Supplementation with serine-enriched non-essential amino acids from minimum essential medium promotes blastocyst development of in vitro-fertilized bovine embryos.

IF 2.2 4区 生物学 Q2 AGRICULTURE, DAIRY & ANIMAL SCIENCE
Journal of Reproduction and Development Pub Date : 2025-02-05 Epub Date: 2024-12-28 DOI:10.1262/jrd.2024-090
Nobuhiko Itami, Yuji Hirao
{"title":"Supplementation with serine-enriched non-essential amino acids from minimum essential medium promotes blastocyst development of in vitro-fertilized bovine embryos.","authors":"Nobuhiko Itami, Yuji Hirao","doi":"10.1262/jrd.2024-090","DOIUrl":null,"url":null,"abstract":"<p><p>To produce an embryo, a high conception rate must be complied along with four evaluation criteria based on the timing of early cleavage and proper embryo morphology (hereafter, these blastocysts will be referred to as \"four-criteria-compliant blastocysts\"). Therefore, it is necessary to construct a culture system for high efficiency production of embryos meeting these four criteria. Non-essential amino acids (NEAAs) are widely used for the culture of bovine embryos fertilized in vitro; however, the necessity and optimal concentration of individual NEAA must be verified to produce four-criteria-compliant blastocysts. DNA methylation is a critical event for blastocyst formation in bovines, and serine is a common NEAA that serves as a methyl donor and participates in DNA methylation. Serine is generally added at a concentration of 100 µM in bovine embryo culture medium. However, the rate of formation of four-criteria-compliant blastocysts was significantly improved when 1000 µM of serine was added. Analysis of endogenous serine synthases gene expression in oocytes and embryos revealed that phosphoglycerate dehydrogenase, the rate-limiting enzyme in the serine synthesis pathway, is expressed at the morula stage and beyond. The addition of serine at 1000 µM increased the amount of methyl donors; moreover, the addition of an inhibitor of serine-metabolizing enzymes decreased the number of methyl donors and markedly inhibited blastocyst formation. These results indicate that the addition of serine at an optimal concentration of 1000 µM favors production of four-criteria-compliant blastocysts, and that methyl donor synthesis may be involved in this effect.</p>","PeriodicalId":16942,"journal":{"name":"Journal of Reproduction and Development","volume":" ","pages":"55-61"},"PeriodicalIF":2.2000,"publicationDate":"2025-02-05","publicationTypes":"Journal Article","fieldsOfStudy":null,"isOpenAccess":false,"openAccessPdf":"https://www.ncbi.nlm.nih.gov/pmc/articles/PMC11808307/pdf/","citationCount":"0","resultStr":null,"platform":"Semanticscholar","paperid":null,"PeriodicalName":"Journal of Reproduction and Development","FirstCategoryId":"99","ListUrlMain":"https://doi.org/10.1262/jrd.2024-090","RegionNum":4,"RegionCategory":"生物学","ArticlePicture":[],"TitleCN":null,"AbstractTextCN":null,"PMCID":null,"EPubDate":"2024/12/28 0:00:00","PubModel":"Epub","JCR":"Q2","JCRName":"AGRICULTURE, DAIRY & ANIMAL SCIENCE","Score":null,"Total":0}
引用次数: 0

Abstract

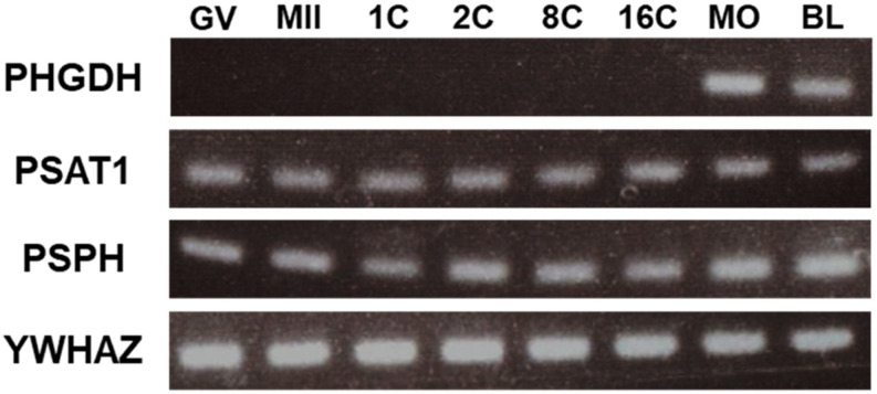
To produce an embryo, a high conception rate must be complied along with four evaluation criteria based on the timing of early cleavage and proper embryo morphology (hereafter, these blastocysts will be referred to as "four-criteria-compliant blastocysts"). Therefore, it is necessary to construct a culture system for high efficiency production of embryos meeting these four criteria. Non-essential amino acids (NEAAs) are widely used for the culture of bovine embryos fertilized in vitro; however, the necessity and optimal concentration of individual NEAA must be verified to produce four-criteria-compliant blastocysts. DNA methylation is a critical event for blastocyst formation in bovines, and serine is a common NEAA that serves as a methyl donor and participates in DNA methylation. Serine is generally added at a concentration of 100 µM in bovine embryo culture medium. However, the rate of formation of four-criteria-compliant blastocysts was significantly improved when 1000 µM of serine was added. Analysis of endogenous serine synthases gene expression in oocytes and embryos revealed that phosphoglycerate dehydrogenase, the rate-limiting enzyme in the serine synthesis pathway, is expressed at the morula stage and beyond. The addition of serine at 1000 µM increased the amount of methyl donors; moreover, the addition of an inhibitor of serine-metabolizing enzymes decreased the number of methyl donors and markedly inhibited blastocyst formation. These results indicate that the addition of serine at an optimal concentration of 1000 µM favors production of four-criteria-compliant blastocysts, and that methyl donor synthesis may be involved in this effect.

Abstract Image

Abstract Image

Abstract Image

从最低必需培养基中补充富含丝氨酸的非必需氨基酸可促进体外受精牛胚胎囊胚发育。
为了产生胚胎,必须符合高受孕率以及基于早期卵裂时间和胚胎形态的四项评估标准(以下将这些囊胚称为“符合四项标准的囊胚”)。因此,有必要构建一个高效生产符合这四个标准的胚胎的培养体系。非必需氨基酸(NEAAs)广泛用于体外受精牛胚胎的培养;然而,要产生符合四项标准的囊胚,必须验证单个NEAA的必要性和最佳浓度。DNA甲基化是牛囊胚形成的关键事件,丝氨酸是一种常见的NEAA,作为甲基供体参与DNA甲基化。丝氨酸一般在牛胚培养基中以100µM的浓度添加。然而,当添加1000µM丝氨酸时,四种标准符合的囊胚形成率显著提高。内源性丝氨酸合成酶基因在卵母细胞和胚胎中的表达分析表明,丝氨酸合成途径中的限速酶磷酸甘油酸脱氢酶在桑葚胚期及以后表达。在1000µM处加入丝氨酸增加了甲基供体的数量;此外,丝氨酸代谢酶抑制剂的添加减少了甲基供体的数量,并显著抑制了囊胚的形成。这些结果表明,添加丝氨酸的最佳浓度为1000µM,有利于产生符合四个标准的囊胚,甲基供体合成可能参与了这种影响。
本文章由计算机程序翻译,如有差异,请以英文原文为准。
求助全文
约1分钟内获得全文 求助全文
来源期刊
Journal of Reproduction and Development
Journal of Reproduction and Development 生物-奶制品与动物科学
CiteScore
3.70
自引率
11.10%
发文量
52
审稿时长
2 months
期刊介绍: Journal of Reproduction and Development (JRD) is the official journal of the Society for Reproduction and Development, published bimonthly, and welcomes original articles. JRD provides free full-text access of all the published articles on the web. The functions of the journal are managed by Editorial Board Members, such as the Editor-in-Chief, Co-Editor-inChief, Managing Editors and Editors. All manuscripts are peer-reviewed critically by two or more reviewers. Acceptance is based on scientific content and presentation of the materials. The Editors select reviewers and correspond with authors. Final decisions about acceptance or rejection of manuscripts are made by the Editor-in-Chief and Co-Editor-in-Chief.
×
引用
GB/T 7714-2015
复制
MLA
复制
APA
复制
导出至
BibTeX EndNote RefMan NoteFirst NoteExpress
×
提示
您的信息不完整,为了账户安全,请先补充。
现在去补充
×
提示
您因"违规操作"
具体请查看互助需知
我知道了
×
提示
确定
请完成安全验证×
copy
已复制链接
快去分享给好友吧!
我知道了
右上角分享
点击右上角分享
0
联系我们:info@booksci.cn Book学术提供免费学术资源搜索服务,方便国内外学者检索中英文文献。致力于提供最便捷和优质的服务体验。 Copyright © 2023 布克学术 All rights reserved.
京ICP备2023020795号-1
ghs 京公网安备 11010802042870号
Book学术文献互助
Book学术文献互助群
群 号:604180095
Book学术官方微信