Collapsing glomerulopathy associated with parvovirus B19 and systemic lupus erythematosus in a patient with APOL1 high-risk variant for nephropathy.

IF 1.3 Q3 UROLOGY & NEPHROLOGY
Thaíza Passaglia Bernardes, Thalita Alvarenga Ferradosa Paula, Gabriel Teixeira Montezuma Sales, Patrícia Varela Calais, Renato Demarchi Foresto, Luiz Antonio Moura, Marcelino de Souza Durão Junior, João Bosco Pesquero, Gianna Mastroianni Kirsztajn
{"title":"Collapsing glomerulopathy associated with parvovirus B19 and systemic lupus erythematosus in a patient with APOL1 high-risk variant for nephropathy.","authors":"Thaíza Passaglia Bernardes, Thalita Alvarenga Ferradosa Paula, Gabriel Teixeira Montezuma Sales, Patrícia Varela Calais, Renato Demarchi Foresto, Luiz Antonio Moura, Marcelino de Souza Durão Junior, João Bosco Pesquero, Gianna Mastroianni Kirsztajn","doi":"10.1590/2175-8239-JBN-2024-0104en","DOIUrl":null,"url":null,"abstract":"<p><p>Collapsing glomerulopathy (CG) has a severe course typically associated with viral infections, especially HIV and parvovirus B19, systemic lupus erythematosus (SLE), among other etiologies. A 35-year-old woman with recent use of a JAK inhibitor due to rheumatoid arthritis presented with a 2-week history of fever, cervical adenopathy, and facial erythema. After admission, anemia, hypoalbuminemia, proteinuria, and severe acute kidney injury were noted. SLE was diagnosed and parvovirus B19 DNA was detected in serum samples. Kidney biopsy showed CG without any typical features of lupus nephritis. The patient was treated with prednisone and presented marked improvement of anemia and kidney function after a few weeks. In this case, the patient with SLE presented CG possibly caused by parvovirus B19 infection associated with homozygous apolipoprotein 1 (APOL1) G1 genotype, which has been described as a determinant risk factor for this glomerulopathy. It is not clear whether SLE had a causal relationship with glomerular disease or was a concurrent cause. Treatment can be challenging in such a context, as no antiviral drug is efficient and immunosuppression has no discernable benefit, although steroid use was efficient in treating renal manifestations in this case.</p>","PeriodicalId":14724,"journal":{"name":"Jornal brasileiro de nefrologia : 'orgao oficial de Sociedades Brasileira e Latino-Americana de Nefrologia","volume":"47 1","pages":"e20240104"},"PeriodicalIF":1.3000,"publicationDate":"2025-01-01","publicationTypes":"Journal Article","fieldsOfStudy":null,"isOpenAccess":false,"openAccessPdf":"https://www.ncbi.nlm.nih.gov/pmc/articles/PMC11723606/pdf/","citationCount":"0","resultStr":null,"platform":"Semanticscholar","paperid":null,"PeriodicalName":"Jornal brasileiro de nefrologia : 'orgao oficial de Sociedades Brasileira e Latino-Americana de Nefrologia","FirstCategoryId":"1085","ListUrlMain":"https://doi.org/10.1590/2175-8239-JBN-2024-0104en","RegionNum":0,"RegionCategory":null,"ArticlePicture":[],"TitleCN":null,"AbstractTextCN":null,"PMCID":null,"EPubDate":"","PubModel":"","JCR":"Q3","JCRName":"UROLOGY & NEPHROLOGY","Score":null,"Total":0}
引用次数: 0

Abstract

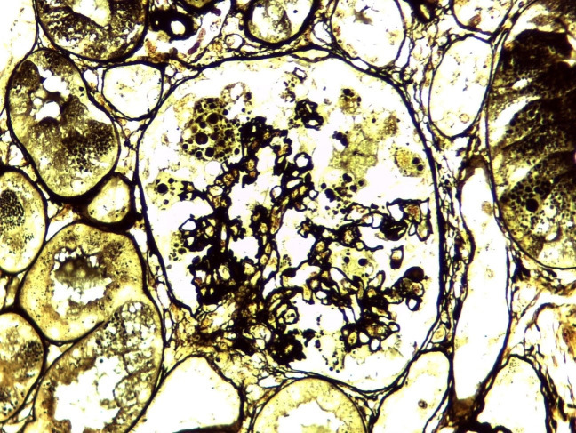
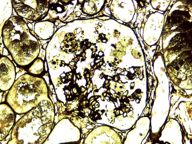
Collapsing glomerulopathy (CG) has a severe course typically associated with viral infections, especially HIV and parvovirus B19, systemic lupus erythematosus (SLE), among other etiologies. A 35-year-old woman with recent use of a JAK inhibitor due to rheumatoid arthritis presented with a 2-week history of fever, cervical adenopathy, and facial erythema. After admission, anemia, hypoalbuminemia, proteinuria, and severe acute kidney injury were noted. SLE was diagnosed and parvovirus B19 DNA was detected in serum samples. Kidney biopsy showed CG without any typical features of lupus nephritis. The patient was treated with prednisone and presented marked improvement of anemia and kidney function after a few weeks. In this case, the patient with SLE presented CG possibly caused by parvovirus B19 infection associated with homozygous apolipoprotein 1 (APOL1) G1 genotype, which has been described as a determinant risk factor for this glomerulopathy. It is not clear whether SLE had a causal relationship with glomerular disease or was a concurrent cause. Treatment can be challenging in such a context, as no antiviral drug is efficient and immunosuppression has no discernable benefit, although steroid use was efficient in treating renal manifestations in this case.

Abstract Image

Abstract Image

Abstract Image

1例APOL1肾病高危变异患者伴细小病毒B19和系统性红斑狼疮的塌陷肾小球病
萎陷性肾小球病(CG)病程严重,通常与病毒感染有关,尤其是HIV和细小病毒B19、系统性红斑狼疮(SLE)以及其他病因。一名35岁女性,近期因类风湿关节炎使用JAK抑制剂,表现为2周的发热、颈部腺病和面部红斑史。入院后出现贫血、低白蛋白血症、蛋白尿和严重急性肾损伤。诊断SLE,血清样本中检测细小病毒B19 DNA。肾活检示CG,无狼疮性肾炎的典型特征。患者经强的松治疗,几周后贫血和肾功能明显改善。本例SLE患者出现CG,可能是由与纯合子载脂蛋白1 (APOL1) G1基因型相关的细小病毒B19感染引起的,该基因型已被描述为该肾小球病变的决定性危险因素。目前尚不清楚SLE是否与肾小球疾病有因果关系,还是同时存在。在这种情况下,治疗可能具有挑战性,因为没有抗病毒药物有效,免疫抑制没有明显的益处,尽管在这种情况下使用类固醇治疗肾脏表现有效。
本文章由计算机程序翻译,如有差异,请以英文原文为准。
求助全文
约1分钟内获得全文 求助全文
来源期刊
CiteScore
2.20
自引率
16.70%
发文量
208
审稿时长
16 weeks
×
引用
GB/T 7714-2015
复制
MLA
复制
APA
复制
导出至
BibTeX EndNote RefMan NoteFirst NoteExpress
×
提示
您的信息不完整,为了账户安全,请先补充。
现在去补充
×
提示
您因"违规操作"
具体请查看互助需知
我知道了
×
提示
确定
请完成安全验证×
copy
已复制链接
快去分享给好友吧!
我知道了
右上角分享
点击右上角分享
0
联系我们:info@booksci.cn Book学术提供免费学术资源搜索服务,方便国内外学者检索中英文文献。致力于提供最便捷和优质的服务体验。 Copyright © 2023 布克学术 All rights reserved.
京ICP备2023020795号-1
ghs 京公网安备 11010802042870号
Book学术文献互助
Book学术文献互助群
群 号:604180095
Book学术官方微信