Analysis of small abdominal aortic aneurysms with the radiotracer technetium-99m- 6-hydrazinylnicotinoyl-C-C-chemokine receptor-2 ligand (99mTc-HYNIC-CCR2-L) with single-photon emission computed tomography.

Polish journal of radiology Pub Date : 2024-11-20 eCollection Date: 2024-01-01 DOI:10.5114/pjr/194210
Javier E Anaya-Ayala, Brenda J Galicia-Vega, Jacqueline Mejia-Cervantes, Eleazar Ignacio-Alvarez, Ingrid A Landero-Aguilar, Guillermina Ferro-Flores, Brenda N Marquina-Castillo, Brenda Gibbens-Bandala, Carlos A Hinojosa
{"title":"Analysis of small abdominal aortic aneurysms with the radiotracer technetium-99m- 6-hydrazinylnicotinoyl-C-C-chemokine receptor-2 ligand (<sup>99m</sup>Tc-HYNIC-CCR2-L) with single-photon emission computed tomography.","authors":"Javier E Anaya-Ayala, Brenda J Galicia-Vega, Jacqueline Mejia-Cervantes, Eleazar Ignacio-Alvarez, Ingrid A Landero-Aguilar, Guillermina Ferro-Flores, Brenda N Marquina-Castillo, Brenda Gibbens-Bandala, Carlos A Hinojosa","doi":"10.5114/pjr/194210","DOIUrl":null,"url":null,"abstract":"<p><strong>Purpose: </strong>Monocyte chemoattractant protein-1 (MCP-1/CCL2) plays a key role for infiltration of monocytes/macrophages and studies have demonstrated that the MCP-1/C-C chemokine receptor 2 (CCR2) axis might be involved in the pathogenesis and progression of abdominal aortic aneurysms (AAA). Molecular imaging has shown potential for human clinical research studies. We evaluated the expression of CCR2 in patients with small AAA using single-photon emission computed tomography (SPECT) with the technetium-99m-6-hydrazinylnicotinoyl-C-C-chemokine receptor-2 ligand (<sup>99m</sup>Tc-HYNIC-CCR2-L).</p><p><strong>Material and methods: </strong>A pilot study was performed to evaluate patients with small asymptomatic AAA. The equipment used was a Symbia T2 (Siemens, Germany), with radiolabeled <sup>99m</sup>Tc-HYNIC-CCR2-L. The SPECT uptake and activity were assessed and counted based on the region of interest (ROI), with nonparametric statistics being employed to compare the aneurysms site, left ventricle (Control 1) and regions with a nondiseased aorta (Control 2).</p><p><strong>Results: </strong>The three patients were male (100%) (mean age 81 years, and mean AAA maximum diameter of 40 mm, SD 3 mm). All patients tolerated the studies well. Images were obtained at one, two and four hours. The ROI mean value of the aneurysm site was 37,783 (SD 11,890), compared to the left ventricle (Control 1) 16,779 (SD 4397) (<i>p-</i>value = 0.0001); ROI for the nondiseased aortic region (Control 2) was significantly lower, 12,520 (SD 2141) (<i>p-</i>value = 0.0001).</p><p><strong>Conclusions: </strong>Significant differences of CCR2 expression SPECT were found in the AAA site compared to the left ventricle and nondiseased aortic segments. The introduction of well-designed longitudinal studies with nuclear imaging modalities may assist in the molecular characterization of aneurysmal and rupture prediction.</p>","PeriodicalId":94174,"journal":{"name":"Polish journal of radiology","volume":"89 ","pages":"e541-e548"},"PeriodicalIF":0.0000,"publicationDate":"2024-11-20","publicationTypes":"Journal Article","fieldsOfStudy":null,"isOpenAccess":false,"openAccessPdf":"https://www.ncbi.nlm.nih.gov/pmc/articles/PMC11705040/pdf/","citationCount":"0","resultStr":null,"platform":"Semanticscholar","paperid":null,"PeriodicalName":"Polish journal of radiology","FirstCategoryId":"1085","ListUrlMain":"https://doi.org/10.5114/pjr/194210","RegionNum":0,"RegionCategory":null,"ArticlePicture":[],"TitleCN":null,"AbstractTextCN":null,"PMCID":null,"EPubDate":"2024/1/1 0:00:00","PubModel":"eCollection","JCR":"","JCRName":"","Score":null,"Total":0}
引用次数: 0

Abstract

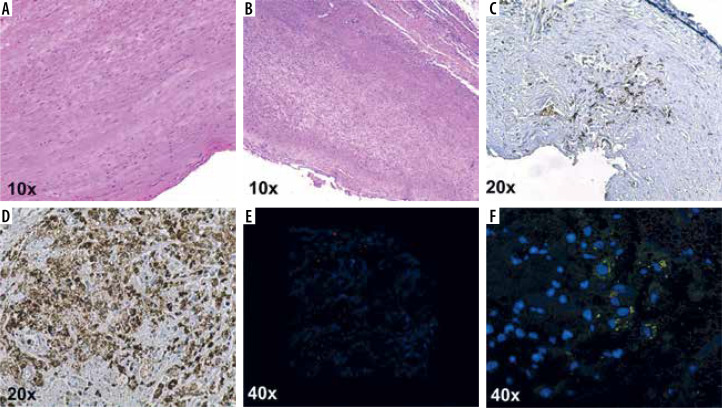
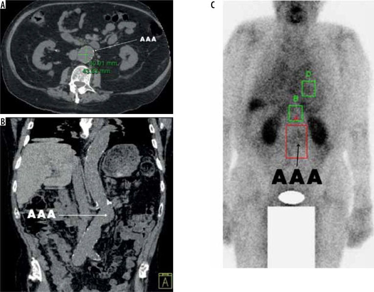
Purpose: Monocyte chemoattractant protein-1 (MCP-1/CCL2) plays a key role for infiltration of monocytes/macrophages and studies have demonstrated that the MCP-1/C-C chemokine receptor 2 (CCR2) axis might be involved in the pathogenesis and progression of abdominal aortic aneurysms (AAA). Molecular imaging has shown potential for human clinical research studies. We evaluated the expression of CCR2 in patients with small AAA using single-photon emission computed tomography (SPECT) with the technetium-99m-6-hydrazinylnicotinoyl-C-C-chemokine receptor-2 ligand (99mTc-HYNIC-CCR2-L).

Material and methods: A pilot study was performed to evaluate patients with small asymptomatic AAA. The equipment used was a Symbia T2 (Siemens, Germany), with radiolabeled 99mTc-HYNIC-CCR2-L. The SPECT uptake and activity were assessed and counted based on the region of interest (ROI), with nonparametric statistics being employed to compare the aneurysms site, left ventricle (Control 1) and regions with a nondiseased aorta (Control 2).

Results: The three patients were male (100%) (mean age 81 years, and mean AAA maximum diameter of 40 mm, SD 3 mm). All patients tolerated the studies well. Images were obtained at one, two and four hours. The ROI mean value of the aneurysm site was 37,783 (SD 11,890), compared to the left ventricle (Control 1) 16,779 (SD 4397) (p-value = 0.0001); ROI for the nondiseased aortic region (Control 2) was significantly lower, 12,520 (SD 2141) (p-value = 0.0001).

Conclusions: Significant differences of CCR2 expression SPECT were found in the AAA site compared to the left ventricle and nondiseased aortic segments. The introduction of well-designed longitudinal studies with nuclear imaging modalities may assist in the molecular characterization of aneurysmal and rupture prediction.

Abstract Image

Abstract Image

Abstract Image

放射性示踪剂锝- 99mTc-HYNIC-CCR2-L与单光子发射计算机断层扫描对小腹主动脉瘤的分析
目的:单核细胞趋化蛋白-1 (MCP-1/CCL2)在单核细胞/巨噬细胞浸润中起关键作用,研究表明MCP-1/C-C趋化因子受体2 (CCR2)轴可能参与腹主动脉瘤(AAA)的发病和进展。分子成像在人体临床研究中显示出潜力。我们使用单光子发射计算机断层扫描(SPECT)与锝-99m-6-肼酰烟酰-c -c -趋化因子受体-2配体(99mtc - hyic -CCR2- l)评估了CCR2在小AAA患者中的表达。材料和方法:对小型无症状AAA患者进行了一项初步研究,使用的设备是Symbia T2 (Siemens, Germany),放射性标记为99mTc-HYNIC-CCR2-L。结果:3例患者均为男性(100%),平均年龄81岁,平均AAA最大直径40 mm, SD 3 mm,平均AAA最大直径40 mm,平均AAA最大直径40 mm。所有患者都能很好地耐受这些研究。在1小时、2小时和4小时获得图像。动脉瘤部位的ROI均值为37,783 (SD 11,890),而左心室(对照1)的ROI均值为16,779 (SD 4397) (p值= 0.0001);非病变主动脉区(对照组2)的ROI明显较低,为12,520 (SD 2141) (p值= 0.0001)。结论:与左心室和未病变主动脉段相比,AAA部位CCR2表达SPECT有显著差异。采用核成像方式进行精心设计的纵向研究可能有助于动脉瘤的分子特征和破裂预测。
本文章由计算机程序翻译,如有差异,请以英文原文为准。
求助全文
约1分钟内获得全文 求助全文
来源期刊
CiteScore
2.10
自引率
0.00%
发文量
0
×
引用
GB/T 7714-2015
复制
MLA
复制
APA
复制
导出至
BibTeX EndNote RefMan NoteFirst NoteExpress
×
提示
您的信息不完整,为了账户安全,请先补充。
现在去补充
×
提示
您因"违规操作"
具体请查看互助需知
我知道了
×
提示
确定
请完成安全验证×
copy
已复制链接
快去分享给好友吧!
我知道了
右上角分享
点击右上角分享
0
联系我们:info@booksci.cn Book学术提供免费学术资源搜索服务,方便国内外学者检索中英文文献。致力于提供最便捷和优质的服务体验。 Copyright © 2023 布克学术 All rights reserved.
京ICP备2023020795号-1
ghs 京公网安备 11010802042870号
Book学术文献互助
Book学术文献互助群
群 号:604180095
Book学术官方微信