An atypical case of retinal pigment epithelium tear with remodeling and visual preservation.

IF 1.2 Q4 OPHTHALMOLOGY
Taiwan Journal of Ophthalmology Pub Date : 2024-10-29 eCollection Date: 2024-10-01 DOI:10.4103/tjo.TJO-D-24-00051
Charles Jit Teng Ong, Chui Ming Gemmy Cheung
{"title":"An atypical case of retinal pigment epithelium tear with remodeling and visual preservation.","authors":"Charles Jit Teng Ong, Chui Ming Gemmy Cheung","doi":"10.4103/tjo.TJO-D-24-00051","DOIUrl":null,"url":null,"abstract":"<p><p>This report describes a patient with polypoidal choroidal vasculopathy (PCV) with fovea-involving retinal pigment epithelium (RPE) tear that showed tissue remodeling with a good visual outcome. Imaging over the patient's clinical course from 2019 was reviewed. A 74-year-old female presented with left submacular hemorrhage and a large multi-lobular pigment epithelial detachment. Left eye vision was 6/19 at the presentation. Indocyanine green angiography (ICGA) revealed underlying PCV. One month after initiation of intravitreal aflibercept (IVA, Bayer), she developed fresh subretinal hemorrhage. An RPE tear of 1 disc area in size, centered over the fovea was diagnosed. The torn RPE edge was scrolled up temporal to the fovea on spectral-domain optical coherence tomography (SD-OCT), with hypertransmission into the choroid observed over the area of RPE loss. Left eye vision after the RPE tear was 6/15. Over the next 2 months, the subretinal hemorrhage resolved following further IVA. At month 3, fundus autofluorescence (FAF) demonstrated hypo-autofluorescence while fundus fluorescein angiography (FFA) and ICGA showed a window defect corresponding to the area of RPE tear. On SD-OCT, there was a faint hyper-reflective layer where one might expect the RPE layer to be. Serial SD-OCT scans over 5 years revealed increasing prominence of the hyperreflective layer between the ellipsoid zone and Bruch's membrane. FAF remained hypo-autofluorescent. At the last review, the patient retained 6/9 vision. We report a case of fovea-involving RPE tear documented with multimodal imaging with good visual outcome, which is atypical. Serial OCT suggests tissue remodeling may explain the functional preservation.</p>","PeriodicalId":44978,"journal":{"name":"Taiwan Journal of Ophthalmology","volume":"14 4","pages":"614-618"},"PeriodicalIF":1.2000,"publicationDate":"2024-10-29","publicationTypes":"Journal Article","fieldsOfStudy":null,"isOpenAccess":false,"openAccessPdf":"https://www.ncbi.nlm.nih.gov/pmc/articles/PMC11717326/pdf/","citationCount":"0","resultStr":null,"platform":"Semanticscholar","paperid":null,"PeriodicalName":"Taiwan Journal of Ophthalmology","FirstCategoryId":"1085","ListUrlMain":"https://doi.org/10.4103/tjo.TJO-D-24-00051","RegionNum":0,"RegionCategory":null,"ArticlePicture":[],"TitleCN":null,"AbstractTextCN":null,"PMCID":null,"EPubDate":"2024/10/1 0:00:00","PubModel":"eCollection","JCR":"Q4","JCRName":"OPHTHALMOLOGY","Score":null,"Total":0}
引用次数: 0

Abstract

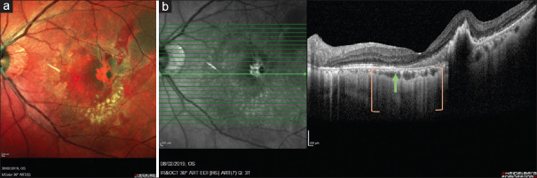
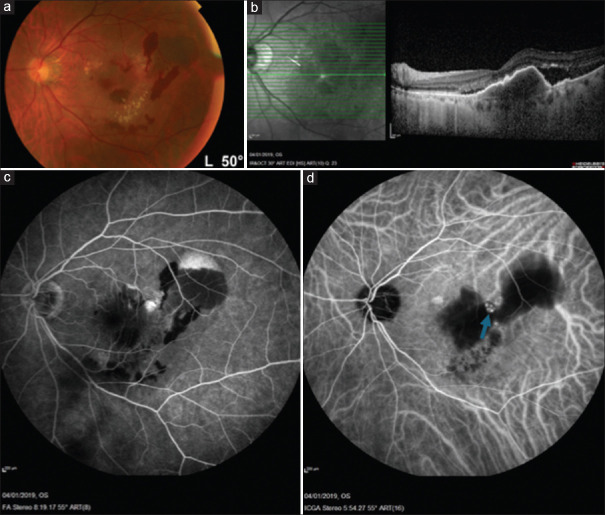
This report describes a patient with polypoidal choroidal vasculopathy (PCV) with fovea-involving retinal pigment epithelium (RPE) tear that showed tissue remodeling with a good visual outcome. Imaging over the patient's clinical course from 2019 was reviewed. A 74-year-old female presented with left submacular hemorrhage and a large multi-lobular pigment epithelial detachment. Left eye vision was 6/19 at the presentation. Indocyanine green angiography (ICGA) revealed underlying PCV. One month after initiation of intravitreal aflibercept (IVA, Bayer), she developed fresh subretinal hemorrhage. An RPE tear of 1 disc area in size, centered over the fovea was diagnosed. The torn RPE edge was scrolled up temporal to the fovea on spectral-domain optical coherence tomography (SD-OCT), with hypertransmission into the choroid observed over the area of RPE loss. Left eye vision after the RPE tear was 6/15. Over the next 2 months, the subretinal hemorrhage resolved following further IVA. At month 3, fundus autofluorescence (FAF) demonstrated hypo-autofluorescence while fundus fluorescein angiography (FFA) and ICGA showed a window defect corresponding to the area of RPE tear. On SD-OCT, there was a faint hyper-reflective layer where one might expect the RPE layer to be. Serial SD-OCT scans over 5 years revealed increasing prominence of the hyperreflective layer between the ellipsoid zone and Bruch's membrane. FAF remained hypo-autofluorescent. At the last review, the patient retained 6/9 vision. We report a case of fovea-involving RPE tear documented with multimodal imaging with good visual outcome, which is atypical. Serial OCT suggests tissue remodeling may explain the functional preservation.

Abstract Image

Abstract Image

Abstract Image

视网膜色素上皮撕裂伴重塑和视觉保留的不典型病例。
本报告描述一例息肉样脉络膜血管病变(PCV)伴累及中央窝的视网膜色素上皮(RPE)撕裂,表现为组织重塑,视觉效果良好。回顾了2019年患者临床过程的影像学。一名74岁女性,表现为左侧黄斑下出血和大的多小叶色素上皮脱离。左眼视力为6/19。吲哚菁绿血管造影(ICGA)显示潜在的PCV。在开始玻璃体内注射阿伯西普(IVA,拜耳)一个月后,她出现了新的视网膜下出血。诊断为1个椎间盘面积的RPE撕裂,以中央凹为中心。在光谱域光学相干断层扫描(SD-OCT)上,撕裂的RPE边缘向上滚动到中央凹,在RPE丢失的区域观察到超透射到脉络膜。RPE撕裂后左眼视力为6/15。在接下来的2个月里,视网膜下出血在进一步IVA后消退。在第3个月,眼底自身荧光(FAF)显示低自身荧光,而眼底荧光素血管造影(FFA)和ICGA显示与RPE撕裂面积对应的窗口缺陷。在SD-OCT上,有一个微弱的超反射层,人们可能会认为这是RPE层。连续5年的SD-OCT扫描显示椭球带和布鲁氏膜之间的高反射层越来越突出。FAF仍然是次自动荧光。最后复查时,患者视力保持6/9。我们报告了一例涉及中央窝的RPE撕裂,多模态成像记录了良好的视觉结果,这是不典型的。连续OCT提示组织重塑可以解释功能保存。
本文章由计算机程序翻译,如有差异,请以英文原文为准。
求助全文
约1分钟内获得全文 求助全文
来源期刊
CiteScore
1.80
自引率
9.10%
发文量
68
审稿时长
19 weeks
×
引用
GB/T 7714-2015
复制
MLA
复制
APA
复制
导出至
BibTeX EndNote RefMan NoteFirst NoteExpress
×
提示
您的信息不完整,为了账户安全,请先补充。
现在去补充
×
提示
您因"违规操作"
具体请查看互助需知
我知道了
×
提示
确定
请完成安全验证×
copy
已复制链接
快去分享给好友吧!
我知道了
右上角分享
点击右上角分享
0
联系我们:info@booksci.cn Book学术提供免费学术资源搜索服务,方便国内外学者检索中英文文献。致力于提供最便捷和优质的服务体验。 Copyright © 2023 布克学术 All rights reserved.
京ICP备2023020795号-1
ghs 京公网安备 11010802042870号
Book学术文献互助
Book学术文献互助群
群 号:604180095
Book学术官方微信