First molecular characterisation of Sarcocystis miescheriana in a pig carcass condemned during routine meat inspection in Poland.

IF 1.5 3区 农林科学 Q2 VETERINARY SCIENCES
Journal of Veterinary Research Pub Date : 2024-12-20 eCollection Date: 2024-12-01 DOI:10.2478/jvetres-2024-0067
Weronika Korpysa-Dzirba, Selene Rubiola, Ewa Bilska-Zając, Mirosław Różycki, Francesco Chiesa, Aneta Bełcik, Małgorzata Samorek-Pieróg, Jakub Kubacki, Anna Łukomska, Jacek Karamon, Jacek Sroka, Tomasz Cencek
{"title":"First molecular characterisation of <i>Sarcocystis miescheriana</i> in a pig carcass condemned during routine meat inspection in Poland.","authors":"Weronika Korpysa-Dzirba, Selene Rubiola, Ewa Bilska-Zając, Mirosław Różycki, Francesco Chiesa, Aneta Bełcik, Małgorzata Samorek-Pieróg, Jakub Kubacki, Anna Łukomska, Jacek Karamon, Jacek Sroka, Tomasz Cencek","doi":"10.2478/jvetres-2024-0067","DOIUrl":null,"url":null,"abstract":"<p><strong>Introduction: </strong>This article presents the fourth detection of macroscopic cystic lesions due to sarcocystosis in domestic pigs during routine meat inspection worldwide, and the first molecular detection of <i>Sarcocystis miescheriana</i> in a domestic pig in Poland. Pigs can become intermediate hosts for <i>S. miescheriana</i> by accidental ingestion of oocysts or sporocysts present in food or water contaminated by the faeces of canids (definitive hosts).</p><p><strong>Material and methods: </strong>The affected swine showed no clinical symptoms such as weight loss, dermatitis or dyspnoea suggesting sarcocystosis. The presence of grossly visible cyst-like lesions was noticed by veterinary inspectors during post-mortem meat inspection of pig carcasses at a slaughterhouse located in central Poland. Ten rice-grain-shaped white lesions were isolated from the muscle tissue for molecular analysis, and four other macroscopic cyst-like lesions were also isolated for histopathological and microscopy analysis. The molecular characterisation included amplification and sequencing of the cytochrome C oxidase subunit 1 mitochondrial gene.</p><p><strong>Results: </strong>The cyst-like structures were whitish, calcified, 1 cm long and 3 mm wide. The presence of S. <i>miescheriana</i> DNA was confirmed in all ten grossly visible cyst-like lesions.</p><p><strong>Conclusion: </strong>This study shows that <i>Sarcocystis</i> spp. may be present in swine muscle tissue and cause lesions leading to carcass discard. Further analyses are needed to fully recognise the prevalence and impact of <i>Sarcocystis</i> spp. on animal and human health, especially taking into account the possible presence of the zoonotic <i>S. suihominis</i>.</p>","PeriodicalId":17617,"journal":{"name":"Journal of Veterinary Research","volume":"68 4","pages":"563-569"},"PeriodicalIF":1.5000,"publicationDate":"2024-12-20","publicationTypes":"Journal Article","fieldsOfStudy":null,"isOpenAccess":false,"openAccessPdf":"https://www.ncbi.nlm.nih.gov/pmc/articles/PMC11702243/pdf/","citationCount":"0","resultStr":null,"platform":"Semanticscholar","paperid":null,"PeriodicalName":"Journal of Veterinary Research","FirstCategoryId":"97","ListUrlMain":"https://doi.org/10.2478/jvetres-2024-0067","RegionNum":3,"RegionCategory":"农林科学","ArticlePicture":[],"TitleCN":null,"AbstractTextCN":null,"PMCID":null,"EPubDate":"2024/12/1 0:00:00","PubModel":"eCollection","JCR":"Q2","JCRName":"VETERINARY SCIENCES","Score":null,"Total":0}
引用次数: 0

Abstract

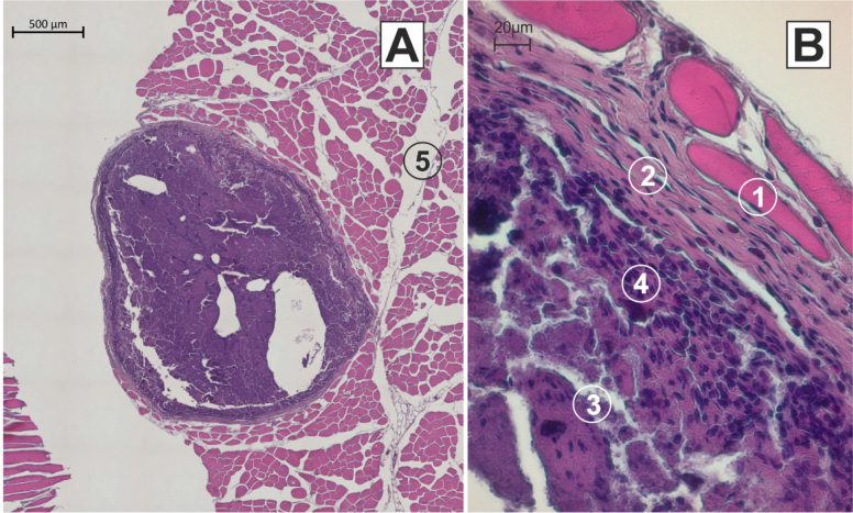
Introduction: This article presents the fourth detection of macroscopic cystic lesions due to sarcocystosis in domestic pigs during routine meat inspection worldwide, and the first molecular detection of Sarcocystis miescheriana in a domestic pig in Poland. Pigs can become intermediate hosts for S. miescheriana by accidental ingestion of oocysts or sporocysts present in food or water contaminated by the faeces of canids (definitive hosts).

Material and methods: The affected swine showed no clinical symptoms such as weight loss, dermatitis or dyspnoea suggesting sarcocystosis. The presence of grossly visible cyst-like lesions was noticed by veterinary inspectors during post-mortem meat inspection of pig carcasses at a slaughterhouse located in central Poland. Ten rice-grain-shaped white lesions were isolated from the muscle tissue for molecular analysis, and four other macroscopic cyst-like lesions were also isolated for histopathological and microscopy analysis. The molecular characterisation included amplification and sequencing of the cytochrome C oxidase subunit 1 mitochondrial gene.

Results: The cyst-like structures were whitish, calcified, 1 cm long and 3 mm wide. The presence of S. miescheriana DNA was confirmed in all ten grossly visible cyst-like lesions.

Conclusion: This study shows that Sarcocystis spp. may be present in swine muscle tissue and cause lesions leading to carcass discard. Further analyses are needed to fully recognise the prevalence and impact of Sarcocystis spp. on animal and human health, especially taking into account the possible presence of the zoonotic S. suihominis.

Abstract Image

Abstract Image

Abstract Image

在波兰的例行肉类检查中,猪胴体中首次发现了米氏肉囊菌的分子特征。
简介:本文报道了世界范围内第4例在肉品常规检验中发现的家猪肉囊病引起的宏观囊性病变,以及波兰首次在家猪身上发现的米氏肉囊病分子。偶然摄入被犬科动物粪便污染的食物或水中的卵囊或孢子囊,猪可成为米氏沙门氏菌的中间宿主(最终宿主)。材料与方法:感染猪未出现体重减轻、皮炎、呼吸困难等提示肌囊病的临床症状。兽医检查员在位于波兰中部的屠宰场对猪尸体进行死后肉类检查时发现了肉眼可见的囊肿样病变。从肌肉组织中分离出10个米粒状白色病变进行分子分析,并分离出另外4个肉眼可见的囊肿样病变进行组织病理学和显微镜分析。分子鉴定包括细胞色素C氧化酶亚基1线粒体基因的扩增和测序。结果:囊肿样结构呈白色,钙化,长1 cm,宽3 mm。在所有十个肉眼可见的囊肿样病变中证实了米氏杆菌DNA的存在。结论:本研究表明,肉囊菌可能存在于猪肌肉组织中,并引起病变导致胴体丢弃。需要进一步分析,以充分认识到肉囊菌的流行程度及其对动物和人类健康的影响,特别是考虑到可能存在人畜共患的水人绦虫。
本文章由计算机程序翻译,如有差异,请以英文原文为准。
求助全文
约1分钟内获得全文 求助全文
来源期刊
Journal of Veterinary Research
Journal of Veterinary Research Veterinary-General Veterinary
CiteScore
0.90
自引率
5.60%
发文量
58
审稿时长
18 weeks
期刊介绍: Journal of Veterinary Research (formerly Bulletin of the Veterinary Institute in Pulawy) is a quarterly that publishes original papers, review articles and short communications on bacteriology, virology, parasitology, immunology, molecular biology, pathology, toxicology, pharmacology, and biochemistry. The main emphasis is, however, on infectious diseases of animals, food safety and public health, and clinical sciences.
×
引用
GB/T 7714-2015
复制
MLA
复制
APA
复制
导出至
BibTeX EndNote RefMan NoteFirst NoteExpress
×
提示
您的信息不完整,为了账户安全,请先补充。
现在去补充
×
提示
您因"违规操作"
具体请查看互助需知
我知道了
×
提示
确定
请完成安全验证×
copy
已复制链接
快去分享给好友吧!
我知道了
右上角分享
点击右上角分享
0
联系我们:info@booksci.cn Book学术提供免费学术资源搜索服务,方便国内外学者检索中英文文献。致力于提供最便捷和优质的服务体验。 Copyright © 2023 布克学术 All rights reserved.
京ICP备2023020795号-1
ghs 京公网安备 11010802042870号
Book学术文献互助
Book学术文献互助群
群 号:604180095
Book学术官方微信