Percutaneous cryoablation of renal tumours under computed tomography guidance: methodology of the procedure.

Polish journal of radiology Pub Date : 2024-11-12 eCollection Date: 2024-01-01 DOI:10.5114/pjr/193205
Maciej Guziński, Wojciech Krajewski, Wojciech Tomczak, Łukasz Nowak, Jan Łaszkiewicz, Joanna Chorbińska, Adam Chełmoński, Bartosz Małkiewicz, Tomasz Szydełko
{"title":"Percutaneous cryoablation of renal tumours under computed tomography guidance: methodology of the procedure.","authors":"Maciej Guziński, Wojciech Krajewski, Wojciech Tomczak, Łukasz Nowak, Jan Łaszkiewicz, Joanna Chorbińska, Adam Chełmoński, Bartosz Małkiewicz, Tomasz Szydełko","doi":"10.5114/pjr/193205","DOIUrl":null,"url":null,"abstract":"<p><strong>Purpose: </strong>The incidence of renal cell carcinoma has been steadily increasing over the past two decades, raising the need for minimally invasive approaches. We sought to present the methodology of the percutaneous cryoablation (PCA) procedure developed based on one year of experience with 81 PCA procedures.</p><p><strong>Material and methods: </strong>The percutaneous cryoablation programme at Wroclaw Medical University Hospital has been successfully operating for a year. During this period, patients who were ineligible for partial nephrectomy either because of numerous comorbidities or strong preference against surgery were treated with PCA. Each procedure was conducted with the close cooperation of an interventional radiologist and a urologist.</p><p><strong>Results: </strong>Over the past year, 81 procedures in 74 individuals have been performed and thoroughly analysed. The mean and median effective radiation doses were 12.57 mSv and 10.76 mSv, respectively. Comprehensive details of our workflow are described within the body of the manuscript.</p><p><strong>Conclusions: </strong>Percutaneous cryoablation is a technically effective treatment approach for carefully selected individuals with small renal masses. However, starting a PCA programme from scratch necessitates creation of detailed protocols, as well as close interventional radiologist and urologist cooperation. This review outlines the established workflow and shares insights gained from one year of experience with percutaneous cryoablation.</p>","PeriodicalId":94174,"journal":{"name":"Polish journal of radiology","volume":"89 ","pages":"e526-e530"},"PeriodicalIF":0.0000,"publicationDate":"2024-11-12","publicationTypes":"Journal Article","fieldsOfStudy":null,"isOpenAccess":false,"openAccessPdf":"https://www.ncbi.nlm.nih.gov/pmc/articles/PMC11704947/pdf/","citationCount":"0","resultStr":null,"platform":"Semanticscholar","paperid":null,"PeriodicalName":"Polish journal of radiology","FirstCategoryId":"1085","ListUrlMain":"https://doi.org/10.5114/pjr/193205","RegionNum":0,"RegionCategory":null,"ArticlePicture":[],"TitleCN":null,"AbstractTextCN":null,"PMCID":null,"EPubDate":"2024/1/1 0:00:00","PubModel":"eCollection","JCR":"","JCRName":"","Score":null,"Total":0}
引用次数: 0

Abstract

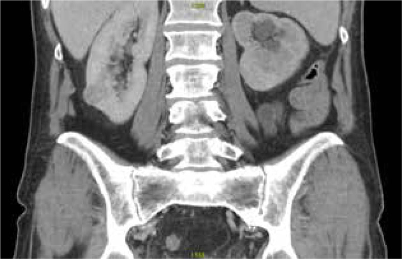
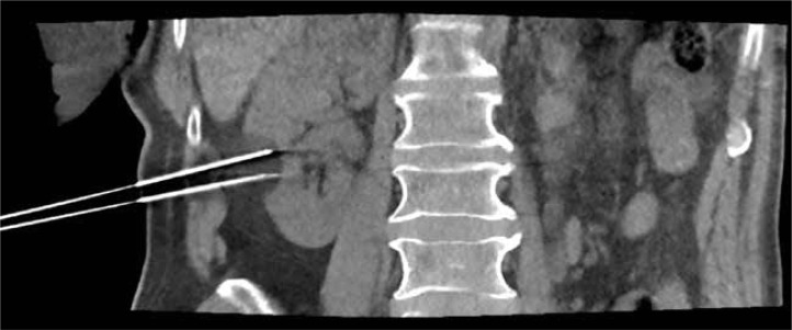
Purpose: The incidence of renal cell carcinoma has been steadily increasing over the past two decades, raising the need for minimally invasive approaches. We sought to present the methodology of the percutaneous cryoablation (PCA) procedure developed based on one year of experience with 81 PCA procedures.

Material and methods: The percutaneous cryoablation programme at Wroclaw Medical University Hospital has been successfully operating for a year. During this period, patients who were ineligible for partial nephrectomy either because of numerous comorbidities or strong preference against surgery were treated with PCA. Each procedure was conducted with the close cooperation of an interventional radiologist and a urologist.

Results: Over the past year, 81 procedures in 74 individuals have been performed and thoroughly analysed. The mean and median effective radiation doses were 12.57 mSv and 10.76 mSv, respectively. Comprehensive details of our workflow are described within the body of the manuscript.

Conclusions: Percutaneous cryoablation is a technically effective treatment approach for carefully selected individuals with small renal masses. However, starting a PCA programme from scratch necessitates creation of detailed protocols, as well as close interventional radiologist and urologist cooperation. This review outlines the established workflow and shares insights gained from one year of experience with percutaneous cryoablation.

Abstract Image

Abstract Image

在计算机断层扫描指导下经皮肾肿瘤冷冻消融:手术方法学。
目的:在过去的二十年中,肾细胞癌的发病率稳步上升,增加了对微创手术的需求。我们试图提出的方法经皮冷冻消融(PCA)程序开发基于一年的经验,81 PCA程序。材料和方法:弗罗茨瓦夫医科大学医院的经皮冷冻消融方案已成功实施一年。在此期间,由于许多合并症或强烈反对手术而不适合部分肾切除术的患者接受PCA治疗。每个手术都是在介入放射科医生和泌尿科医生的密切合作下进行的。结果:在过去的一年中,对74例患者进行了81例手术并进行了彻底分析。平均和中位有效辐射剂量分别为12.57毫西弗和10.76毫西弗。我们工作流程的全面细节在手稿的正文中描述。结论:经皮冷冻消融是一种技术上有效的治疗肾小肿块的方法。然而,从头开始PCA项目需要制定详细的方案,以及介入放射科医生和泌尿科医生的密切合作。这篇综述概述了已建立的工作流程,并分享了从一年的经皮冷冻消融经验中获得的见解。
本文章由计算机程序翻译,如有差异,请以英文原文为准。
求助全文
约1分钟内获得全文 求助全文
来源期刊
CiteScore
2.10
自引率
0.00%
发文量
0
×
引用
GB/T 7714-2015
复制
MLA
复制
APA
复制
导出至
BibTeX EndNote RefMan NoteFirst NoteExpress
×
提示
您的信息不完整,为了账户安全,请先补充。
现在去补充
×
提示
您因"违规操作"
具体请查看互助需知
我知道了
×
提示
确定
请完成安全验证×
copy
已复制链接
快去分享给好友吧!
我知道了
右上角分享
点击右上角分享
0
联系我们:info@booksci.cn Book学术提供免费学术资源搜索服务,方便国内外学者检索中英文文献。致力于提供最便捷和优质的服务体验。 Copyright © 2023 布克学术 All rights reserved.
京ICP备2023020795号-1
ghs 京公网安备 11010802042870号
Book学术文献互助
Book学术文献互助群
群 号:604180095
Book学术官方微信