Clinical Presentation of Frontal Sinus Squamous Cell Carcinoma in the Dog and Response to Treatment With Radiation Therapy in Eight Dogs.

IF 1.5 2区 农林科学 Q2 VETERINARY SCIENCES
Pietro Loddo, Luca Schiavo, Jane Dobson, Ola Marcinowska
{"title":"Clinical Presentation of Frontal Sinus Squamous Cell Carcinoma in the Dog and Response to Treatment With Radiation Therapy in Eight Dogs.","authors":"Pietro Loddo, Luca Schiavo, Jane Dobson, Ola Marcinowska","doi":"10.1111/vru.70000","DOIUrl":null,"url":null,"abstract":"<p><p>Primary frontal sinus squamous cell carcinoma (PFSSCC) represents a rare disease in dogs, and there is a general paucity of information in the current veterinary literature regarding its presentation and response to radiation therapy. The objective of this retrospective observational study was to describe a series of dogs diagnosed with PFSSCC and report their response to radiation therapy. Medical records of dogs with a diagnosis of PFSSCC were reviewed. Data collected included signalment, presenting complaint, clinicopathologic and diagnostic imaging findings, treatment, therapeutic response, and date of death or last follow-up. Eight cases of PFSSCC in dogs were treated with radiation therapy at the authors' institution. Three of these dogs were treated with coarse-fractionated radiation therapy. One dog was euthanized due to an unrelated cause 36 months after completing the radiation therapy. The second and third dogs survived 18 and 3 months, respectively, from the end of treatment to death due to PFSCC. Five further dogs were treated with a more fractionated protocol (Monday-Wednesday-Friday schedule). The median survival time for all patients was 7.5 months (range 2-36 months). Despite the small number of cases and variation in the radiation protocols used, the treatment outcomes in these eight dogs suggest that radiation therapy is potentially a viable treatment option for dogs with PFSSCC and that coarse fractionation might be an appropriate approach if more finely fractionated protocols are not possible.</p>","PeriodicalId":23581,"journal":{"name":"Veterinary Radiology & Ultrasound","volume":"66 1","pages":"e70000"},"PeriodicalIF":1.5000,"publicationDate":"2025-01-01","publicationTypes":"Journal Article","fieldsOfStudy":null,"isOpenAccess":false,"openAccessPdf":"https://www.ncbi.nlm.nih.gov/pmc/articles/PMC11701348/pdf/","citationCount":"0","resultStr":null,"platform":"Semanticscholar","paperid":null,"PeriodicalName":"Veterinary Radiology & Ultrasound","FirstCategoryId":"97","ListUrlMain":"https://doi.org/10.1111/vru.70000","RegionNum":2,"RegionCategory":"农林科学","ArticlePicture":[],"TitleCN":null,"AbstractTextCN":null,"PMCID":null,"EPubDate":"","PubModel":"","JCR":"Q2","JCRName":"VETERINARY SCIENCES","Score":null,"Total":0}
引用次数: 0

Abstract

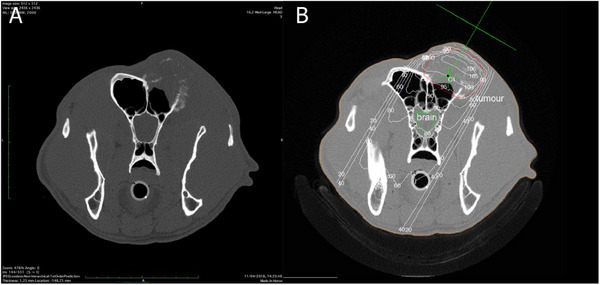
Primary frontal sinus squamous cell carcinoma (PFSSCC) represents a rare disease in dogs, and there is a general paucity of information in the current veterinary literature regarding its presentation and response to radiation therapy. The objective of this retrospective observational study was to describe a series of dogs diagnosed with PFSSCC and report their response to radiation therapy. Medical records of dogs with a diagnosis of PFSSCC were reviewed. Data collected included signalment, presenting complaint, clinicopathologic and diagnostic imaging findings, treatment, therapeutic response, and date of death or last follow-up. Eight cases of PFSSCC in dogs were treated with radiation therapy at the authors' institution. Three of these dogs were treated with coarse-fractionated radiation therapy. One dog was euthanized due to an unrelated cause 36 months after completing the radiation therapy. The second and third dogs survived 18 and 3 months, respectively, from the end of treatment to death due to PFSCC. Five further dogs were treated with a more fractionated protocol (Monday-Wednesday-Friday schedule). The median survival time for all patients was 7.5 months (range 2-36 months). Despite the small number of cases and variation in the radiation protocols used, the treatment outcomes in these eight dogs suggest that radiation therapy is potentially a viable treatment option for dogs with PFSSCC and that coarse fractionation might be an appropriate approach if more finely fractionated protocols are not possible.

Abstract Image

Abstract Image

Abstract Image

犬额窦鳞状细胞癌的临床表现及8例放射治疗的疗效分析。
原发性额窦鳞状细胞癌(PFSSCC)在犬中是一种罕见的疾病,目前兽医文献中关于其表现和对放射治疗的反应的信息普遍缺乏。这项回顾性观察性研究的目的是描述一系列被诊断为PFSSCC的狗,并报告它们对放射治疗的反应。回顾了诊断为PFSSCC的犬的医疗记录。收集的数据包括信号、主诉、临床病理和诊断成像结果、治疗、治疗反应、死亡日期或最后一次随访。8例犬PFSSCC在作者所在机构接受放射治疗。其中三只狗接受了粗分级放射治疗。一只狗在完成放射治疗36个月后因无关原因被安乐死。第二和第三只狗分别存活了18个月和3个月,从治疗结束到死于PFSCC。另外5只狗接受了更分散的治疗方案(周一-周三-周五的时间表)。所有患者的中位生存时间为7.5个月(范围2-36个月)。尽管病例数量较少,使用的放射方案也存在差异,但这8只狗的治疗结果表明,放射治疗可能是PFSSCC狗的可行治疗选择,如果不能进行更精细的分割,粗分割可能是一种合适的方法。
本文章由计算机程序翻译,如有差异,请以英文原文为准。
求助全文
约1分钟内获得全文 求助全文
来源期刊
Veterinary Radiology & Ultrasound
Veterinary Radiology & Ultrasound 农林科学-兽医学
CiteScore
2.40
自引率
17.60%
发文量
133
审稿时长
8-16 weeks
期刊介绍: Veterinary Radiology & Ultrasound is a bimonthly, international, peer-reviewed, research journal devoted to the fields of veterinary diagnostic imaging and radiation oncology. Established in 1958, it is owned by the American College of Veterinary Radiology and is also the official journal for six affiliate veterinary organizations. Veterinary Radiology & Ultrasound is represented on the International Committee of Medical Journal Editors, World Association of Medical Editors, and Committee on Publication Ethics. The mission of Veterinary Radiology & Ultrasound is to serve as a leading resource for high quality articles that advance scientific knowledge and standards of clinical practice in the areas of veterinary diagnostic radiology, computed tomography, magnetic resonance imaging, ultrasonography, nuclear imaging, radiation oncology, and interventional radiology. Manuscript types include original investigations, imaging diagnosis reports, review articles, editorials and letters to the Editor. Acceptance criteria include originality, significance, quality, reader interest, composition and adherence to author guidelines.
×
引用
GB/T 7714-2015
复制
MLA
复制
APA
复制
导出至
BibTeX EndNote RefMan NoteFirst NoteExpress
×
提示
您的信息不完整,为了账户安全,请先补充。
现在去补充
×
提示
您因"违规操作"
具体请查看互助需知
我知道了
×
提示
确定
请完成安全验证×
copy
已复制链接
快去分享给好友吧!
我知道了
右上角分享
点击右上角分享
0
联系我们:info@booksci.cn Book学术提供免费学术资源搜索服务,方便国内外学者检索中英文文献。致力于提供最便捷和优质的服务体验。 Copyright © 2023 布克学术 All rights reserved.
京ICP备2023020795号-1
ghs 京公网安备 11010802042870号
Book学术文献互助
Book学术文献互助群
群 号:604180095
Book学术官方微信