A Rare Case of Primary Chondrosarcoma of the Breast: A Case Report and Comprehensive Literature Review.

Discoveries (Craiova, Romania) Pub Date : 2024-09-30 eCollection Date: 2024-07-01 DOI:10.15190/d.2024.12
Sujata Agrawal, Zachariah Chowdhury, Paramita Paul, Tanima Mandal
{"title":"A Rare Case of Primary Chondrosarcoma of the Breast: A Case Report and Comprehensive Literature Review.","authors":"Sujata Agrawal, Zachariah Chowdhury, Paramita Paul, Tanima Mandal","doi":"10.15190/d.2024.12","DOIUrl":null,"url":null,"abstract":"<p><p>Breast sarcomas are a diverse group of malignant neoplasms originating from the mammary stroma. They are uncommon tumors, often occurring as a component of other tumors. Among malignant breast mesenchymal tumors, pure sarcomas lacking epithelial components are even rarer, comprising only 0.5% of breast tumors. The most common types include angiosarcomas, liposarcomas, and osteosarcomas. Pure, primary, and de novo chondrosarcomas are exceedingly rare within breast sarcomas, with very few cases reported. Distinguishing them from metaplastic carcinoma and phyllodes tumors with chondromatous areas entails extensive sampling to exclude proliferating ductal elements. Herein, we present a case of primary chondrosarcoma of the breast in a 72-year-old Indian woman. Initial core biopsy suggested a primary chondroid neoplasm or a heterologous component of a phyllodes tumor. The patient underwent modified radical mastectomy, and histological examination confirmed chondrosarcoma, grade 1, after thorough sampling.Clinical Relevance: This case emphasizes the necessity of incorporating rare sarcomatous breast tumors into the differential diagnosis for breast masses, especially those with chondroid differentiation. The report also reinforces the pivotal role of accurate histopathological evaluation in guiding appropriate surgical and adjunctive treatment, which can significantly impact prognosis in such rare malignancies.</p>","PeriodicalId":72829,"journal":{"name":"Discoveries (Craiova, Romania)","volume":"12 3","pages":"e193"},"PeriodicalIF":0.0000,"publicationDate":"2024-09-30","publicationTypes":"Journal Article","fieldsOfStudy":null,"isOpenAccess":false,"openAccessPdf":"https://www.ncbi.nlm.nih.gov/pmc/articles/PMC11685164/pdf/","citationCount":"0","resultStr":null,"platform":"Semanticscholar","paperid":null,"PeriodicalName":"Discoveries (Craiova, Romania)","FirstCategoryId":"1085","ListUrlMain":"https://doi.org/10.15190/d.2024.12","RegionNum":0,"RegionCategory":null,"ArticlePicture":[],"TitleCN":null,"AbstractTextCN":null,"PMCID":null,"EPubDate":"2024/7/1 0:00:00","PubModel":"eCollection","JCR":"","JCRName":"","Score":null,"Total":0}
引用次数: 0

Abstract

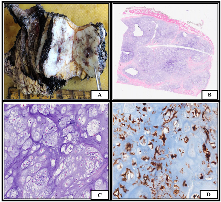
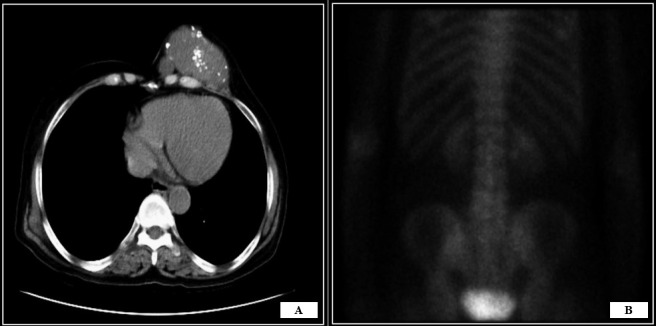
Breast sarcomas are a diverse group of malignant neoplasms originating from the mammary stroma. They are uncommon tumors, often occurring as a component of other tumors. Among malignant breast mesenchymal tumors, pure sarcomas lacking epithelial components are even rarer, comprising only 0.5% of breast tumors. The most common types include angiosarcomas, liposarcomas, and osteosarcomas. Pure, primary, and de novo chondrosarcomas are exceedingly rare within breast sarcomas, with very few cases reported. Distinguishing them from metaplastic carcinoma and phyllodes tumors with chondromatous areas entails extensive sampling to exclude proliferating ductal elements. Herein, we present a case of primary chondrosarcoma of the breast in a 72-year-old Indian woman. Initial core biopsy suggested a primary chondroid neoplasm or a heterologous component of a phyllodes tumor. The patient underwent modified radical mastectomy, and histological examination confirmed chondrosarcoma, grade 1, after thorough sampling.Clinical Relevance: This case emphasizes the necessity of incorporating rare sarcomatous breast tumors into the differential diagnosis for breast masses, especially those with chondroid differentiation. The report also reinforces the pivotal role of accurate histopathological evaluation in guiding appropriate surgical and adjunctive treatment, which can significantly impact prognosis in such rare malignancies.

Abstract Image

Abstract Image

罕见的乳腺原发性软骨肉瘤1例报告及文献复习。
乳腺肉瘤是一类起源于乳腺间质的恶性肿瘤。它们是罕见的肿瘤,通常作为其他肿瘤的组成部分出现。在乳腺恶性间充质肿瘤中,缺乏上皮成分的纯肉瘤更为罕见,仅占乳腺肿瘤的0.5%。最常见的类型包括血管肉瘤、脂肪肉瘤和骨肉瘤。单纯的、原发的和新生的软骨肉瘤在乳腺肉瘤中极为罕见,报道的病例很少。将其与化生癌和带软骨瘤区域的叶状肿瘤区分需要广泛的取样以排除增殖的导管元素。在这里,我们提出一个病例原发性软骨肉瘤的乳房在一个72岁的印度妇女。最初的核心活检提示原发性软骨样肿瘤或叶状肿瘤的异源成分。患者接受改良乳房根治术,组织学检查证实软骨肉瘤,1级,彻底取样后。临床意义:本病例强调了将罕见的乳腺肉瘤纳入乳腺肿块鉴别诊断的必要性,特别是那些有软骨样分化的肿块。该报告还强调了准确的组织病理学评估在指导适当的手术和辅助治疗方面的关键作用,这对这种罕见的恶性肿瘤的预后有重要影响。
本文章由计算机程序翻译,如有差异,请以英文原文为准。
求助全文
约1分钟内获得全文 求助全文
来源期刊
自引率
0.00%
发文量
0
×
引用
GB/T 7714-2015
复制
MLA
复制
APA
复制
导出至
BibTeX EndNote RefMan NoteFirst NoteExpress
×
提示
您的信息不完整,为了账户安全,请先补充。
现在去补充
×
提示
您因"违规操作"
具体请查看互助需知
我知道了
×
提示
确定
请完成安全验证×
copy
已复制链接
快去分享给好友吧!
我知道了
右上角分享
点击右上角分享
0
联系我们:info@booksci.cn Book学术提供免费学术资源搜索服务,方便国内外学者检索中英文文献。致力于提供最便捷和优质的服务体验。 Copyright © 2023 布克学术 All rights reserved.
京ICP备2023020795号-1
ghs 京公网安备 11010802042870号
Book学术文献互助
Book学术文献互助群
群 号:604180095
Book学术官方微信