Evaluation of the effects of asymmetric lumbosacral transitional vertebra on pelvic morphology in dogs using ventrodorsal radiographs.

IF 1.7 2区 农林科学 Q2 VETERINARY SCIENCES
Jon Andre Berg, Bente Kristin Saevik, Frode Lingaas, Catrine Trangerud
{"title":"Evaluation of the effects of asymmetric lumbosacral transitional vertebra on pelvic morphology in dogs using ventrodorsal radiographs.","authors":"Jon Andre Berg, Bente Kristin Saevik, Frode Lingaas, Catrine Trangerud","doi":"10.1186/s13028-024-00785-3","DOIUrl":null,"url":null,"abstract":"<p><strong>Background: </strong>A lumbosacral transitional vertebra (LTV) is a congenital anomaly of the caudal vertebral column. It has been associated with asymmetrical canine hip dysplasia (CHD) and cauda equina syndrome (CES) in German Shepherd dogs. This retrospective cross-sectional study aims to report the potential influence of asymmetric LTV on pelvic anatomy using ventrodorsal (VD) radiographs.</p><p><strong>Results: </strong>The results are based on the evaluation of VD radiographs of 13,950 dogs from 14 breeds; an LTV was identified in 18.5%. The LTV segments were allotted into symmetrical (78.6%) and asymmetrical (21.4%) categories. An asymmetrical CHD grade was observed in 12.4% of the dogs, of which 39.7% had asymmetrical LTV. An asymmetric LTV was associated with an uneven sacroiliac joint length, in which the shortest sacroiliac joint is positioned more caudally, resulting in a reduced distance to the hip joint (P < 0.001). Rotation of the asymmetrical LTV segment about the long axis was associated with opposite pelvis rotation vertically (P < 0.001). Also, long-axis rotation of the asymmetric LTV segment was associated with an elevation of the pelvis (P < 0.001), promoting an asymmetrical CHD grade (P < 0.001).</p><p><strong>Conclusions: </strong>This study suggests a compensatory mechanism for the sacroiliac joint related to an asymmetrical LTV. Counter-rotation between the pelvis and the LTV segment vertically may straighten the lower back. The asymmetrical LTV segment most likely affects the rotation of the pelvis and may indirectly promote an asymmetrical CHD grade.</p>","PeriodicalId":7181,"journal":{"name":"Acta Veterinaria Scandinavica","volume":"67 1","pages":"4"},"PeriodicalIF":1.7000,"publicationDate":"2025-01-13","publicationTypes":"Journal Article","fieldsOfStudy":null,"isOpenAccess":false,"openAccessPdf":"https://www.ncbi.nlm.nih.gov/pmc/articles/PMC11727326/pdf/","citationCount":"0","resultStr":null,"platform":"Semanticscholar","paperid":null,"PeriodicalName":"Acta Veterinaria Scandinavica","FirstCategoryId":"97","ListUrlMain":"https://doi.org/10.1186/s13028-024-00785-3","RegionNum":2,"RegionCategory":"农林科学","ArticlePicture":[],"TitleCN":null,"AbstractTextCN":null,"PMCID":null,"EPubDate":"","PubModel":"","JCR":"Q2","JCRName":"VETERINARY SCIENCES","Score":null,"Total":0}
引用次数: 0

Abstract

Background: A lumbosacral transitional vertebra (LTV) is a congenital anomaly of the caudal vertebral column. It has been associated with asymmetrical canine hip dysplasia (CHD) and cauda equina syndrome (CES) in German Shepherd dogs. This retrospective cross-sectional study aims to report the potential influence of asymmetric LTV on pelvic anatomy using ventrodorsal (VD) radiographs.

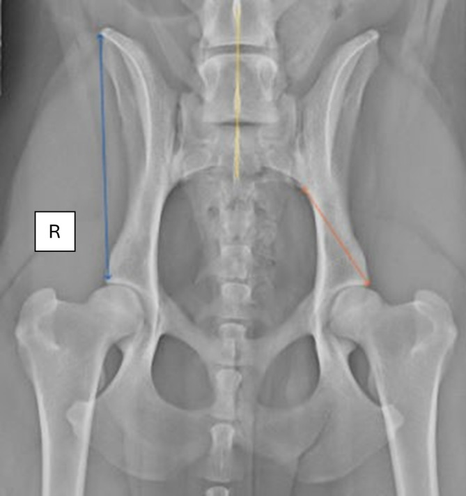
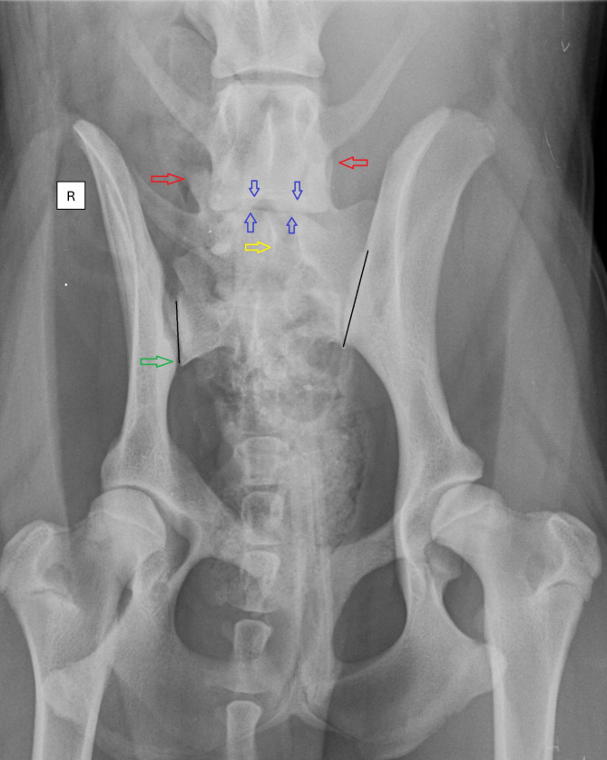
Results: The results are based on the evaluation of VD radiographs of 13,950 dogs from 14 breeds; an LTV was identified in 18.5%. The LTV segments were allotted into symmetrical (78.6%) and asymmetrical (21.4%) categories. An asymmetrical CHD grade was observed in 12.4% of the dogs, of which 39.7% had asymmetrical LTV. An asymmetric LTV was associated with an uneven sacroiliac joint length, in which the shortest sacroiliac joint is positioned more caudally, resulting in a reduced distance to the hip joint (P < 0.001). Rotation of the asymmetrical LTV segment about the long axis was associated with opposite pelvis rotation vertically (P < 0.001). Also, long-axis rotation of the asymmetric LTV segment was associated with an elevation of the pelvis (P < 0.001), promoting an asymmetrical CHD grade (P < 0.001).

Conclusions: This study suggests a compensatory mechanism for the sacroiliac joint related to an asymmetrical LTV. Counter-rotation between the pelvis and the LTV segment vertically may straighten the lower back. The asymmetrical LTV segment most likely affects the rotation of the pelvis and may indirectly promote an asymmetrical CHD grade.

Abstract Image

Abstract Image

Abstract Image

用腹背侧x线片评价不对称腰骶过渡椎对犬骨盆形态的影响。
背景:腰骶部过渡椎(LTV)是尾椎的一种先天性异常。它与德国牧羊犬的不对称犬髋关节发育不良(CHD)和马尾综合征(CES)有关。这项回顾性横断面研究旨在利用腹背(VD)X 光片报告不对称 LTV 对骨盆解剖的潜在影响:研究结果基于对来自 14 个品种的 13,950 只犬的 VD X 光片的评估;18.5% 的犬发现了 LTV。LTV 节段分为对称(78.6%)和不对称(21.4%)两类。在 12.4% 的犬中观察到了不对称的 CHD 等级,其中 39.7% 的犬有不对称的 LTV。不对称的LTV与骶髂关节长度不均有关,其中最短的骶髂关节位于更靠后的位置,导致与髋关节的距离缩短(P 结论:不对称的LTV与骶髂关节长度不均有关,其中最短的骶髂关节位于更靠后的位置,导致与髋关节的距离缩短:这项研究表明,骶髂关节的代偿机制与不对称的LTV有关。骨盆和腰椎后凸节之间的垂直反旋转可使腰部挺直。不对称的LTV区段很可能会影响骨盆的旋转,并可能间接导致不对称的CHD等级。
本文章由计算机程序翻译,如有差异,请以英文原文为准。
求助全文
约1分钟内获得全文 求助全文
来源期刊
Acta Veterinaria Scandinavica
Acta Veterinaria Scandinavica 农林科学-兽医学
CiteScore
3.60
自引率
0.00%
发文量
28
审稿时长
18-36 weeks
期刊介绍: Acta Veterinaria Scandinavica is an open access journal encompassing all aspects of veterinary research and medicine of domestic and wild animals.
×
引用
GB/T 7714-2015
复制
MLA
复制
APA
复制
导出至
BibTeX EndNote RefMan NoteFirst NoteExpress
×
提示
您的信息不完整,为了账户安全,请先补充。
现在去补充
×
提示
您因"违规操作"
具体请查看互助需知
我知道了
×
提示
确定
请完成安全验证×
copy
已复制链接
快去分享给好友吧!
我知道了
右上角分享
点击右上角分享
0
联系我们:info@booksci.cn Book学术提供免费学术资源搜索服务,方便国内外学者检索中英文文献。致力于提供最便捷和优质的服务体验。 Copyright © 2023 布克学术 All rights reserved.
京ICP备2023020795号-1
ghs 京公网安备 11010802042870号
Book学术文献互助
Book学术文献互助群
群 号:604180095
Book学术官方微信