A rare case of Gardnerella vaginalis spondylodiscitis

IF 1 Q4 INFECTIOUS DISEASES
IDCases Pub Date : 2025-01-01 DOI:10.1016/j.idcr.2024.e02126
Alex Belote, Kassem Hammoud
{"title":"A rare case of Gardnerella vaginalis spondylodiscitis","authors":"Alex Belote,&nbsp;Kassem Hammoud","doi":"10.1016/j.idcr.2024.e02126","DOIUrl":null,"url":null,"abstract":"<div><div>A 55-year-old-male with a chronic left uretero-pelvic junction (UPJ) obstruction managed with intermittent stent exchanges presented with low midline back pain. CT Abdomen/Pelvis revealed spondylodiscitis at L4-L5, further demonstrated on MRI Lumbar spine. Imaging also revealed the left nephro-ureteral stent was mispositioned, with some mild wall thickening of the left ureter. He was not systemically ill, and antimicrobials were held. He underwent a L4/5 disc biopsy, and pathology revealed acute discitis. Blood and biopsy cultures remained negative through hospital day 5. He then underwent repeat L4/5 disc biopsy. Cultures of repeat biopsy resulted in <em>Gardnerella vaginalis</em>. IV antimicrobials were stopped, and oral Metronidazole was started. He completed 10 weeks of Metronidazole therapy, with significant clinical improvement.</div><div><em>G. vaginalis</em> is a rare cause of bone and joint infections. It is difficult to culture and is less virulent than common bacteria associated with native vertebral osteomyelitis. There have been few case reports of <em>G. vaginalis</em> osteomyelitis or prosthetic joint infection, especially in males. <em>G. vaginalis</em> can rarely colonize the urethra in men and has been known to form biofilm on foreign material in the female genitourinary system. We suspect our patient had developed colonization of his ureteral stent, predisposing him to osteomyelitis. Were repeat biopsy not pursued in this case, our patient likely could have developed empiric treatment failure. Holding antibiotics after initial biopsy proved highly beneficial.</div></div>","PeriodicalId":47045,"journal":{"name":"IDCases","volume":"39 ","pages":"Article e02126"},"PeriodicalIF":1.0000,"publicationDate":"2025-01-01","publicationTypes":"Journal Article","fieldsOfStudy":null,"isOpenAccess":false,"openAccessPdf":"https://www.ncbi.nlm.nih.gov/pmc/articles/PMC11699804/pdf/","citationCount":"0","resultStr":null,"platform":"Semanticscholar","paperid":null,"PeriodicalName":"IDCases","FirstCategoryId":"1085","ListUrlMain":"https://www.sciencedirect.com/science/article/pii/S2214250924002026","RegionNum":0,"RegionCategory":null,"ArticlePicture":[],"TitleCN":null,"AbstractTextCN":null,"PMCID":null,"EPubDate":"","PubModel":"","JCR":"Q4","JCRName":"INFECTIOUS DISEASES","Score":null,"Total":0}
引用次数: 0

Abstract

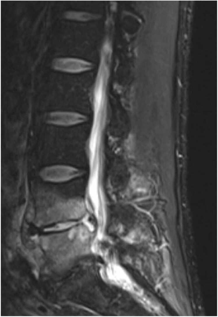
A 55-year-old-male with a chronic left uretero-pelvic junction (UPJ) obstruction managed with intermittent stent exchanges presented with low midline back pain. CT Abdomen/Pelvis revealed spondylodiscitis at L4-L5, further demonstrated on MRI Lumbar spine. Imaging also revealed the left nephro-ureteral stent was mispositioned, with some mild wall thickening of the left ureter. He was not systemically ill, and antimicrobials were held. He underwent a L4/5 disc biopsy, and pathology revealed acute discitis. Blood and biopsy cultures remained negative through hospital day 5. He then underwent repeat L4/5 disc biopsy. Cultures of repeat biopsy resulted in Gardnerella vaginalis. IV antimicrobials were stopped, and oral Metronidazole was started. He completed 10 weeks of Metronidazole therapy, with significant clinical improvement.
G. vaginalis is a rare cause of bone and joint infections. It is difficult to culture and is less virulent than common bacteria associated with native vertebral osteomyelitis. There have been few case reports of G. vaginalis osteomyelitis or prosthetic joint infection, especially in males. G. vaginalis can rarely colonize the urethra in men and has been known to form biofilm on foreign material in the female genitourinary system. We suspect our patient had developed colonization of his ureteral stent, predisposing him to osteomyelitis. Were repeat biopsy not pursued in this case, our patient likely could have developed empiric treatment failure. Holding antibiotics after initial biopsy proved highly beneficial.

Abstract Image

罕见的阴道加德纳菌性脊柱炎1例。
55岁男性慢性左输尿管-骨盆连接处(UPJ)梗阻,间歇性支架置换后出现腰中线疼痛。腹部/骨盆CT显示L4-L5椎板椎间盘炎,腰椎MRI进一步证实。影像也显示左侧肾输尿管支架位置不正确,左侧输尿管壁轻度增厚。他没有全身性疾病,而且还服用了抗菌剂。他接受了L4/5椎间盘活检,病理显示急性椎间盘炎。入院第5天,血液和活检培养均为阴性。然后再次行L4/5椎间盘活检。重复活检培养结果为阴道加德纳菌。停止静脉注射抗微生物药物,开始口服甲硝唑。完成10周甲硝唑治疗,临床明显改善。阴道炎是一种罕见的骨和关节感染的原因。它很难培养,毒性低于与原生椎体骨髓炎相关的常见细菌。阴道支原体骨髓炎或假体关节感染的病例报道很少,尤其是在男性中。阴道芽孢杆菌很少在男性尿道中定植,在女性泌尿生殖系统的异物上形成生物膜。我们怀疑病人的输尿管支架已形成定植,使他易患骨髓炎。如果在本病例中没有进行重复活检,我们的患者可能会出现经验性治疗失败。初步活检后服用抗生素证明是非常有益的。
本文章由计算机程序翻译,如有差异,请以英文原文为准。
求助全文
约1分钟内获得全文 求助全文
来源期刊
IDCases
IDCases INFECTIOUS DISEASES-
CiteScore
2.60
自引率
6.70%
发文量
300
审稿时长
10 weeks
×
引用
GB/T 7714-2015
复制
MLA
复制
APA
复制
导出至
BibTeX EndNote RefMan NoteFirst NoteExpress
×
提示
您的信息不完整,为了账户安全,请先补充。
现在去补充
×
提示
您因"违规操作"
具体请查看互助需知
我知道了
×
提示
确定
请完成安全验证×
copy
已复制链接
快去分享给好友吧!
我知道了
右上角分享
点击右上角分享
0
联系我们:info@booksci.cn Book学术提供免费学术资源搜索服务,方便国内外学者检索中英文文献。致力于提供最便捷和优质的服务体验。 Copyright © 2023 布克学术 All rights reserved.
京ICP备2023020795号-1
ghs 京公网安备 11010802042870号
Book学术文献互助
Book学术文献互助群
群 号:604180095
Book学术官方微信