Treatment of adult class II division 2 with deep bite using Forsus appliance and intrusion with TADs.

Q2 Dentistry
Journal of Orthodontic Science Pub Date : 2024-11-25 eCollection Date: 2024-01-01 DOI:10.4103/jos.jos_214_23
Amani Alkhamees
{"title":"Treatment of adult class II division 2 with deep bite using Forsus appliance and intrusion with TADs.","authors":"Amani Alkhamees","doi":"10.4103/jos.jos_214_23","DOIUrl":null,"url":null,"abstract":"<p><p>This case report details the treatment of a 23-year-old female patient with Class II division 2 malocclusion with a Class II skeletal base due to a retrognathic mandible. The condition was further complicated by a complete overbite, absence of tooth #36, and a gummy smile. The Forsus appliance has shown to be effective in correcting Class II malocclusion in adult patients, with significant improvements in bite and facial esthetics. The use of temporary anchorage devices for intrusion resulted in lower overbite and increased actual intrusion compared with alternative methods for intruding upper incisors.</p>","PeriodicalId":16604,"journal":{"name":"Journal of Orthodontic Science","volume":"13 ","pages":"56"},"PeriodicalIF":0.0000,"publicationDate":"2024-11-25","publicationTypes":"Journal Article","fieldsOfStudy":null,"isOpenAccess":false,"openAccessPdf":"https://www.ncbi.nlm.nih.gov/pmc/articles/PMC11698256/pdf/","citationCount":"0","resultStr":null,"platform":"Semanticscholar","paperid":null,"PeriodicalName":"Journal of Orthodontic Science","FirstCategoryId":"1085","ListUrlMain":"https://doi.org/10.4103/jos.jos_214_23","RegionNum":0,"RegionCategory":null,"ArticlePicture":[],"TitleCN":null,"AbstractTextCN":null,"PMCID":null,"EPubDate":"2024/1/1 0:00:00","PubModel":"eCollection","JCR":"Q2","JCRName":"Dentistry","Score":null,"Total":0}
引用次数: 0

Abstract

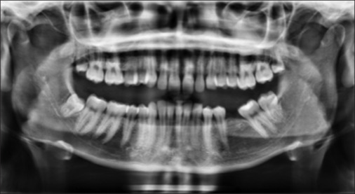
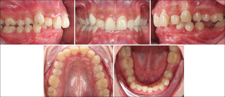
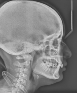
This case report details the treatment of a 23-year-old female patient with Class II division 2 malocclusion with a Class II skeletal base due to a retrognathic mandible. The condition was further complicated by a complete overbite, absence of tooth #36, and a gummy smile. The Forsus appliance has shown to be effective in correcting Class II malocclusion in adult patients, with significant improvements in bite and facial esthetics. The use of temporary anchorage devices for intrusion resulted in lower overbite and increased actual intrusion compared with alternative methods for intruding upper incisors.

Abstract Image

Abstract Image

Abstract Image

Forsus矫治器联合TADs侵入治疗成人II类2型深咬伤。
本病例报告详细介绍了一名23岁女性患者的治疗II类2区错颌与II类骨基由于下颌后。由于完全的覆咬合,36号牙齿的缺失和一个黏糊糊的微笑,情况变得更加复杂。Forsus矫治器在矫正成人II类错牙合方面效果显著,在咬合和面部美观方面均有显著改善。与其他方法相比,使用临时支抗装置侵入上切牙导致较低的覆盖咬合和增加的实际侵入。
本文章由计算机程序翻译,如有差异,请以英文原文为准。
求助全文
约1分钟内获得全文 求助全文
来源期刊
Journal of Orthodontic Science
Journal of Orthodontic Science Dentistry-Orthodontics
CiteScore
0.90
自引率
0.00%
发文量
46
审稿时长
19 weeks
×
引用
GB/T 7714-2015
复制
MLA
复制
APA
复制
导出至
BibTeX EndNote RefMan NoteFirst NoteExpress
×
提示
您的信息不完整,为了账户安全,请先补充。
现在去补充
×
提示
您因"违规操作"
具体请查看互助需知
我知道了
×
提示
确定
请完成安全验证×
copy
已复制链接
快去分享给好友吧!
我知道了
右上角分享
点击右上角分享
0
联系我们:info@booksci.cn Book学术提供免费学术资源搜索服务,方便国内外学者检索中英文文献。致力于提供最便捷和优质的服务体验。 Copyright © 2023 布克学术 All rights reserved.
京ICP备2023020795号-1
ghs 京公网安备 11010802042870号
Book学术文献互助
Book学术文献互助群
群 号:604180095
Book学术官方微信