Haemoptysis as a presentation of an infected aortic aneurysm rupture.

IF 1.6 Q3 RESPIRATORY SYSTEM
Elisa Landin-Rey, Maria Elena Toubes-Navarro, Miguel Dominguez-Robla, Maria Rey-Bascuas, Luis Valdes-Cuadrado
{"title":"Haemoptysis as a presentation of an infected aortic aneurysm rupture.","authors":"Elisa Landin-Rey, Maria Elena Toubes-Navarro, Miguel Dominguez-Robla, Maria Rey-Bascuas, Luis Valdes-Cuadrado","doi":"10.5826/mrm.2025.1004","DOIUrl":null,"url":null,"abstract":"<p><strong>Introduction: </strong>Infective thoracic aortic aneurysms are uncommon, especially presenting with haemoptysis.</p><p><strong>Case presentation: </strong>We report the case of an 81-year-old male who presented with fever and pleuritic chest pain and was initially misdiagnosed with community-acquired pneumonia. A CT scan later  revealed a saccular, ruptured thoracic aortic aneurysm. Despite antibiotic therapy, the patient developed haemoptysis, necessitating thoracic endovascular aortic repair (TEVAR). Post-procedure, the patient showed significant clinical improvement and was discharged in stable condition 45 days later.</p><p><strong>Conclusions: </strong>Infected thoracic aortic aneurysms presenting as haemoptysis are exceptionally rare but life-threatening. Early clinical suspicion (manifested by haemoptysis, fever and thoracic pain) is essential, particularly in patients with risk factors such as immunosuppression or previous infections. This case emphasizes the importance of prompt diagnosis and intervention, along with the use of appropriate imaging techniques to reduce morbidity and mortality associated with this rare yet severe condition.</p>","PeriodicalId":51135,"journal":{"name":"Multidisciplinary Respiratory Medicine","volume":"20 ","pages":""},"PeriodicalIF":1.6000,"publicationDate":"2025-01-08","publicationTypes":"Journal Article","fieldsOfStudy":null,"isOpenAccess":false,"openAccessPdf":"https://www.ncbi.nlm.nih.gov/pmc/articles/PMC11798534/pdf/","citationCount":"0","resultStr":null,"platform":"Semanticscholar","paperid":null,"PeriodicalName":"Multidisciplinary Respiratory Medicine","FirstCategoryId":"1085","ListUrlMain":"https://doi.org/10.5826/mrm.2025.1004","RegionNum":0,"RegionCategory":null,"ArticlePicture":[],"TitleCN":null,"AbstractTextCN":null,"PMCID":null,"EPubDate":"","PubModel":"","JCR":"Q3","JCRName":"RESPIRATORY SYSTEM","Score":null,"Total":0}
引用次数: 0

Abstract

Introduction: Infective thoracic aortic aneurysms are uncommon, especially presenting with haemoptysis.

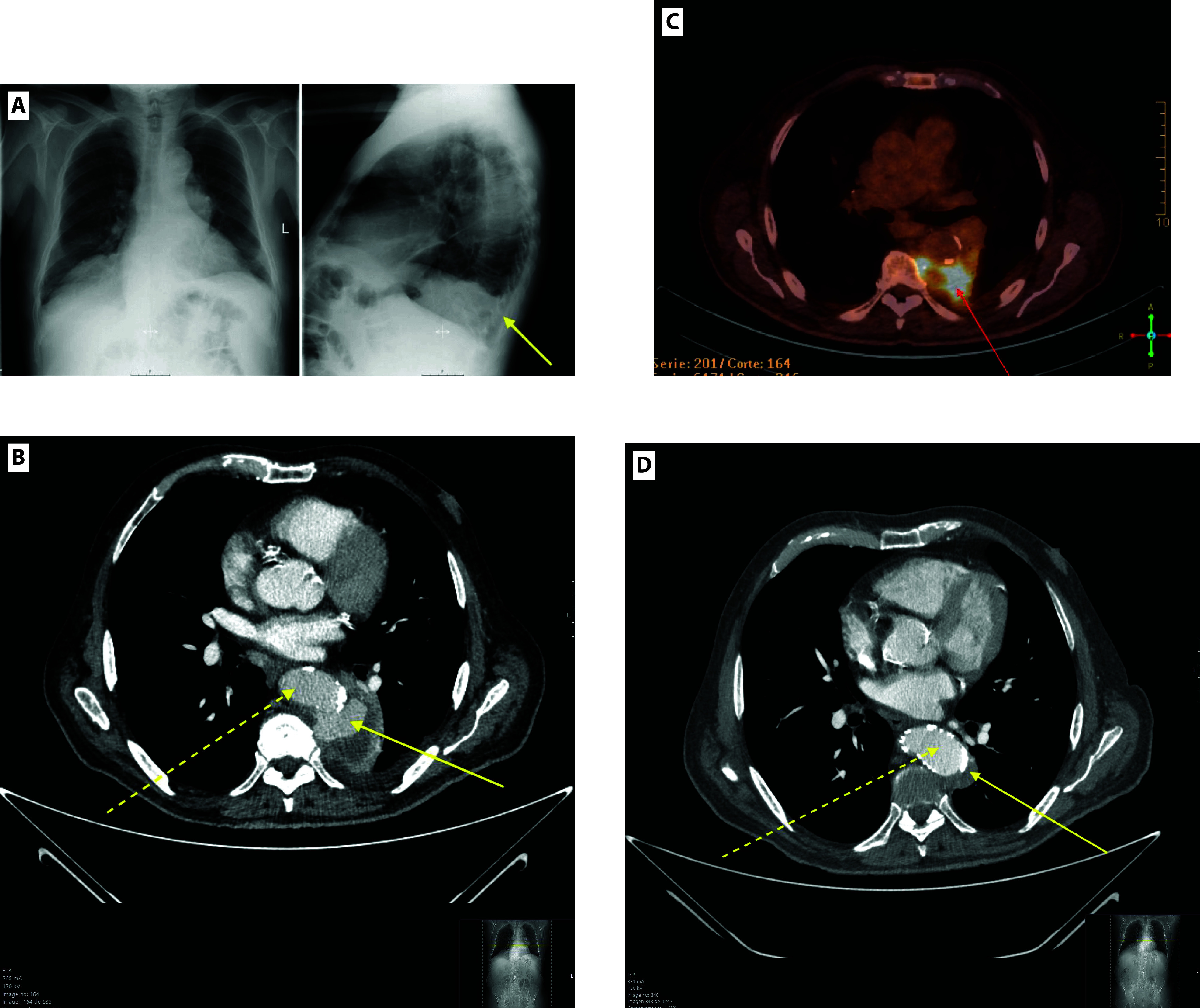
Case presentation: We report the case of an 81-year-old male who presented with fever and pleuritic chest pain and was initially misdiagnosed with community-acquired pneumonia. A CT scan later  revealed a saccular, ruptured thoracic aortic aneurysm. Despite antibiotic therapy, the patient developed haemoptysis, necessitating thoracic endovascular aortic repair (TEVAR). Post-procedure, the patient showed significant clinical improvement and was discharged in stable condition 45 days later.

Conclusions: Infected thoracic aortic aneurysms presenting as haemoptysis are exceptionally rare but life-threatening. Early clinical suspicion (manifested by haemoptysis, fever and thoracic pain) is essential, particularly in patients with risk factors such as immunosuppression or previous infections. This case emphasizes the importance of prompt diagnosis and intervention, along with the use of appropriate imaging techniques to reduce morbidity and mortality associated with this rare yet severe condition.

Abstract Image

Abstract Image

咯血是感染的主动脉瘤破裂的表现。
感染性胸主动脉瘤并不常见,尤其以咯血为主要表现。病例介绍:我们报告一例81岁男性,他表现为发烧和胸膜炎性胸痛,最初被误诊为社区获得性肺炎。后来的CT扫描显示一个囊状,破裂的胸主动脉瘤。尽管抗生素治疗,患者仍出现咯血,需要进行胸血管内主动脉修复(TEVAR)。术后患者临床表现明显改善,45天后出院,病情稳定。结论:感染的胸主动脉瘤表现为咯血是非常罕见的,但危及生命。早期临床怀疑(表现为咯血、发热和胸痛)是必要的,特别是对有免疫抑制或既往感染等危险因素的患者。该病例强调了及时诊断和干预的重要性,同时使用适当的成像技术来降低与这种罕见但严重的疾病相关的发病率和死亡率。
本文章由计算机程序翻译,如有差异,请以英文原文为准。
求助全文
约1分钟内获得全文 求助全文
来源期刊
CiteScore
4.40
自引率
0.00%
发文量
23
审稿时长
>12 weeks
期刊介绍: Multidisciplinary Respiratory Medicine is the official journal of the Italian Respiratory Society - Società Italiana di Pneumologia (IRS/SIP). The journal publishes on all aspects of respiratory medicine and related fields, with a particular focus on interdisciplinary and translational research. The interdisciplinary nature of the journal provides a unique opportunity for researchers, clinicians and healthcare professionals across specialties to collaborate and exchange information. The journal provides a high visibility platform for the publication and dissemination of top quality original scientific articles, reviews and important position papers documenting clinical and experimental advances.
×
引用
GB/T 7714-2015
复制
MLA
复制
APA
复制
导出至
BibTeX EndNote RefMan NoteFirst NoteExpress
×
提示
您的信息不完整,为了账户安全,请先补充。
现在去补充
×
提示
您因"违规操作"
具体请查看互助需知
我知道了
×
提示
确定
请完成安全验证×
copy
已复制链接
快去分享给好友吧!
我知道了
右上角分享
点击右上角分享
0
联系我们:info@booksci.cn Book学术提供免费学术资源搜索服务,方便国内外学者检索中英文文献。致力于提供最便捷和优质的服务体验。 Copyright © 2023 布克学术 All rights reserved.
京ICP备2023020795号-1
ghs 京公网安备 11010802042870号
Book学术文献互助
Book学术文献互助群
群 号:604180095
Book学术官方微信