Low condylectomy and functional therapy alone for unilateral condylar osteochondroma treatment: case report and literature review.

IF 2.1 4区 医学 Q2 OTORHINOLARYNGOLOGY
Domenico Sfondrini, Stefano Marelli, Rachele Patriarca, Sabino Luzzi, Giada Beltramini, Lorenzo Preda, Gabriele Savioli, Francesca Sfondrini
{"title":"Low condylectomy and functional therapy alone for unilateral condylar osteochondroma treatment: case report and literature review.","authors":"Domenico Sfondrini, Stefano Marelli, Rachele Patriarca, Sabino Luzzi, Giada Beltramini, Lorenzo Preda, Gabriele Savioli, Francesca Sfondrini","doi":"10.14639/0392-100X-N3119","DOIUrl":null,"url":null,"abstract":"<p><p>Osteochondroma (OC) is a common bone tumour that rarely affects the mandibular condylar process. This pathology can show typical clinical features, such as facial asymmetry, deviation of the chin and dental inferior midline, changes in condylar morphology and malocclusion with an increased posterior mandibular vertical height. The management of condylar OC is a debated topic among surgeons. Most of them combine systematically condylectomy with orthognathic surgery while only few others perform in the first instance only condylectomy followed by functional therapy. A case of a 32-year-old female diagnosed with a mandibular condylar OC successfully treated with condylectomy alone is presented. A literature review is carried out focusing on surgical management, clinical and imaging features, highlighting the differences between OC and other condylar growing lesions.</p><p><p>When maxillary alterations are not present or are mild as in the presented patient, the low condylectomy alone, followed by elastic functional therapy, can correct both the aesthetic and the occlusal disorders resulting from condylar OC removal. In case of severe dentoalveolar maxillary compensation, orthognatic surgery must be performed with the low condylectomy to quickly correct facial symmetry and occlusion.</p>","PeriodicalId":6890,"journal":{"name":"Acta Otorhinolaryngologica Italica","volume":"44 6","pages":"412-420"},"PeriodicalIF":2.1000,"publicationDate":"2024-12-01","publicationTypes":"Journal Article","fieldsOfStudy":null,"isOpenAccess":false,"openAccessPdf":"https://www.ncbi.nlm.nih.gov/pmc/articles/PMC11706516/pdf/","citationCount":"0","resultStr":null,"platform":"Semanticscholar","paperid":null,"PeriodicalName":"Acta Otorhinolaryngologica Italica","FirstCategoryId":"3","ListUrlMain":"https://doi.org/10.14639/0392-100X-N3119","RegionNum":4,"RegionCategory":"医学","ArticlePicture":[],"TitleCN":null,"AbstractTextCN":null,"PMCID":null,"EPubDate":"","PubModel":"","JCR":"Q2","JCRName":"OTORHINOLARYNGOLOGY","Score":null,"Total":0}
引用次数: 0

Abstract

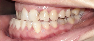
Osteochondroma (OC) is a common bone tumour that rarely affects the mandibular condylar process. This pathology can show typical clinical features, such as facial asymmetry, deviation of the chin and dental inferior midline, changes in condylar morphology and malocclusion with an increased posterior mandibular vertical height. The management of condylar OC is a debated topic among surgeons. Most of them combine systematically condylectomy with orthognathic surgery while only few others perform in the first instance only condylectomy followed by functional therapy. A case of a 32-year-old female diagnosed with a mandibular condylar OC successfully treated with condylectomy alone is presented. A literature review is carried out focusing on surgical management, clinical and imaging features, highlighting the differences between OC and other condylar growing lesions.

When maxillary alterations are not present or are mild as in the presented patient, the low condylectomy alone, followed by elastic functional therapy, can correct both the aesthetic and the occlusal disorders resulting from condylar OC removal. In case of severe dentoalveolar maxillary compensation, orthognatic surgery must be performed with the low condylectomy to quickly correct facial symmetry and occlusion.

Abstract Image

Abstract Image

Abstract Image

单侧髁突骨软骨瘤的低髁切除术和功能治疗:1例报告并文献复习。
骨软骨瘤(OC)是一种常见的骨肿瘤,很少影响下颌髁突。该病理可表现出典型的临床特征,如面部不对称,下颌和牙下中线偏离,髁突形态改变和后下颌垂直高度增加的错颌。髁突OC的治疗一直是外科医生争论的话题。其中大多数将系统的髁突切除术与正颌手术相结合,而只有少数人在第一次只进行髁突切除术后进行功能治疗。一个病例32岁的女性诊断为下颌骨髁突OC成功治疗的髁突切除单独提出。本文对其外科治疗、临床和影像学特征进行文献回顾,强调OC与其他髁突生长病变的区别。当上颌改变不存在或像本例患者一样轻微时,单独进行下髁切除术,然后进行弹性功能治疗,可以纠正由髁突OC切除引起的美学和咬合障碍。上颌牙槽代偿严重时,必须行正颌手术,同时行下髁突切除术,快速矫正面部对称和咬合。
本文章由计算机程序翻译,如有差异,请以英文原文为准。
求助全文
约1分钟内获得全文 求助全文
来源期刊
Acta Otorhinolaryngologica Italica
Acta Otorhinolaryngologica Italica OTORHINOLARYNGOLOGY-
CiteScore
3.40
自引率
10.00%
发文量
97
审稿时长
6-12 weeks
期刊介绍: Acta Otorhinolaryngologica Italica first appeared as “Annali di Laringologia Otologia e Faringologia” and was founded in 1901 by Giulio Masini. It is the official publication of the Italian Hospital Otology Association (A.O.O.I.) and, since 1976, also of the Società Italiana di Otorinolaringoiatria e Chirurgia Cervico-Facciale (S.I.O.Ch.C.-F.). The journal publishes original articles (clinical trials, cohort studies, case-control studies, cross-sectional surveys, and diagnostic test assessments) of interest in the field of otorhinolaryngology as well as clinical techniques and technology (a short report of unique or original methods for surgical techniques, medical management or new devices or technology), editorials (including editorial guests – special contribution) and letters to the Editor-in-Chief. Articles concerning science investigations and well prepared systematic reviews (including meta-analyses) on themes related to basic science, clinical otorhinolaryngology and head and neck surgery have high priority.
×
引用
GB/T 7714-2015
复制
MLA
复制
APA
复制
导出至
BibTeX EndNote RefMan NoteFirst NoteExpress
×
提示
您的信息不完整,为了账户安全,请先补充。
现在去补充
×
提示
您因"违规操作"
具体请查看互助需知
我知道了
×
提示
确定
请完成安全验证×
copy
已复制链接
快去分享给好友吧!
我知道了
右上角分享
点击右上角分享
0
联系我们:info@booksci.cn Book学术提供免费学术资源搜索服务,方便国内外学者检索中英文文献。致力于提供最便捷和优质的服务体验。 Copyright © 2023 布克学术 All rights reserved.
京ICP备2023020795号-1
ghs 京公网安备 11010802042870号
Book学术文献互助
Book学术文献互助群
群 号:604180095
Book学术官方微信