Treatment of Crohn's Disease With Infliximab and Subsequent Development of Takayasu's Arteritis.

IF 1.7 Q4 GASTROENTEROLOGY & HEPATOLOGY
Gastroenterology Research Pub Date : 2024-12-01 Epub Date: 2024-12-28 DOI:10.14740/gr1792
Kei Nomura, Tomoyoshi Shibuya, Momoko Furusho, Hirotaka Ishino, Masayuki Orikasa, Masashi Omori, Rina Odakura, Masao Koma, Kentaro Ito, Takafumi Maruyama, Dai Ishikawa, Mariko Hojo, Akihito Nagahara
{"title":"Treatment of Crohn's Disease With Infliximab and Subsequent Development of Takayasu's Arteritis.","authors":"Kei Nomura, Tomoyoshi Shibuya, Momoko Furusho, Hirotaka Ishino, Masayuki Orikasa, Masashi Omori, Rina Odakura, Masao Koma, Kentaro Ito, Takafumi Maruyama, Dai Ishikawa, Mariko Hojo, Akihito Nagahara","doi":"10.14740/gr1792","DOIUrl":null,"url":null,"abstract":"<p><p>A 23-year-old man was diagnosed with Crohn's disease (CD) of the large intestine after colonoscopy revealed longitudinal ulcers, and pathology revealed non-caseating epithelioid cell granulomas and anal fistulas. The CD relapsed, and therefore prednisolone (PSL) and infliximab (IFX) treatment was initiated. The PSL was gradually tapered. Steroid-free remission was maintained with IFX. The patient subsequently developed a high fever and headache, while CD-related symptoms did not worsen. Laboratory data showed white blood cells at 14,200/µL and C-reactive protein at 17.2 mg/dL. Contrast-enhanced computed tomography revealed thoracoabdominal aortitis, and the patient was consequently diagnosed with Takayasu's arteritis (TA). We therefore again initiated PSL treatment that immediately reduced the fever and headache. The PSL dose was again tapered and the administration of IFX was resumed to maintain CD remission. No further episodes of aortitis relapse were noted after restarting IFX, and the CD currently remains in remission. This is a rare case of TA onset during IFX treatment for CD, and, as such, contributes to the limited literature on such cases. More specifically, this case highlights that when patients with CD present with symptoms such as fever or headache, it is necessary to investigate the possibility of vasculitis.</p>","PeriodicalId":12461,"journal":{"name":"Gastroenterology Research","volume":"17 5-6","pages":"217-223"},"PeriodicalIF":1.7000,"publicationDate":"2024-12-01","publicationTypes":"Journal Article","fieldsOfStudy":null,"isOpenAccess":false,"openAccessPdf":"https://www.ncbi.nlm.nih.gov/pmc/articles/PMC11711032/pdf/","citationCount":"0","resultStr":null,"platform":"Semanticscholar","paperid":null,"PeriodicalName":"Gastroenterology Research","FirstCategoryId":"1085","ListUrlMain":"https://doi.org/10.14740/gr1792","RegionNum":0,"RegionCategory":null,"ArticlePicture":[],"TitleCN":null,"AbstractTextCN":null,"PMCID":null,"EPubDate":"2024/12/28 0:00:00","PubModel":"Epub","JCR":"Q4","JCRName":"GASTROENTEROLOGY & HEPATOLOGY","Score":null,"Total":0}
引用次数: 0

Abstract

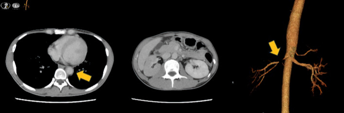
A 23-year-old man was diagnosed with Crohn's disease (CD) of the large intestine after colonoscopy revealed longitudinal ulcers, and pathology revealed non-caseating epithelioid cell granulomas and anal fistulas. The CD relapsed, and therefore prednisolone (PSL) and infliximab (IFX) treatment was initiated. The PSL was gradually tapered. Steroid-free remission was maintained with IFX. The patient subsequently developed a high fever and headache, while CD-related symptoms did not worsen. Laboratory data showed white blood cells at 14,200/µL and C-reactive protein at 17.2 mg/dL. Contrast-enhanced computed tomography revealed thoracoabdominal aortitis, and the patient was consequently diagnosed with Takayasu's arteritis (TA). We therefore again initiated PSL treatment that immediately reduced the fever and headache. The PSL dose was again tapered and the administration of IFX was resumed to maintain CD remission. No further episodes of aortitis relapse were noted after restarting IFX, and the CD currently remains in remission. This is a rare case of TA onset during IFX treatment for CD, and, as such, contributes to the limited literature on such cases. More specifically, this case highlights that when patients with CD present with symptoms such as fever or headache, it is necessary to investigate the possibility of vasculitis.

Abstract Image

Abstract Image

Abstract Image

英夫利昔单抗治疗克罗恩病和高松动脉炎的后续发展。
一名23岁男性在结肠镜检查发现纵向溃疡后被诊断为大肠克罗恩病(CD),病理显示非干酪化上皮样细胞肉芽肿和肛门瘘。CD复发,因此开始强的松龙(PSL)和英夫利昔单抗(IFX)治疗。PSL逐渐变细。IFX维持无类固醇缓解。患者随后出现高烧和头痛,而cd相关症状没有恶化。实验室数据显示白细胞为14200 /µL, c反应蛋白为17.2 mg/dL。增强计算机断层扫描显示胸腹大动脉炎,因此诊断为Takayasu动脉炎(TA)。因此,我们再次开始PSL治疗,立即减少发烧和头痛。再次减少PSL剂量,恢复IFX治疗以维持CD缓解。重新开始IFX治疗后,没有发现进一步的主动脉炎复发,CD目前仍处于缓解期。这是一个罕见的病例TA发作期间IFX治疗CD,因此,有助于有限的文献对这类病例。更具体地说,本病例强调,当乳糜泻患者出现发烧或头痛等症状时,有必要调查血管炎的可能性。
本文章由计算机程序翻译,如有差异,请以英文原文为准。
求助全文
约1分钟内获得全文 求助全文
来源期刊
Gastroenterology Research
Gastroenterology Research GASTROENTEROLOGY & HEPATOLOGY-
自引率
0.00%
发文量
35
×
引用
GB/T 7714-2015
复制
MLA
复制
APA
复制
导出至
BibTeX EndNote RefMan NoteFirst NoteExpress
×
提示
您的信息不完整,为了账户安全,请先补充。
现在去补充
×
提示
您因"违规操作"
具体请查看互助需知
我知道了
×
提示
确定
请完成安全验证×
copy
已复制链接
快去分享给好友吧!
我知道了
右上角分享
点击右上角分享
0
联系我们:info@booksci.cn Book学术提供免费学术资源搜索服务,方便国内外学者检索中英文文献。致力于提供最便捷和优质的服务体验。 Copyright © 2023 布克学术 All rights reserved.
京ICP备2023020795号-1
ghs 京公网安备 11010802042870号
Book学术文献互助
Book学术文献互助群
群 号:604180095
Book学术官方微信