[Clinicopathological Analysis of 14 Cases of Primary Pulmonary Lymphoepithelial Carcinoma].

Q4 Medicine
Yixuan Fang, Anzhe Wang, Lumin Shen, Xiao Yuan, Yu Kong
{"title":"[Clinicopathological Analysis of 14 Cases of Primary Pulmonary Lymphoepithelial Carcinoma].","authors":"Yixuan Fang, Anzhe Wang, Lumin Shen, Xiao Yuan, Yu Kong","doi":"10.3779/j.issn.1009-3419.2024.101.29","DOIUrl":null,"url":null,"abstract":"<p><strong>Background: </strong>Primary pulmonary lymphoepithelial carcinoma (PPLEC) is a rare form of lung malignancy, accounting for only 0.7% of all lung cancers. It is currently classified as a distinct subtype within squamous cell carcinomas. This study aims to explore the clinicopathological characteristics of PPLEC and its subtypes, with the objective of enhancing understanding and improving diagnostic accuracy for this disease.</p><p><strong>Methods: </strong>A retrospective analysis was conducted on the clinical, pathological, imaging, and prognostic data of 14 patients diagnosed with PPLEC at the First Affiliated Hospital of Soochow University between February 2019 and June 2023.</p><p><strong>Results: </strong>A total of 14 cases of PPLEC were identified, including 5 cases of the Regaud type, with ages ranging from 33 to 73 years, comprising 2 males and 3 females; and 9 cases of the Schmincke type, with ages ranging from 36 to 79 years, including 4 males and 5 females. Computed tomography (CT) scans consistently demonstrated soft tissue masses or nodular shadows. Reagud type mainly showed peripheral masses and Schmincke type mainly showed central masses. Pathological examination revealed tumor cells exhibiting syncytial-like growth, accompanied by lymphocytic infiltration and stromal fibrosis, with the Regaud type showing well-defined borders combined with granulomatous inflammation, while the Schmincke type exhibited indistinct tumor margins. Immunohistochemistry showed that CK, CK5/6, P40 and P63 were positive, and the Ki-67 index of Regaud type was lower than that of Schmincke type; notably, all 8 cases tested for programmed death-ligand 1 (PD-L1) were positive. Epstein-Barr virus-encoded RNA (EBER) in situ hybridization was positive in all instances. Among these cases, 6 underwent surgical treatment, and 8 received comprehensive therapy; by the end of the follow-up period, all 14 patients remained alive.</p><p><strong>Conclusions: </strong>PPLEC is a rare form of malignant lung tumor associated with Epstein-Barr virus (EBV) infection. The Regaud and Schmincke subtypes display distinct imaging and pathological characteristics. In the early stages of the disease, surgical intervention is the primary treatment method; however, for advanced stages, a multimodal treatment approach is utilized, resulting in a relatively favorable prognosis. Immunotherapy represents a promising and effective treatment modality for patients with middle to advanced stage disease exhibiting high PD-L1 expression levels.</p>","PeriodicalId":39317,"journal":{"name":"中国肺癌杂志","volume":"27 11","pages":"840-848"},"PeriodicalIF":0.0000,"publicationDate":"2024-11-20","publicationTypes":"Journal Article","fieldsOfStudy":null,"isOpenAccess":false,"openAccessPdf":"https://www.ncbi.nlm.nih.gov/pmc/articles/PMC11732381/pdf/","citationCount":"0","resultStr":null,"platform":"Semanticscholar","paperid":null,"PeriodicalName":"中国肺癌杂志","FirstCategoryId":"3","ListUrlMain":"https://doi.org/10.3779/j.issn.1009-3419.2024.101.29","RegionNum":0,"RegionCategory":null,"ArticlePicture":[],"TitleCN":null,"AbstractTextCN":null,"PMCID":null,"EPubDate":"","PubModel":"","JCR":"Q4","JCRName":"Medicine","Score":null,"Total":0}
引用次数: 0

Abstract

Background: Primary pulmonary lymphoepithelial carcinoma (PPLEC) is a rare form of lung malignancy, accounting for only 0.7% of all lung cancers. It is currently classified as a distinct subtype within squamous cell carcinomas. This study aims to explore the clinicopathological characteristics of PPLEC and its subtypes, with the objective of enhancing understanding and improving diagnostic accuracy for this disease.

Methods: A retrospective analysis was conducted on the clinical, pathological, imaging, and prognostic data of 14 patients diagnosed with PPLEC at the First Affiliated Hospital of Soochow University between February 2019 and June 2023.

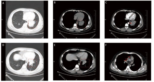
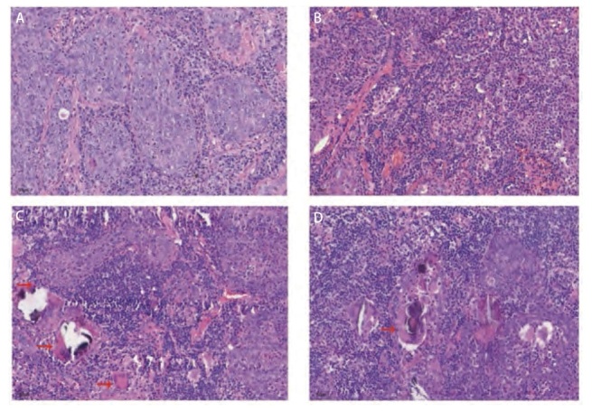
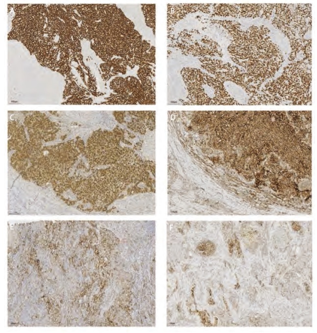
Results: A total of 14 cases of PPLEC were identified, including 5 cases of the Regaud type, with ages ranging from 33 to 73 years, comprising 2 males and 3 females; and 9 cases of the Schmincke type, with ages ranging from 36 to 79 years, including 4 males and 5 females. Computed tomography (CT) scans consistently demonstrated soft tissue masses or nodular shadows. Reagud type mainly showed peripheral masses and Schmincke type mainly showed central masses. Pathological examination revealed tumor cells exhibiting syncytial-like growth, accompanied by lymphocytic infiltration and stromal fibrosis, with the Regaud type showing well-defined borders combined with granulomatous inflammation, while the Schmincke type exhibited indistinct tumor margins. Immunohistochemistry showed that CK, CK5/6, P40 and P63 were positive, and the Ki-67 index of Regaud type was lower than that of Schmincke type; notably, all 8 cases tested for programmed death-ligand 1 (PD-L1) were positive. Epstein-Barr virus-encoded RNA (EBER) in situ hybridization was positive in all instances. Among these cases, 6 underwent surgical treatment, and 8 received comprehensive therapy; by the end of the follow-up period, all 14 patients remained alive.

Conclusions: PPLEC is a rare form of malignant lung tumor associated with Epstein-Barr virus (EBV) infection. The Regaud and Schmincke subtypes display distinct imaging and pathological characteristics. In the early stages of the disease, surgical intervention is the primary treatment method; however, for advanced stages, a multimodal treatment approach is utilized, resulting in a relatively favorable prognosis. Immunotherapy represents a promising and effective treatment modality for patients with middle to advanced stage disease exhibiting high PD-L1 expression levels.

Abstract Image

Abstract Image

Abstract Image

原发性肺淋巴上皮癌14例临床病理分析
背景:原发性肺淋巴上皮癌(PPLEC)是一种罕见的肺部恶性肿瘤,仅占所有肺癌的0.7%。它目前被归类为鳞状细胞癌中一个独特的亚型。本研究旨在探讨PPLEC及其亚型的临床病理特征,以提高对该病的认识和诊断准确性。方法:回顾性分析2019年2月至2023年6月在苏州大学第一附属医院诊断为PPLEC的14例患者的临床、病理、影像学和预后资料。结果:共发现PPLEC 14例,其中Regaud型5例,年龄33 ~ 73岁,男2例,女3例;Schmincke型9例,年龄36 ~ 79岁,男4例,女5例。计算机断层扫描(CT)一致显示软组织肿块或结节影。Reagud型以周围团块为主,Schmincke型以中心团块为主。病理检查显示肿瘤细胞表现为合胞样生长,伴淋巴细胞浸润及间质纤维化,Regaud型边界清晰并伴有肉芽肿性炎症,Schmincke型肿瘤边缘不清。免疫组化示CK、CK5/6、P40、P63阳性,且Regaud型Ki-67指数低于Schmincke型;值得注意的是,所有8例程序性死亡配体1 (PD-L1)检测均呈阳性。Epstein-Barr病毒编码RNA (EBER)原位杂交在所有病例中均为阳性。其中手术治疗6例,综合治疗8例;到随访期结束时,所有14名患者仍然存活。结论:PPLEC是一种罕见的与eb病毒(EBV)感染相关的恶性肺肿瘤。Regaud和Schmincke亚型表现出不同的影像学和病理特征。在疾病早期,手术干预是主要的治疗方法;然而,对于晚期,采用多模式治疗方法,预后相对较好。对于PD-L1高表达的中晚期疾病患者,免疫治疗是一种有希望且有效的治疗方式。
本文章由计算机程序翻译,如有差异,请以英文原文为准。
求助全文
约1分钟内获得全文 求助全文
来源期刊
中国肺癌杂志
中国肺癌杂志 Medicine-Pulmonary and Respiratory Medicine
CiteScore
1.40
自引率
0.00%
发文量
5131
审稿时长
14 weeks
期刊介绍: Chinese Journal of Lung Cancer(CJLC, pISSN 1009-3419, eISSN 1999-6187), a monthly Open Access journal, is hosted by Chinese Anti-Cancer Association, Chinese Antituberculosis Association, Tianjin Medical University General Hospital. CJLC was indexed in DOAJ, EMBASE/SCOPUS, Chemical Abstract(CA), CSA-Biological Science, HINARI, EBSCO-CINAHL,CABI Abstract, Global Health, CNKI, etc. Editor-in-Chief: Professor Qinghua ZHOU.
×
引用
GB/T 7714-2015
复制
MLA
复制
APA
复制
导出至
BibTeX EndNote RefMan NoteFirst NoteExpress
×
提示
您的信息不完整,为了账户安全,请先补充。
现在去补充
×
提示
您因"违规操作"
具体请查看互助需知
我知道了
×
提示
确定
请完成安全验证×
copy
已复制链接
快去分享给好友吧!
我知道了
右上角分享
点击右上角分享
0
联系我们:info@booksci.cn Book学术提供免费学术资源搜索服务,方便国内外学者检索中英文文献。致力于提供最便捷和优质的服务体验。 Copyright © 2023 布克学术 All rights reserved.
京ICP备2023020795号-1
ghs 京公网安备 11010802042870号
Book学术文献互助
Book学术文献互助群
群 号:604180095
Book学术官方微信