Comparison of the antibacterial efficacy of 810 nm diode laser and photodynamic therapy in reducing microbial flora in patients with peri-implant mucositis - An in vivo study.

IF 1 Q3 DENTISTRY, ORAL SURGERY & MEDICINE
The Journal of Indian Prosthodontic Society Pub Date : 2025-01-01 Epub Date: 2025-01-03 DOI:10.4103/jips.jips_64_24
Poonam Siwach, Reshu Sanan, Abhishek Nagpal, Omkar Krishna Shetty, Amit Bhardwaj, Mukesh Sharma
{"title":"Comparison of the antibacterial efficacy of 810 nm diode laser and photodynamic therapy in reducing microbial flora in patients with peri-implant mucositis - An in vivo study.","authors":"Poonam Siwach, Reshu Sanan, Abhishek Nagpal, Omkar Krishna Shetty, Amit Bhardwaj, Mukesh Sharma","doi":"10.4103/jips.jips_64_24","DOIUrl":null,"url":null,"abstract":"<p><strong>Aim: </strong>The aim of this study was to investigate and compare the antimicrobial effects of an 810-nanometer diode laser, utilizing or not utilizing toluidine blue as a photosensitizer, in the management of peri-implant mucositis.</p><p><strong>Settings and design: </strong>The present study was carried out in 30 implant sites in 15 patients with peri-implant mucositis with a specific inclusion and exclusion criteria. 15 sites were treated utilizing a diode laser (control group) and 15 with photodynamic therapy (test group) in a split-mouth format.</p><p><strong>Materials and methods: </strong>Samples were taken from the gingival sulcus with the help of plastic curettes from control and test sites both at baseline and at 3 months for microbiological analysis.</p><p><strong>Statistical analysis used: </strong>Shapiro-Wilk Test was used to check deviation from normality. Wilcoxon signed-rank test was used to analyse the two dependent groups.</p><p><strong>Results: </strong>Intragroup comparison was found to be statistically significant when compared at baseline and at 3 months in the photodynamic (P = 0.001) and diode laser groups (P = 0.001), respectively. No statistically significant reduction in bacterial count was found at baseline (P = 0.1) and at 3 months (P = 0.5) when the diode laser group and photodynamic group were compared with each other (intergroup).</p><p><strong>Conclusion: </strong>Within the limitations of the study, it can be concluded that there is a definitive reduction in pathogenic bacteria with both interventions and PDT offers clinically visible benefits in the treatment of peri-implant mucositis.</p>","PeriodicalId":22669,"journal":{"name":"The Journal of Indian Prosthodontic Society","volume":"25 1","pages":"40-45"},"PeriodicalIF":1.0000,"publicationDate":"2025-01-01","publicationTypes":"Journal Article","fieldsOfStudy":null,"isOpenAccess":false,"openAccessPdf":"https://www.ncbi.nlm.nih.gov/pmc/articles/PMC11853942/pdf/","citationCount":"0","resultStr":null,"platform":"Semanticscholar","paperid":null,"PeriodicalName":"The Journal of Indian Prosthodontic Society","FirstCategoryId":"1085","ListUrlMain":"https://doi.org/10.4103/jips.jips_64_24","RegionNum":0,"RegionCategory":null,"ArticlePicture":[],"TitleCN":null,"AbstractTextCN":null,"PMCID":null,"EPubDate":"2025/1/3 0:00:00","PubModel":"Epub","JCR":"Q3","JCRName":"DENTISTRY, ORAL SURGERY & MEDICINE","Score":null,"Total":0}
引用次数: 0

Abstract

Aim: The aim of this study was to investigate and compare the antimicrobial effects of an 810-nanometer diode laser, utilizing or not utilizing toluidine blue as a photosensitizer, in the management of peri-implant mucositis.

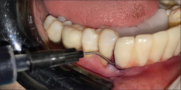
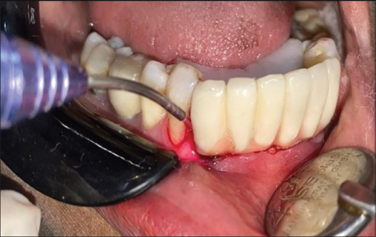
Settings and design: The present study was carried out in 30 implant sites in 15 patients with peri-implant mucositis with a specific inclusion and exclusion criteria. 15 sites were treated utilizing a diode laser (control group) and 15 with photodynamic therapy (test group) in a split-mouth format.

Materials and methods: Samples were taken from the gingival sulcus with the help of plastic curettes from control and test sites both at baseline and at 3 months for microbiological analysis.

Statistical analysis used: Shapiro-Wilk Test was used to check deviation from normality. Wilcoxon signed-rank test was used to analyse the two dependent groups.

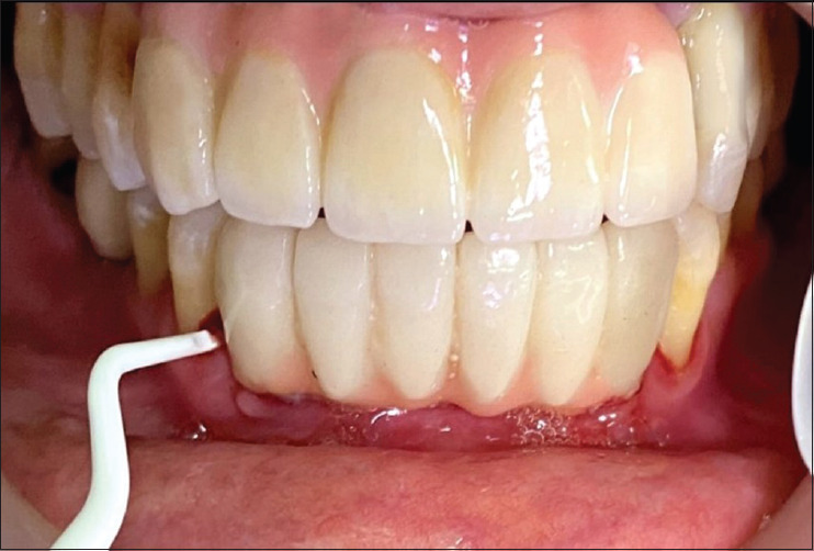
Results: Intragroup comparison was found to be statistically significant when compared at baseline and at 3 months in the photodynamic (P = 0.001) and diode laser groups (P = 0.001), respectively. No statistically significant reduction in bacterial count was found at baseline (P = 0.1) and at 3 months (P = 0.5) when the diode laser group and photodynamic group were compared with each other (intergroup).

Conclusion: Within the limitations of the study, it can be concluded that there is a definitive reduction in pathogenic bacteria with both interventions and PDT offers clinically visible benefits in the treatment of peri-implant mucositis.

Abstract Image

Abstract Image

Abstract Image

810 nm二极管激光与光动力治疗减少种植体周围黏膜炎患者微生物菌群的体内比较研究。
目的:本研究的目的是观察和比较810纳米二极管激光器在使用或不使用甲苯胺蓝作为光敏剂治疗种植体周围粘膜炎的抗菌效果。环境和设计:本研究在15例种植体周围粘膜炎患者的30个种植体部位进行,并有特定的纳入和排除标准。15个部位采用二极管激光治疗(对照组),15个部位采用光动力治疗(试验组)。材料和方法:在基线和3个月时,用塑料刮管从对照和测试部位的牙龈沟取样进行微生物分析。统计学分析:采用Shapiro-Wilk检验检验偏离正态性。采用Wilcoxon sign -rank检验对两个依赖组进行分析。结果:光动力组(P = 0.001)和二极管激光组(P = 0.001)分别在基线和3个月时组内比较具有统计学意义。二极管激光组与光动力组比较,基线时(P = 0.1)和3个月时(P = 0.5)细菌数量均无统计学意义(组间)。结论:在本研究的局限性内,可以得出结论,两种干预措施都能明显减少致病菌,PDT在治疗种植体周围粘膜炎方面具有临床可见的益处。
本文章由计算机程序翻译,如有差异,请以英文原文为准。
求助全文
约1分钟内获得全文 求助全文
来源期刊
The Journal of Indian Prosthodontic Society
The Journal of Indian Prosthodontic Society DENTISTRY, ORAL SURGERY & MEDICINE-
CiteScore
2.20
自引率
8.30%
发文量
26
审稿时长
20 weeks
×
引用
GB/T 7714-2015
复制
MLA
复制
APA
复制
导出至
BibTeX EndNote RefMan NoteFirst NoteExpress
×
提示
您的信息不完整,为了账户安全,请先补充。
现在去补充
×
提示
您因"违规操作"
具体请查看互助需知
我知道了
×
提示
确定
请完成安全验证×
copy
已复制链接
快去分享给好友吧!
我知道了
右上角分享
点击右上角分享
0
联系我们:info@booksci.cn Book学术提供免费学术资源搜索服务,方便国内外学者检索中英文文献。致力于提供最便捷和优质的服务体验。 Copyright © 2023 布克学术 All rights reserved.
京ICP备2023020795号-1
ghs 京公网安备 11010802042870号
Book学术文献互助
Book学术文献互助群
群 号:604180095
Book学术官方微信