Type A Aortic Dissection in a Previously Healthy Pregnant Patient: A Challenging Dilemma, Case Report, and Literature Review.

IF 0.5 Q4 CARDIAC & CARDIOVASCULAR SYSTEMS
Case Reports in Cardiology Pub Date : 2024-12-26 eCollection Date: 2024-01-01 DOI:10.1155/cric/6971509
Elham Bateni, Maryam Dehghan, Zeinab Ahmadikia
{"title":"Type A Aortic Dissection in a Previously Healthy Pregnant Patient: A Challenging Dilemma, Case Report, and Literature Review.","authors":"Elham Bateni, Maryam Dehghan, Zeinab Ahmadikia","doi":"10.1155/cric/6971509","DOIUrl":null,"url":null,"abstract":"<p><p>Aortic dissection (AoD) is a rare fatal condition in which tearing in the intima causes a false channel in the aorta and can lead to rupture. AoD is classified as the DeBakey classification (Types I, II, III) and Stanford classification (Types A and B). Women with underlying risk factors such as hypertension, smoking, bicuspid aortic valve, and connective tissue disorders are at risk for pregnancy-related AoD. These risk factors may not be recognized until the AoD occurs during pregnancy. We describe an acute incidence of type A AoD in the second trimester of pregnancy. A multiparous woman with no previously known risk factor presented with nonspecific chest pain. She was found to have AoD and underwent successful surgical intervention. This case demonstrates the importance of vigilance in the evaluation of pregnant women with new cardiopulmonary symptoms. A multidisciplinary approach can save the mother and the fetus.</p>","PeriodicalId":51760,"journal":{"name":"Case Reports in Cardiology","volume":"2024 ","pages":"6971509"},"PeriodicalIF":0.5000,"publicationDate":"2024-12-26","publicationTypes":"Journal Article","fieldsOfStudy":null,"isOpenAccess":false,"openAccessPdf":"https://www.ncbi.nlm.nih.gov/pmc/articles/PMC11695080/pdf/","citationCount":"0","resultStr":null,"platform":"Semanticscholar","paperid":null,"PeriodicalName":"Case Reports in Cardiology","FirstCategoryId":"1085","ListUrlMain":"https://doi.org/10.1155/cric/6971509","RegionNum":0,"RegionCategory":null,"ArticlePicture":[],"TitleCN":null,"AbstractTextCN":null,"PMCID":null,"EPubDate":"2024/1/1 0:00:00","PubModel":"eCollection","JCR":"Q4","JCRName":"CARDIAC & CARDIOVASCULAR SYSTEMS","Score":null,"Total":0}
引用次数: 0

Abstract

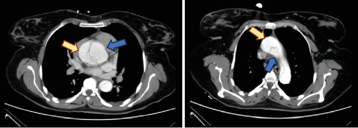
Aortic dissection (AoD) is a rare fatal condition in which tearing in the intima causes a false channel in the aorta and can lead to rupture. AoD is classified as the DeBakey classification (Types I, II, III) and Stanford classification (Types A and B). Women with underlying risk factors such as hypertension, smoking, bicuspid aortic valve, and connective tissue disorders are at risk for pregnancy-related AoD. These risk factors may not be recognized until the AoD occurs during pregnancy. We describe an acute incidence of type A AoD in the second trimester of pregnancy. A multiparous woman with no previously known risk factor presented with nonspecific chest pain. She was found to have AoD and underwent successful surgical intervention. This case demonstrates the importance of vigilance in the evaluation of pregnant women with new cardiopulmonary symptoms. A multidisciplinary approach can save the mother and the fetus.

Abstract Image

先前健康妊娠患者的A型主动脉夹层:一个具有挑战性的困境,病例报告和文献综述。
主动脉夹层(AoD)是一种罕见的致命疾病,其内膜撕裂导致主动脉形成假通道并可能导致破裂。AoD分为DeBakey分类(I、II、III型)和Stanford分类(A、B型)。有潜在危险因素(如高血压、吸烟、二尖瓣主动脉瓣和结缔组织疾病)的女性有发生妊娠相关性AoD的风险。这些危险因素可能直到怀孕期间出现AoD才被发现。我们描述了急性发病率的A型AoD在妊娠中期。多产妇女以前没有已知的危险因素提出了非特异性胸痛。她被发现患有多动症,并接受了成功的手术干预。本病例表明警惕在评估新的心肺症状的孕妇的重要性。多学科联合治疗可以拯救母亲和胎儿。
本文章由计算机程序翻译,如有差异,请以英文原文为准。
求助全文
约1分钟内获得全文 求助全文
来源期刊
Case Reports in Cardiology
Case Reports in Cardiology CARDIAC & CARDIOVASCULAR SYSTEMS-
自引率
0.00%
发文量
63
审稿时长
13 weeks
期刊介绍: Case Reports in Cardiology is a peer-reviewed, Open Access journal that publishes case reports and case series related to hypertension, arrhythmia, congestive heart failure, valvular heart disease, vascular disease, congenital heart disease and cardiomyopathy.
×
引用
GB/T 7714-2015
复制
MLA
复制
APA
复制
导出至
BibTeX EndNote RefMan NoteFirst NoteExpress
×
提示
您的信息不完整,为了账户安全,请先补充。
现在去补充
×
提示
您因"违规操作"
具体请查看互助需知
我知道了
×
提示
确定
请完成安全验证×
copy
已复制链接
快去分享给好友吧!
我知道了
右上角分享
点击右上角分享
0
联系我们:info@booksci.cn Book学术提供免费学术资源搜索服务,方便国内外学者检索中英文文献。致力于提供最便捷和优质的服务体验。 Copyright © 2023 布克学术 All rights reserved.
京ICP备2023020795号-1
ghs 京公网安备 11010802042870号
Book学术文献互助
Book学术文献互助群
群 号:604180095
Book学术官方微信