LysR-Type Transcriptional Regulator VirR Responds to Temperature and pH and Directly Activates the Transcription of virS-Containing Operon in Rhodococcus equi.

IF 3.2 Q3 MICROBIOLOGY
International Journal of Microbiology Pub Date : 2025-01-03 eCollection Date: 2025-01-01 DOI:10.1155/ijm/6618952
Tsutomu Kakuda, Takashi Sato, Mari Takuhara, Hirofumi Hagiuda, Yasunori Suzuki
{"title":"LysR-Type Transcriptional Regulator VirR Responds to Temperature and pH and Directly Activates the Transcription of <i>virS</i>-Containing Operon in <i>Rhodococcus equi</i>.","authors":"Tsutomu Kakuda, Takashi Sato, Mari Takuhara, Hirofumi Hagiuda, Yasunori Suzuki","doi":"10.1155/ijm/6618952","DOIUrl":null,"url":null,"abstract":"<p><p><i>Rhodococcus equi</i>-a facultative intracellular pathogen of macrophages-causes bronchopneumonia in foals and patients who are immunocompromised. Virulent strains of <i>R. equi</i> possess a virulence-associated plasmid, which encodes a 15- to 17-kDa surface protein called virulence-associated protein A (VapA). VapA expression is regulated by temperature and pH. Two transcriptional regulators, VirR and VirS, are involved in the transcriptional regulation of <i>vapA</i>. VirR regulates VapA expression through VirS. However, whether VirR directly regulates <i>virS</i> transcription is unclear. In this study, we examined VirR binding to the promoter region of the <i>icgA</i> operon, which contains <i>virS</i>, using the electrophoretic mobility shift assay and DNase I footprinting. VirR bound DNA fragments containing the <i>virR</i>-<i>icgA</i> intergenic region. Transcription from the promoter in this region was VirR-dependent and regulated by temperature and pH. The VirR-binding site contained the LysR-type transcriptional regulator-binding consensus motif, T-N<sub>11</sub>-A. A point mutation (L98E) in the putative ligand-binding pocket of VirR constitutively activated the <i>icgA</i> promoter. However, no apparent difference was observed in the electrophoretic mobility shift assay and DNase I footprinting using the <i>icgA</i> promoter when L98E VirR was compared with wild-type VirR. A bacterial two-hybrid system identified an interaction between VirR and RpoA. Our data reveal that VirR binds the promoter of the <i>icgA</i> operon and directly activates its transcription. Furthermore, the regulation of VapA expression in response to temperature and pH is mediated by VirR.</p>","PeriodicalId":14098,"journal":{"name":"International Journal of Microbiology","volume":"2025 ","pages":"6618952"},"PeriodicalIF":3.2000,"publicationDate":"2025-01-03","publicationTypes":"Journal Article","fieldsOfStudy":null,"isOpenAccess":false,"openAccessPdf":"https://www.ncbi.nlm.nih.gov/pmc/articles/PMC11724031/pdf/","citationCount":"0","resultStr":null,"platform":"Semanticscholar","paperid":null,"PeriodicalName":"International Journal of Microbiology","FirstCategoryId":"1085","ListUrlMain":"https://doi.org/10.1155/ijm/6618952","RegionNum":0,"RegionCategory":null,"ArticlePicture":[],"TitleCN":null,"AbstractTextCN":null,"PMCID":null,"EPubDate":"2025/1/1 0:00:00","PubModel":"eCollection","JCR":"Q3","JCRName":"MICROBIOLOGY","Score":null,"Total":0}
引用次数: 0

Abstract

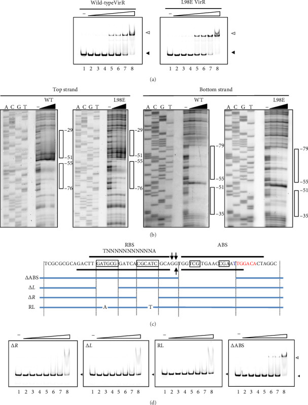
Rhodococcus equi-a facultative intracellular pathogen of macrophages-causes bronchopneumonia in foals and patients who are immunocompromised. Virulent strains of R. equi possess a virulence-associated plasmid, which encodes a 15- to 17-kDa surface protein called virulence-associated protein A (VapA). VapA expression is regulated by temperature and pH. Two transcriptional regulators, VirR and VirS, are involved in the transcriptional regulation of vapA. VirR regulates VapA expression through VirS. However, whether VirR directly regulates virS transcription is unclear. In this study, we examined VirR binding to the promoter region of the icgA operon, which contains virS, using the electrophoretic mobility shift assay and DNase I footprinting. VirR bound DNA fragments containing the virR-icgA intergenic region. Transcription from the promoter in this region was VirR-dependent and regulated by temperature and pH. The VirR-binding site contained the LysR-type transcriptional regulator-binding consensus motif, T-N11-A. A point mutation (L98E) in the putative ligand-binding pocket of VirR constitutively activated the icgA promoter. However, no apparent difference was observed in the electrophoretic mobility shift assay and DNase I footprinting using the icgA promoter when L98E VirR was compared with wild-type VirR. A bacterial two-hybrid system identified an interaction between VirR and RpoA. Our data reveal that VirR binds the promoter of the icgA operon and directly activates its transcription. Furthermore, the regulation of VapA expression in response to temperature and pH is mediated by VirR.

Abstract Image

Abstract Image

Abstract Image

lysr型转录调控因子VirR响应温度和pH并直接激活马红球菌含virs操纵子的转录
等红球菌是巨噬细胞内兼性病原体,在马驹和免疫功能低下的患者中引起支气管肺炎。毒力强的马鼠菌株具有一个毒力相关质粒,该质粒编码一个15- 17 kda的表面蛋白,称为毒力相关蛋白a (VapA)。VapA的表达受温度和ph的调控,两种转录调控因子VirR和VirS参与了VapA的转录调控。VirR通过VirS调控VapA的表达。然而,VirR是否直接调控virS转录尚不清楚。在这项研究中,我们使用电泳迁移量转移法和dna酶I足迹法检测了VirR与含有virS的icgA操纵子启动子区域的结合。含有VirR - icga基因间区的VirR结合DNA片段。该区域启动子的转录依赖于virr,并受温度和ph的调节。virr结合位点包含lysr型转录调节因子结合共识基序T-N11-A。在假定的VirR配体结合口袋中的一个点突变(L98E)组成性地激活了icgA启动子。然而,L98E VirR与野生型VirR相比,在电泳迁移率转移试验和使用icgA启动子的dna酶I足迹上没有明显差异。一个细菌双杂交系统鉴定了VirR和RpoA之间的相互作用。我们的数据显示,VirR结合icgA操纵子的启动子并直接激活其转录。此外,温度和pH对VapA表达的调节是由VirR介导的。
本文章由计算机程序翻译,如有差异,请以英文原文为准。
求助全文
约1分钟内获得全文 求助全文
来源期刊
CiteScore
7.90
自引率
0.00%
发文量
57
审稿时长
13 weeks
期刊介绍: International Journal of Microbiology is a peer-reviewed, Open Access journal that publishes original research articles, review articles, and clinical studies on microorganisms and their interaction with hosts and the environment. The journal covers all microbes, including bacteria, fungi, viruses, archaea, and protozoa. Basic science will be considered, as well as medical and applied research.
×
引用
GB/T 7714-2015
复制
MLA
复制
APA
复制
导出至
BibTeX EndNote RefMan NoteFirst NoteExpress
×
提示
您的信息不完整,为了账户安全,请先补充。
现在去补充
×
提示
您因"违规操作"
具体请查看互助需知
我知道了
×
提示
确定
请完成安全验证×
copy
已复制链接
快去分享给好友吧!
我知道了
右上角分享
点击右上角分享
0
联系我们:info@booksci.cn Book学术提供免费学术资源搜索服务,方便国内外学者检索中英文文献。致力于提供最便捷和优质的服务体验。 Copyright © 2023 布克学术 All rights reserved.
京ICP备2023020795号-1
ghs 京公网安备 11010802042870号
Book学术文献互助
Book学术文献互助群
群 号:604180095
Book学术官方微信