Teenage Patients with Class II Subdivision Treated with Aligners and Elastics: A Retrospective Study.

IF 2.4 4区 医学 Q1 MEDICINE, GENERAL & INTERNAL
Vincenzo Quinzi, Andrea Conigliaro, Eda Fani, Lucia Memè, Fabiana Fiasca, Nicolò Carugo, Giuseppe Marzo
{"title":"Teenage Patients with Class II Subdivision Treated with Aligners and Elastics: A Retrospective Study.","authors":"Vincenzo Quinzi, Andrea Conigliaro, Eda Fani, Lucia Memè, Fabiana Fiasca, Nicolò Carugo, Giuseppe Marzo","doi":"10.3390/medicina60122089","DOIUrl":null,"url":null,"abstract":"<p><p><i>Background and Objectives</i>: This study aimed to evaluate the outcomes of Class II subdivision teenage patients treated with Invisalign<sup>®</sup> clear aligners (CAs) and elastics. <i>Materials and Methods</i>: A total of 23 individuals aged 14.3 ± 2.5 years were enrolled in this study. The participants were divided into Group 1 (mandibular midline deviation) and Group 2 (maxillary midline deviation). The midline deviation from the facial midline; anteroposterior discrepancy; overjet (OJ), overbite (OB), and Peer Assessment Rating (PAR) scores; upper incisor and lower incisor (L1) positions; and angulation were measured at the beginning (T0) and end (T1) of the orthodontic treatment. <i>Results</i>: Group 1 showed significant higher variations in OJ (-2.3 ± 2.3 vs. -0.6 ± 0.8, <i>p</i> < 0.001), OB (-2.1 ± 2.3 vs. -1.1 ± 1.4, <i>p</i> < 0.001), PAR score (-32.0 ± 11.7 vs. -27.3 ± 13.1, <i>p</i> < 0.001), L1-to-mandibular-plane angle (-3.6 ± 7.0 vs. -1.3 ± 3.2, <i>p</i> < 0.001), and interincisal angle (10.07 ± 8.7 vs. 5.9 ± 5.3, <i>p</i> = 0.007). The midline deviation was the only measurement with higher variation in Group 2. The average distance between the mesiobuccal cusp of the maxillary first molar and the buccal groove of the mandibular first molar was 0.3 ± 0.5 mm. <i>Conclusions</i>: A total of 21 patients achieved bilateral Class I (91% success rate) and demonstrated great improvement (72-96%) in PAR scores. Regardless of the etiology of malocclusion, the orthodontic correction of the Class II subdivision with CAs showed high accuracy and predictable results.</p>","PeriodicalId":49830,"journal":{"name":"Medicina-Lithuania","volume":"60 12","pages":""},"PeriodicalIF":2.4000,"publicationDate":"2024-12-20","publicationTypes":"Journal Article","fieldsOfStudy":null,"isOpenAccess":false,"openAccessPdf":"https://www.ncbi.nlm.nih.gov/pmc/articles/PMC11678840/pdf/","citationCount":"0","resultStr":null,"platform":"Semanticscholar","paperid":null,"PeriodicalName":"Medicina-Lithuania","FirstCategoryId":"3","ListUrlMain":"https://doi.org/10.3390/medicina60122089","RegionNum":4,"RegionCategory":"医学","ArticlePicture":[],"TitleCN":null,"AbstractTextCN":null,"PMCID":null,"EPubDate":"","PubModel":"","JCR":"Q1","JCRName":"MEDICINE, GENERAL & INTERNAL","Score":null,"Total":0}
引用次数: 0

Abstract

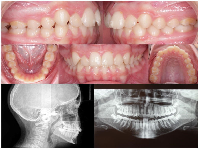
Background and Objectives: This study aimed to evaluate the outcomes of Class II subdivision teenage patients treated with Invisalign® clear aligners (CAs) and elastics. Materials and Methods: A total of 23 individuals aged 14.3 ± 2.5 years were enrolled in this study. The participants were divided into Group 1 (mandibular midline deviation) and Group 2 (maxillary midline deviation). The midline deviation from the facial midline; anteroposterior discrepancy; overjet (OJ), overbite (OB), and Peer Assessment Rating (PAR) scores; upper incisor and lower incisor (L1) positions; and angulation were measured at the beginning (T0) and end (T1) of the orthodontic treatment. Results: Group 1 showed significant higher variations in OJ (-2.3 ± 2.3 vs. -0.6 ± 0.8, p < 0.001), OB (-2.1 ± 2.3 vs. -1.1 ± 1.4, p < 0.001), PAR score (-32.0 ± 11.7 vs. -27.3 ± 13.1, p < 0.001), L1-to-mandibular-plane angle (-3.6 ± 7.0 vs. -1.3 ± 3.2, p < 0.001), and interincisal angle (10.07 ± 8.7 vs. 5.9 ± 5.3, p = 0.007). The midline deviation was the only measurement with higher variation in Group 2. The average distance between the mesiobuccal cusp of the maxillary first molar and the buccal groove of the mandibular first molar was 0.3 ± 0.5 mm. Conclusions: A total of 21 patients achieved bilateral Class I (91% success rate) and demonstrated great improvement (72-96%) in PAR scores. Regardless of the etiology of malocclusion, the orthodontic correction of the Class II subdivision with CAs showed high accuracy and predictable results.

Abstract Image

Abstract Image

Abstract Image

用矫正器和弹力器治疗青少年II类细分:一项回顾性研究。
背景和目的:本研究旨在评估II类青少年患者使用Invisalign®透明矫正器(CAs)和弹性矫正器治疗的结果。材料与方法:本研究共纳入23例个体,年龄14.3±2.5岁。将受试者分为1组(下颌中线偏差)和2组(上颌中线偏差)。中线偏离面部中线;前后的差异;overjet (OJ)、overbite (OB)和Peer Assessment Rating (PAR)分数;上切牙和下切牙(L1)位置;分别在正畸治疗开始(T0)和结束(T1)测量正畸牙的角度。结果:组1在OJ(-2.3±2.3 vs. -0.6±0.8,p < 0.001)、OB(-2.1±2.3 vs. -1.1±1.4,p < 0.001)、PAR评分(-32.0±11.7 vs. -27.3±13.1,p < 0.001)、l1 -下颌平面角(-3.6±7.0 vs. -1.3±3.2,p < 0.001)、切间角(10.07±8.7 vs. 5.9±5.3,p = 0.007)差异显著。中线偏差是第2组唯一变化较大的测量值。上颌第一磨牙中颊尖与下颌第一磨牙颊沟的平均距离为0.3±0.5 mm。结论:共有21例患者达到双侧I级(成功率91%),PAR评分有较大改善(72-96%)。无论错牙合的病因如何,用ca进行II类细分的正畸矫正均具有较高的准确性和可预测的结果。
本文章由计算机程序翻译,如有差异,请以英文原文为准。
求助全文
约1分钟内获得全文 求助全文
来源期刊
Medicina-Lithuania
Medicina-Lithuania 医学-医学:内科
CiteScore
3.30
自引率
3.80%
发文量
1578
审稿时长
25.04 days
期刊介绍: The journal’s main focus is on reviews as well as clinical and experimental investigations. The journal aims to advance knowledge related to problems in medicine in developing countries as well as developed economies, to disseminate research on global health, and to promote and foster prevention and treatment of diseases worldwide. MEDICINA publications cater to clinicians, diagnosticians and researchers, and serve as a forum to discuss the current status of health-related matters and their impact on a global and local scale.
×
引用
GB/T 7714-2015
复制
MLA
复制
APA
复制
导出至
BibTeX EndNote RefMan NoteFirst NoteExpress
×
提示
您的信息不完整,为了账户安全,请先补充。
现在去补充
×
提示
您因"违规操作"
具体请查看互助需知
我知道了
×
提示
确定
请完成安全验证×
copy
已复制链接
快去分享给好友吧!
我知道了
右上角分享
点击右上角分享
0
联系我们:info@booksci.cn Book学术提供免费学术资源搜索服务,方便国内外学者检索中英文文献。致力于提供最便捷和优质的服务体验。 Copyright © 2023 布克学术 All rights reserved.
京ICP备2023020795号-1
ghs 京公网安备 11010802042870号
Book学术文献互助
Book学术文献互助群
群 号:604180095
Book学术官方微信