Cardiac metastasis of a soft tissue sarcoma: Case report and review of literature.

IF 1 Q4 RADIOLOGY, NUCLEAR MEDICINE & MEDICAL IMAGING
Acta radiologica open Pub Date : 2025-01-07 eCollection Date: 2025-01-01 DOI:10.1177/20584601241313111
Ayoub Chetoui, Oula Alouazen, Lamya Yazghi Martahe, Asmae Oulad Amar, Siham Alaoui Rachidi
{"title":"Cardiac metastasis of a soft tissue sarcoma: Case report and review of literature.","authors":"Ayoub Chetoui, Oula Alouazen, Lamya Yazghi Martahe, Asmae Oulad Amar, Siham Alaoui Rachidi","doi":"10.1177/20584601241313111","DOIUrl":null,"url":null,"abstract":"<p><p>Cardiac metastases are the most frequent cardiac tumors. They can cause dysrhythmia, myocardial dysfunction, pericardial effusion, and heart failure. In decreasing order, the major primary malignancies associated with cardiac metastases are pleural mesothelioma, lung adenocarcinoma, undifferentiated carcinomas, lung squamous cell carcinoma, and breast carcinoma. Cardiac metastasis of sarcomas is uncommon, and only a limited number of cases have been found in literature. We report the case of an incidentally discovered cardiac metastasis when assessing the extension of a thigh mass in a 45-year-old man.</p>","PeriodicalId":72063,"journal":{"name":"Acta radiologica open","volume":"14 1","pages":"20584601241313111"},"PeriodicalIF":1.0000,"publicationDate":"2025-01-07","publicationTypes":"Journal Article","fieldsOfStudy":null,"isOpenAccess":false,"openAccessPdf":"https://www.ncbi.nlm.nih.gov/pmc/articles/PMC11707774/pdf/","citationCount":"0","resultStr":null,"platform":"Semanticscholar","paperid":null,"PeriodicalName":"Acta radiologica open","FirstCategoryId":"1085","ListUrlMain":"https://doi.org/10.1177/20584601241313111","RegionNum":0,"RegionCategory":null,"ArticlePicture":[],"TitleCN":null,"AbstractTextCN":null,"PMCID":null,"EPubDate":"2025/1/1 0:00:00","PubModel":"eCollection","JCR":"Q4","JCRName":"RADIOLOGY, NUCLEAR MEDICINE & MEDICAL IMAGING","Score":null,"Total":0}
引用次数: 0

Abstract

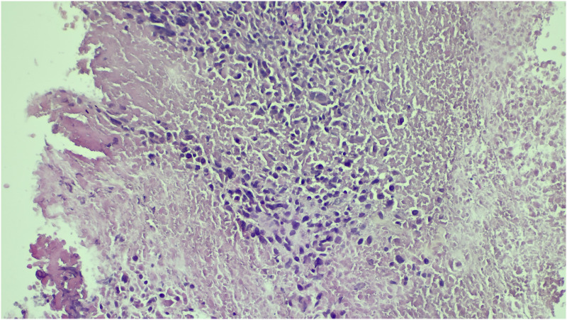
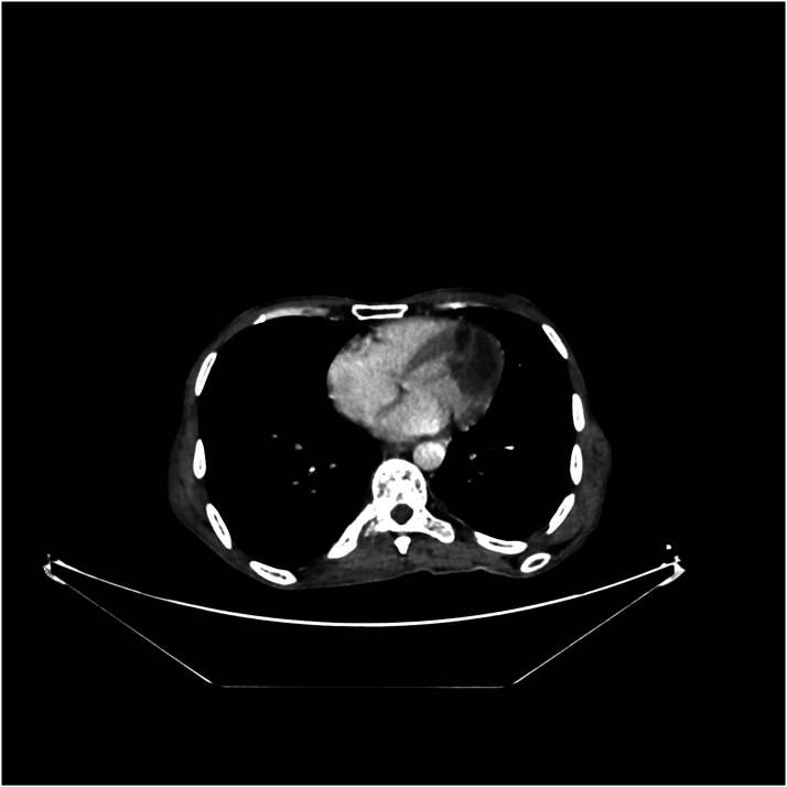
Cardiac metastases are the most frequent cardiac tumors. They can cause dysrhythmia, myocardial dysfunction, pericardial effusion, and heart failure. In decreasing order, the major primary malignancies associated with cardiac metastases are pleural mesothelioma, lung adenocarcinoma, undifferentiated carcinomas, lung squamous cell carcinoma, and breast carcinoma. Cardiac metastasis of sarcomas is uncommon, and only a limited number of cases have been found in literature. We report the case of an incidentally discovered cardiac metastasis when assessing the extension of a thigh mass in a 45-year-old man.

Abstract Image

Abstract Image

Abstract Image

软组织肉瘤心脏转移一例报告及文献复习。
心脏转移瘤是最常见的心脏肿瘤。它们可引起心律失常、心肌功能障碍、心包积液和心力衰竭。与心脏转移相关的主要原发恶性肿瘤依次为胸膜间皮瘤、肺腺癌、未分化癌、肺鳞状细胞癌和乳腺癌。肉瘤的心脏转移并不常见,文献中只发现少数病例。我们报告的情况下,偶然发现心脏转移时,评估大腿肿块的延伸在一个45岁的男子。
本文章由计算机程序翻译,如有差异,请以英文原文为准。
求助全文
约1分钟内获得全文 求助全文
来源期刊
自引率
0.00%
发文量
0
审稿时长
12 weeks
×
引用
GB/T 7714-2015
复制
MLA
复制
APA
复制
导出至
BibTeX EndNote RefMan NoteFirst NoteExpress
×
提示
您的信息不完整,为了账户安全,请先补充。
现在去补充
×
提示
您因"违规操作"
具体请查看互助需知
我知道了
×
提示
确定
请完成安全验证×
copy
已复制链接
快去分享给好友吧!
我知道了
右上角分享
点击右上角分享
0
联系我们:info@booksci.cn Book学术提供免费学术资源搜索服务,方便国内外学者检索中英文文献。致力于提供最便捷和优质的服务体验。 Copyright © 2023 布克学术 All rights reserved.
京ICP备2023020795号-1
ghs 京公网安备 11010802042870号
Book学术文献互助
Book学术文献互助群
群 号:604180095
Book学术官方微信