Reshaping vitreoretinal surgery: Intraoperative optical coherence tomography as a tool for enhancing surgical decision-making in complex cases.

IF 1.2 Q4 OPHTHALMOLOGY
Taiwan Journal of Ophthalmology Pub Date : 2024-12-05 eCollection Date: 2024-10-01 DOI:10.4103/tjo.TJO-D-24-00060
Yin-Hsi Chang, Gavin S W Tan, Hung-Da Chou, Andrew S H Tsai
{"title":"Reshaping vitreoretinal surgery: Intraoperative optical coherence tomography as a tool for enhancing surgical decision-making in complex cases.","authors":"Yin-Hsi Chang, Gavin S W Tan, Hung-Da Chou, Andrew S H Tsai","doi":"10.4103/tjo.TJO-D-24-00060","DOIUrl":null,"url":null,"abstract":"<p><p>Intraoperative optical coherence tomography (iOCT) has been applied and studied in a variety of vitreoretinal surgeries for its feasibility, safety, and outcomes for years. Common scenarios include membrane peeling procedures, retinal detachments, choroidal-retinal biopsies, Argus implants, and subretinal injections. iOCT offers the surgeon a better understanding of the retinal microarchitectural changes and timely intraoperative feedback, directing a future view of precision surgery. However, this technology has not been widely adopted due to its limitations including cost, surgeons' habits, lack of compatible equipment, software limitations, and so on. We aim to highlight the importance of iOCT in guiding clinical-relevant surgical decisions by illustrating two vitreoretinal cases that are complex and less frequently encountered.</p>","PeriodicalId":44978,"journal":{"name":"Taiwan Journal of Ophthalmology","volume":"14 4","pages":"619-623"},"PeriodicalIF":1.2000,"publicationDate":"2024-12-05","publicationTypes":"Journal Article","fieldsOfStudy":null,"isOpenAccess":false,"openAccessPdf":"https://www.ncbi.nlm.nih.gov/pmc/articles/PMC11717328/pdf/","citationCount":"0","resultStr":null,"platform":"Semanticscholar","paperid":null,"PeriodicalName":"Taiwan Journal of Ophthalmology","FirstCategoryId":"1085","ListUrlMain":"https://doi.org/10.4103/tjo.TJO-D-24-00060","RegionNum":0,"RegionCategory":null,"ArticlePicture":[],"TitleCN":null,"AbstractTextCN":null,"PMCID":null,"EPubDate":"2024/10/1 0:00:00","PubModel":"eCollection","JCR":"Q4","JCRName":"OPHTHALMOLOGY","Score":null,"Total":0}
引用次数: 0

Abstract

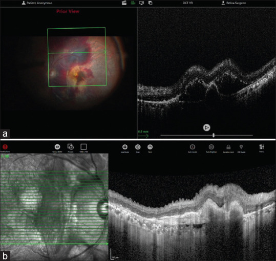
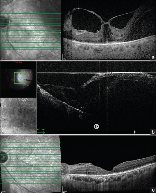
Intraoperative optical coherence tomography (iOCT) has been applied and studied in a variety of vitreoretinal surgeries for its feasibility, safety, and outcomes for years. Common scenarios include membrane peeling procedures, retinal detachments, choroidal-retinal biopsies, Argus implants, and subretinal injections. iOCT offers the surgeon a better understanding of the retinal microarchitectural changes and timely intraoperative feedback, directing a future view of precision surgery. However, this technology has not been widely adopted due to its limitations including cost, surgeons' habits, lack of compatible equipment, software limitations, and so on. We aim to highlight the importance of iOCT in guiding clinical-relevant surgical decisions by illustrating two vitreoretinal cases that are complex and less frequently encountered.

Abstract Image

Abstract Image

玻璃体视网膜整形手术:术中光学相干断层扫描作为复杂病例中提高手术决策的工具。
术中光学相干断层扫描(iOCT)因其可行性、安全性和疗效已在各种玻璃体视网膜手术中应用和研究多年。常见的情况包括膜剥离手术、视网膜脱离、脉络膜-视网膜活检、Argus植入和视网膜下注射。iOCT为外科医生更好地了解视网膜微结构的变化和及时的术中反馈,指导未来的精确手术。然而,由于成本、外科医生的习惯、缺乏兼容设备、软件限制等方面的限制,这项技术并没有被广泛采用。我们的目的是强调iOCT在指导临床相关手术决策中的重要性,通过说明两个复杂且不常遇到的玻璃体视网膜病例。
本文章由计算机程序翻译,如有差异,请以英文原文为准。
求助全文
约1分钟内获得全文 求助全文
来源期刊
CiteScore
1.80
自引率
9.10%
发文量
68
审稿时长
19 weeks
×
引用
GB/T 7714-2015
复制
MLA
复制
APA
复制
导出至
BibTeX EndNote RefMan NoteFirst NoteExpress
×
提示
您的信息不完整,为了账户安全,请先补充。
现在去补充
×
提示
您因"违规操作"
具体请查看互助需知
我知道了
×
提示
确定
请完成安全验证×
copy
已复制链接
快去分享给好友吧!
我知道了
右上角分享
点击右上角分享
0
联系我们:info@booksci.cn Book学术提供免费学术资源搜索服务,方便国内外学者检索中英文文献。致力于提供最便捷和优质的服务体验。 Copyright © 2023 布克学术 All rights reserved.
京ICP备2023020795号-1
ghs 京公网安备 11010802042870号
Book学术文献互助
Book学术文献互助群
群 号:604180095
Book学术官方微信