Plantar Fascia Thickness Difference Between Pregnant and Nulliparous in Indonesia.

IF 0.8 Q4 RADIOLOGY, NUCLEAR MEDICINE & MEDICAL IMAGING
Journal of Medical Ultrasound Pub Date : 2024-11-30 eCollection Date: 2024-10-01 DOI:10.4103/jmu.jmu_142_23
Jeffry Foraldy, Seilly Jehosua, Ansye Momole, Rizal Tumewah, Theresia Runtuwene, Windy Mariane Virenia Wariki
{"title":"Plantar Fascia Thickness Difference Between Pregnant and Nulliparous in Indonesia.","authors":"Jeffry Foraldy, Seilly Jehosua, Ansye Momole, Rizal Tumewah, Theresia Runtuwene, Windy Mariane Virenia Wariki","doi":"10.4103/jmu.jmu_142_23","DOIUrl":null,"url":null,"abstract":"<p><strong>Background: </strong>Pregnancy is associated with distinct risks of fascia thickness compared to nulliparous. Therefore, this study aimed to compare plantar fascia thickness between asymptomatic pregnant women and nulliparous, evaluating the relationship with age, body mass index (BMI), arch height index (AHI), gestational age, and number of pregnancies.</p><p><strong>Methods: </strong>This cross-sectional study was conducted between January and March 2023, and subjects were through a simple random sampling method. The inclusion criteria were subjects aged 18-35 years old, while those with a history of foot pain, trauma, surgery, special orthosis during pregnancy, and other complications were excluded. Fascia thickness was measured at 10 mm distal from the insertion in the calcaneus. Age, BMI, AHI, gestational age, and pregnancy history were recorded. Student's <i>t</i>-tests were used to compare both groups.</p><p><strong>Results: </strong>The average plantar fascia thickness in pregnant women was 2.67 ± 0.44 mm in both feet, while in nulliparous, it was 2.24 ± 0.41 mm and 2.26 ± 0.37 mm in the right and left foot, respectively. A significant difference was observed between the two groups based on BMI category (<i>P</i> < 0.05). Women who had experienced more than one pregnancy showed thicker fascia (<i>P</i> < 0.05). In multivariate analysis, BMI (B coefficient: 0.029-0.031, <i>P</i> < 0.05) and number of pregnancies (0.268-0.267, <i>P</i> < 0.05) had a significant effect on plantar fascia thickness in pregnant women, while age and BMI affected nulliparous.</p><p><strong>Conclusion: </strong>Pregnant women had thicker plantar fascia compared to nulliparous. Consequently, screening and prevention in pregnant women and multiparous was necessary to prevent the occurrence of plantar fasciitis.</p>","PeriodicalId":45466,"journal":{"name":"Journal of Medical Ultrasound","volume":"32 4","pages":"323-328"},"PeriodicalIF":0.8000,"publicationDate":"2024-11-30","publicationTypes":"Journal Article","fieldsOfStudy":null,"isOpenAccess":false,"openAccessPdf":"https://www.ncbi.nlm.nih.gov/pmc/articles/PMC11717081/pdf/","citationCount":"0","resultStr":null,"platform":"Semanticscholar","paperid":null,"PeriodicalName":"Journal of Medical Ultrasound","FirstCategoryId":"1085","ListUrlMain":"https://doi.org/10.4103/jmu.jmu_142_23","RegionNum":0,"RegionCategory":null,"ArticlePicture":[],"TitleCN":null,"AbstractTextCN":null,"PMCID":null,"EPubDate":"2024/10/1 0:00:00","PubModel":"eCollection","JCR":"Q4","JCRName":"RADIOLOGY, NUCLEAR MEDICINE & MEDICAL IMAGING","Score":null,"Total":0}
引用次数: 0

Abstract

Background: Pregnancy is associated with distinct risks of fascia thickness compared to nulliparous. Therefore, this study aimed to compare plantar fascia thickness between asymptomatic pregnant women and nulliparous, evaluating the relationship with age, body mass index (BMI), arch height index (AHI), gestational age, and number of pregnancies.

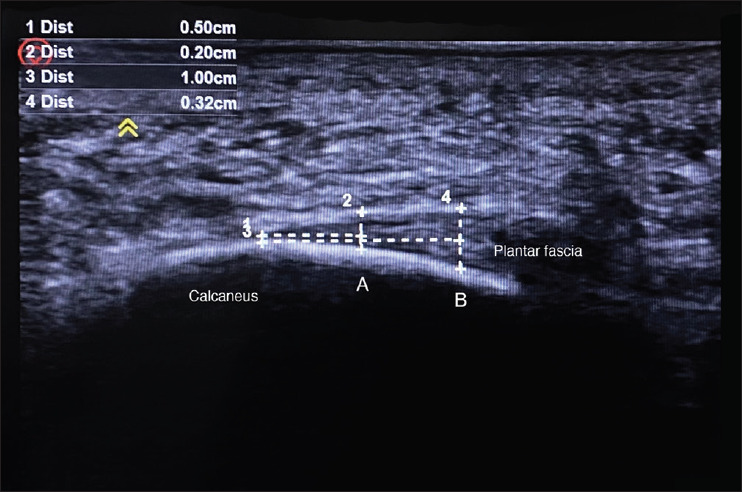
Methods: This cross-sectional study was conducted between January and March 2023, and subjects were through a simple random sampling method. The inclusion criteria were subjects aged 18-35 years old, while those with a history of foot pain, trauma, surgery, special orthosis during pregnancy, and other complications were excluded. Fascia thickness was measured at 10 mm distal from the insertion in the calcaneus. Age, BMI, AHI, gestational age, and pregnancy history were recorded. Student's t-tests were used to compare both groups.

Results: The average plantar fascia thickness in pregnant women was 2.67 ± 0.44 mm in both feet, while in nulliparous, it was 2.24 ± 0.41 mm and 2.26 ± 0.37 mm in the right and left foot, respectively. A significant difference was observed between the two groups based on BMI category (P < 0.05). Women who had experienced more than one pregnancy showed thicker fascia (P < 0.05). In multivariate analysis, BMI (B coefficient: 0.029-0.031, P < 0.05) and number of pregnancies (0.268-0.267, P < 0.05) had a significant effect on plantar fascia thickness in pregnant women, while age and BMI affected nulliparous.

Conclusion: Pregnant women had thicker plantar fascia compared to nulliparous. Consequently, screening and prevention in pregnant women and multiparous was necessary to prevent the occurrence of plantar fasciitis.

Abstract Image

印度尼西亚孕妇和未生育者足底筋膜厚度差异。
背景:与非孕期相比,孕期与筋膜厚度的不同风险有关。因此,本研究旨在比较无症状孕妇和非孕妇的足底筋膜厚度,评估其与年龄、体重指数(BMI)、足弓高度指数(AHI)、孕龄和怀孕次数的关系:这项横断面研究于 2023 年 1 月至 3 月间进行,受试者采用简单随机抽样法。纳入标准为 18-35 岁的受试者,排除有足部疼痛史、外伤史、手术史、孕期特殊矫形史和其他并发症的受试者。筋膜厚度在距小腿骨插入处远端 10 毫米处测量。记录年龄、体重指数、AHI、胎龄和妊娠史。采用学生 t 检验比较两组结果:结果:孕妇双脚足底筋膜平均厚度为 2.67 ± 0.44 毫米,而非妊娠期妇女右脚和左脚足底筋膜平均厚度分别为 2.24 ± 0.41 毫米和 2.26 ± 0.37 毫米。根据体重指数分类,两组之间存在明显差异(P < 0.05)。经历过一次以上妊娠的妇女筋膜更厚(P < 0.05)。在多变量分析中,BMI(B系数:0.029-0.031,P<0.05)和怀孕次数(0.268-0.267,P<0.05)对孕妇足底筋膜厚度有显著影响,而年龄和BMI则对非足月儿有影响:结论:与非孕妇相比,孕妇的足底筋膜更厚。因此,有必要对孕妇和多产妇进行筛查和预防,以防止足底筋膜炎的发生。
本文章由计算机程序翻译,如有差异,请以英文原文为准。
求助全文
约1分钟内获得全文 求助全文
来源期刊
Journal of Medical Ultrasound
Journal of Medical Ultrasound RADIOLOGY, NUCLEAR MEDICINE & MEDICAL IMAGING-
CiteScore
1.30
自引率
9.10%
发文量
90
审稿时长
10 weeks
期刊介绍: The Journal of Medical Ultrasound is the peer-reviewed publication of the Asian Federation of Societies for Ultrasound in Medicine and Biology, and the Chinese Taipei Society of Ultrasound in Medicine. Its aim is to promote clinical and scientific research in ultrasonography, and to serve as a channel of communication among sonologists, sonographers, and medical ultrasound physicians in the Asia-Pacific region and wider international community. The Journal invites original contributions relating to the clinical and laboratory investigations and applications of ultrasonography.
×
引用
GB/T 7714-2015
复制
MLA
复制
APA
复制
导出至
BibTeX EndNote RefMan NoteFirst NoteExpress
×
提示
您的信息不完整,为了账户安全,请先补充。
现在去补充
×
提示
您因"违规操作"
具体请查看互助需知
我知道了
×
提示
确定
请完成安全验证×
copy
已复制链接
快去分享给好友吧!
我知道了
右上角分享
点击右上角分享
0
联系我们:info@booksci.cn Book学术提供免费学术资源搜索服务,方便国内外学者检索中英文文献。致力于提供最便捷和优质的服务体验。 Copyright © 2023 布克学术 All rights reserved.
京ICP备2023020795号-1
ghs 京公网安备 11010802042870号
Book学术文献互助
Book学术文献互助群
群 号:604180095
Book学术官方微信