for other families such as Rutaceae, where they are reported as lysigenous. In Asteraceae, canals originate from cells of the procambium while cavities originate from cells of the ground meristem. The structural and developmental similarities between both types of secretory structures allow us to infer that they have a close evolutionary origin. Canals and secretory cavities in Asteraceae can be differentiated based on the number of strata of secretory epithelium and sheath, the modifications of epidermal cells and mesophyll, and the type of promeristem that gives rise to them. Probably extravascular canals give rise to cavities in leaves of Asteraceae and probably in other plant families.</p>","PeriodicalId":20731,"journal":{"name":"Protoplasma","volume":" ","pages":"707-720"},"PeriodicalIF":2.5000,"publicationDate":"2025-05-01","publicationTypes":"Journal Article","fieldsOfStudy":null,"isOpenAccess":false,"openAccessPdf":"https://www.ncbi.nlm.nih.gov/pmc/articles/PMC12018624/pdf/","citationCount":"0","resultStr":null,"platform":"Semanticscholar","paperid":null,"PeriodicalName":"Protoplasma","FirstCategoryId":"99","ListUrlMain":"https://doi.org/10.1007/s00709-024-02028-8","RegionNum":3,"RegionCategory":"生物学","ArticlePicture":[],"TitleCN":null,"AbstractTextCN":null,"PMCID":null,"EPubDate":"2025/1/14 0:00:00","PubModel":"Epub","JCR":"Q3","JCRName":"CELL BIOLOGY","Score":null,"Total":0}
引用次数: 0

Abstract

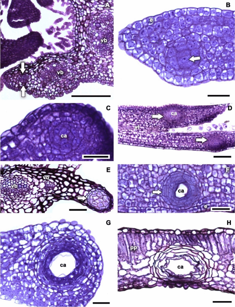
Secretory canals are distributed among seed plants, and their diversity is concentrated in many families of angiosperms, while other internal secretory structures such as secretory cavities have been identified only in Rutaceae, Myrtaceae, and Asteraceae. Identifying and recognizing these two types of secretory structures has been complicated, mainly due to their structural similarities. In this study, the ontogeny of canals and secretory cavities in two species of Asteraceae are described and compared, to understand the structural differences between them and allow the establishment of more appropriate homology hypotheses. Leaves of Bidens odorata and Tagetes tenuifolia in different stages of development, including the apex of the stems, were collected. The samples were processed using the methacrylate technique, and longitudinal and transverse sections were made. The development of both, canals and secretory cavities, is schizogenous, in contrast to what was previously reported for other families such as Rutaceae, where they are reported as lysigenous. In Asteraceae, canals originate from cells of the procambium while cavities originate from cells of the ground meristem. The structural and developmental similarities between both types of secretory structures allow us to infer that they have a close evolutionary origin. Canals and secretory cavities in Asteraceae can be differentiated based on the number of strata of secretory epithelium and sheath, the modifications of epidermal cells and mesophyll, and the type of promeristem that gives rise to them. Probably extravascular canals give rise to cavities in leaves of Asteraceae and probably in other plant families.

Abstract Image

Abstract Image

Abstract Image

菊科植物叶管和分泌腔的结构考虑及其差异。
分泌管分布于种子植物中,其多样性集中在被子植物的许多科中,而其他内部分泌结构如分泌腔仅在芸香科、桃金子科和菊科中被发现。识别和识别这两种类型的分泌结构一直很复杂,主要是因为它们的结构相似。本研究对两种菊科植物的根管和分泌腔的发生进行了描述和比较,以了解它们之间的结构差异,从而建立更合适的同源性假设。收集了花蔷薇和万寿菊不同发育阶段的叶片,包括茎尖。采用甲基丙烯酸酯技术对样品进行处理,并制作了纵向和横切面。管和分泌腔的发育都是裂生的,这与之前报道的其他科如芦花科的发育是裂生的形成了对比。在菊科植物中,管道起源于原形成层的细胞,而空腔起源于地面分生组织的细胞。两种类型的分泌结构在结构和发育上的相似性使我们能够推断它们具有密切的进化起源。根据分泌上皮和鞘的层数、表皮细胞和叶肉的修饰以及产生它们的前元系统的类型,可以区分菊科植物的管和分泌腔。可能在菊科植物和其他植物科植物的叶片中,血管外管产生了空腔。
本文章由计算机程序翻译,如有差异,请以英文原文为准。
求助全文
约1分钟内获得全文 求助全文
来源期刊
Protoplasma
Protoplasma 生物-细胞生物学
CiteScore
6.60
自引率
6.90%
发文量
99
审稿时长
4-8 weeks
期刊介绍: Protoplasma publishes original papers, short communications and review articles which are of interest to cell biology in all its scientific and applied aspects. We seek contributions dealing with plants and animals but also prokaryotes, protists and fungi, from the following fields: cell biology of both single and multicellular organisms molecular cytology the cell cycle membrane biology including biogenesis, dynamics, energetics and electrophysiology inter- and intracellular transport the cytoskeleton organelles experimental and quantitative ultrastructure cyto- and histochemistry Further, conceptual contributions such as new models or discoveries at the cutting edge of cell biology research will be published under the headings "New Ideas in Cell Biology".
×
引用
GB/T 7714-2015
复制
MLA
复制
APA
复制
导出至
BibTeX EndNote RefMan NoteFirst NoteExpress
×
提示
您的信息不完整,为了账户安全,请先补充。
现在去补充
×
提示
您因"违规操作"
具体请查看互助需知
我知道了
×
提示
确定
请完成安全验证×
copy
已复制链接
快去分享给好友吧!
我知道了
右上角分享
点击右上角分享
0
联系我们:info@booksci.cn Book学术提供免费学术资源搜索服务,方便国内外学者检索中英文文献。致力于提供最便捷和优质的服务体验。 Copyright © 2023 布克学术 All rights reserved.
京ICP备2023020795号-1
ghs 京公网安备 11010802042870号
Book学术文献互助
Book学术文献互助群
群 号:604180095
Book学术官方微信