Over-provisionals - Simplified chairside preoperative evaluation of esthetic and functional changes during full mouth rehabilitation.

IF 1 Q3 DENTISTRY, ORAL SURGERY & MEDICINE
R Fathima Banu, V Anand Kumar, Padmanabhan T Veeravalli
{"title":"Over-provisionals - Simplified chairside preoperative evaluation of esthetic and functional changes during full mouth rehabilitation.","authors":"R Fathima Banu, V Anand Kumar, Padmanabhan T Veeravalli","doi":"10.4103/jips.jips_294_24","DOIUrl":null,"url":null,"abstract":"<p><p>Prosthetic rehabilitation in multifaceted dental abnormality needs sequential planning to ensure adaptation of oral and associated musculature. Reduction of tooth structure before adaptation of oral and associated components may complicate the treatment modality if compliance of the musculature is poor. Hence, the fabrication of over-provisional in esthetic rehabilitation enables to assess of the success of the treatment plan preoperatively before invasive trials. A 55-year-old male with a diagnosis of Category I loss of vertical dimension, according to Turner and Missirlian classification, required full mouth rehabilitation. The case report depicts the preoperative management of full mouth rehabilitation with direct chair-side technique using over-provisional to analyze the esthetic and functional changes. Restoration of esthetics is a complex task that needs patient satisfaction to achieve success. Over-provisional is a simplified method of establishing esthetics and functional rehabilitation. Esthetic and functional rehabilitation of an individual can be an easy transition when preoperative evaluation of the final prosthesis design is visually created intraorally.</p>","PeriodicalId":22669,"journal":{"name":"The Journal of Indian Prosthodontic Society","volume":"25 1","pages":"102-105"},"PeriodicalIF":1.0000,"publicationDate":"2025-01-01","publicationTypes":"Journal Article","fieldsOfStudy":null,"isOpenAccess":false,"openAccessPdf":"https://www.ncbi.nlm.nih.gov/pmc/articles/PMC11853944/pdf/","citationCount":"0","resultStr":null,"platform":"Semanticscholar","paperid":null,"PeriodicalName":"The Journal of Indian Prosthodontic Society","FirstCategoryId":"1085","ListUrlMain":"https://doi.org/10.4103/jips.jips_294_24","RegionNum":0,"RegionCategory":null,"ArticlePicture":[],"TitleCN":null,"AbstractTextCN":null,"PMCID":null,"EPubDate":"2025/1/3 0:00:00","PubModel":"Epub","JCR":"Q3","JCRName":"DENTISTRY, ORAL SURGERY & MEDICINE","Score":null,"Total":0}
引用次数: 0

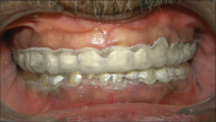
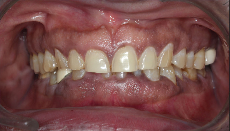
Abstract

Prosthetic rehabilitation in multifaceted dental abnormality needs sequential planning to ensure adaptation of oral and associated musculature. Reduction of tooth structure before adaptation of oral and associated components may complicate the treatment modality if compliance of the musculature is poor. Hence, the fabrication of over-provisional in esthetic rehabilitation enables to assess of the success of the treatment plan preoperatively before invasive trials. A 55-year-old male with a diagnosis of Category I loss of vertical dimension, according to Turner and Missirlian classification, required full mouth rehabilitation. The case report depicts the preoperative management of full mouth rehabilitation with direct chair-side technique using over-provisional to analyze the esthetic and functional changes. Restoration of esthetics is a complex task that needs patient satisfaction to achieve success. Over-provisional is a simplified method of establishing esthetics and functional rehabilitation. Esthetic and functional rehabilitation of an individual can be an easy transition when preoperative evaluation of the final prosthesis design is visually created intraorally.

Abstract Image

Abstract Image

Abstract Image

过度临时-简化全口康复期间的美学和功能变化的椅旁术前评估。
多面性牙畸形的修复需要顺序规划,以确保口腔及相关肌肉组织的适应。如果肌肉组织的顺应性较差,在适应口腔和相关部件之前进行牙齿结构的复位可能会使治疗方式复杂化。因此,在有创性临床试验之前,在美学康复中制作过临时物可以对治疗计划的成功进行术前评估。一位55岁男性,根据Turner和Missirlian的分类,诊断为I类垂直尺寸丧失,需要全口康复。本病例报告描述了直接椅侧技术全口康复的术前管理,使用over-provisional分析美观和功能的变化。美学修复是一项复杂的任务,需要患者的满意才能取得成功。过度临时是一种建立美学和功能康复的简化方法。当最终假体设计的术前评估以视觉方式在口腔内创建时,个体的美学和功能康复可以很容易地过渡。
本文章由计算机程序翻译,如有差异,请以英文原文为准。
求助全文
约1分钟内获得全文 求助全文
来源期刊
The Journal of Indian Prosthodontic Society
The Journal of Indian Prosthodontic Society DENTISTRY, ORAL SURGERY & MEDICINE-
CiteScore
2.20
自引率
8.30%
发文量
26
审稿时长
20 weeks
×
引用
GB/T 7714-2015
复制
MLA
复制
APA
复制
导出至
BibTeX EndNote RefMan NoteFirst NoteExpress
×
提示
您的信息不完整,为了账户安全,请先补充。
现在去补充
×
提示
您因"违规操作"
具体请查看互助需知
我知道了
×
提示
确定
请完成安全验证×
copy
已复制链接
快去分享给好友吧!
我知道了
右上角分享
点击右上角分享
0
联系我们:info@booksci.cn Book学术提供免费学术资源搜索服务,方便国内外学者检索中英文文献。致力于提供最便捷和优质的服务体验。 Copyright © 2023 布克学术 All rights reserved.
京ICP备2023020795号-1
ghs 京公网安备 11010802042870号
Book学术文献互助
Book学术文献互助群
群 号:604180095
Book学术官方微信