Primary mucinous carcinoma of the lower eyelid treated with wide excision and postoperative radiotherapy: a case report and literature review.

Q2 Medicine
Archives of Craniofacial Surgery Pub Date : 2024-12-01 Epub Date: 2024-12-20 DOI:10.7181/acfs.2024.00059
Tae Jun Park, Do Hyuk Chung, Lucia Kim, Min Ki Hong
{"title":"Primary mucinous carcinoma of the lower eyelid treated with wide excision and postoperative radiotherapy: a case report and literature review.","authors":"Tae Jun Park, Do Hyuk Chung, Lucia Kim, Min Ki Hong","doi":"10.7181/acfs.2024.00059","DOIUrl":null,"url":null,"abstract":"<p><p>Primary cutaneous mucinous carcinoma (PCMC) is a rare malignant neoplasm that originates from the deepest part of the eccrine sweat glands. Characterized by slow growth, PCMC often appears on the head and neck of older patients. Although it rarely metastasizes, its high recurrence rate leads to significant morbidity. Clinically differentiating PCMC from benign tumors is challenging due to its slow growth and asymptomatic nature, and a biopsy is often required for a definitive diagnosis. A 77-year-old man presented with a non-tender lesion on his left lower eyelid that had been gradually progressing over a decade. The lesion was excised, and histological examination confirmed it as PCMC. A positron emission tomography-computed tomography scan conducted to differentiate between primary and metastatic cancer showed no abnormal findings. Computed tomography was then performed to assess the remaining primary site, followed by a wide excision. The frozen biopsy revealed no cancer in the margins from five directions; however, the permanent biopsy confirmed the presence of cancer in the base margin. After consultation with the hematology-oncology department, the patient underwent additional radiation therapy. One year post-surgery, there were no signs of recurrence.</p>","PeriodicalId":52238,"journal":{"name":"Archives of Craniofacial Surgery","volume":"25 6","pages":"292-297"},"PeriodicalIF":0.0000,"publicationDate":"2024-12-01","publicationTypes":"Journal Article","fieldsOfStudy":null,"isOpenAccess":false,"openAccessPdf":"https://www.ncbi.nlm.nih.gov/pmc/articles/PMC11704715/pdf/","citationCount":"0","resultStr":null,"platform":"Semanticscholar","paperid":null,"PeriodicalName":"Archives of Craniofacial Surgery","FirstCategoryId":"1085","ListUrlMain":"https://doi.org/10.7181/acfs.2024.00059","RegionNum":0,"RegionCategory":null,"ArticlePicture":[],"TitleCN":null,"AbstractTextCN":null,"PMCID":null,"EPubDate":"2024/12/20 0:00:00","PubModel":"Epub","JCR":"Q2","JCRName":"Medicine","Score":null,"Total":0}
引用次数: 0

Abstract

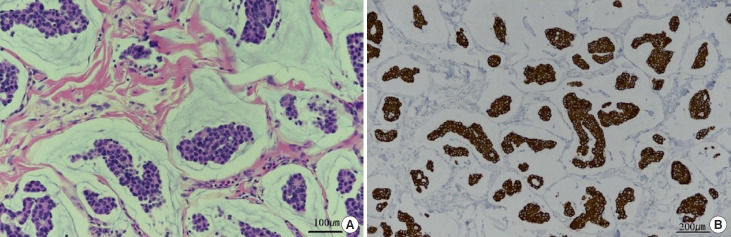
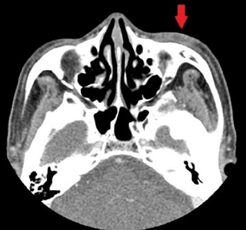
Primary cutaneous mucinous carcinoma (PCMC) is a rare malignant neoplasm that originates from the deepest part of the eccrine sweat glands. Characterized by slow growth, PCMC often appears on the head and neck of older patients. Although it rarely metastasizes, its high recurrence rate leads to significant morbidity. Clinically differentiating PCMC from benign tumors is challenging due to its slow growth and asymptomatic nature, and a biopsy is often required for a definitive diagnosis. A 77-year-old man presented with a non-tender lesion on his left lower eyelid that had been gradually progressing over a decade. The lesion was excised, and histological examination confirmed it as PCMC. A positron emission tomography-computed tomography scan conducted to differentiate between primary and metastatic cancer showed no abnormal findings. Computed tomography was then performed to assess the remaining primary site, followed by a wide excision. The frozen biopsy revealed no cancer in the margins from five directions; however, the permanent biopsy confirmed the presence of cancer in the base margin. After consultation with the hematology-oncology department, the patient underwent additional radiation therapy. One year post-surgery, there were no signs of recurrence.

Abstract Image

Abstract Image

Abstract Image

原发性下眼睑黏液癌广泛切除及术后放射治疗1例报告及文献复习。
原发性皮肤黏液癌(PCMC)是一种罕见的恶性肿瘤,起源于汗腺最深处。PCMC的特点是生长缓慢,常出现在老年患者的头颈部。虽然它很少转移,但其高复发率导致显著的发病率。由于PCMC生长缓慢且无症状,临床上将其与良性肿瘤区分是具有挑战性的,通常需要活检才能明确诊断。一位77岁的男性,在他的左下眼睑有一个非压痛的病变,已经逐渐发展超过十年。切除病变,组织学检查证实为PCMC。正电子发射断层扫描-计算机断层扫描进行区分原发和转移癌没有异常的发现。然后进行计算机断层扫描以评估剩余的原发部位,随后进行大面积切除。冰冻活检5个方向未见癌缘;然而,永久性活检证实癌存在于基底缘。在与血液肿瘤科会诊后,患者接受了额外的放射治疗。术后1年无复发迹象。
本文章由计算机程序翻译,如有差异,请以英文原文为准。
求助全文
约1分钟内获得全文 求助全文
来源期刊
Archives of Craniofacial Surgery
Archives of Craniofacial Surgery Medicine-Otorhinolaryngology
CiteScore
2.90
自引率
0.00%
发文量
44
×
引用
GB/T 7714-2015
复制
MLA
复制
APA
复制
导出至
BibTeX EndNote RefMan NoteFirst NoteExpress
×
提示
您的信息不完整,为了账户安全,请先补充。
现在去补充
×
提示
您因"违规操作"
具体请查看互助需知
我知道了
×
提示
确定
请完成安全验证×
copy
已复制链接
快去分享给好友吧!
我知道了
右上角分享
点击右上角分享
0
联系我们:info@booksci.cn Book学术提供免费学术资源搜索服务,方便国内外学者检索中英文文献。致力于提供最便捷和优质的服务体验。 Copyright © 2023 布克学术 All rights reserved.
京ICP备2023020795号-1
ghs 京公网安备 11010802042870号
Book学术文献互助
Book学术文献互助群
群 号:604180095
Book学术官方微信