Fractal analysis of jawbone structure in patients with rheumatoid arthritis.

IF 2.1 Q3 DENTISTRY, ORAL SURGERY & MEDICINE
Imaging Science in Dentistry Pub Date : 2024-12-01 Epub Date: 2024-08-12 DOI:10.5624/isd.20240065
Elif Celebi, Ozlem Gormez, Atalay Dogru, Turgay Aydogan, Hikmet Orhan
{"title":"Fractal analysis of jawbone structure in patients with rheumatoid arthritis.","authors":"Elif Celebi, Ozlem Gormez, Atalay Dogru, Turgay Aydogan, Hikmet Orhan","doi":"10.5624/isd.20240065","DOIUrl":null,"url":null,"abstract":"<p><strong>Purpose: </strong>Periarticular and generalized osteoporosis are well-known comorbidities of rheumatoid arthritis (RA), associated with either the disease itself or glucocorticoid therapy. This study was performed to quantitatively evaluate changes in the jawbones of patients with RA using fractal analysis (FA).</p><p><strong>Materials and methods: </strong>The study comprised 186 participants, including 144 women and 42 men. Of these, 93 were patients with RA and 93 were healthy controls. For the RA group, disease duration, laboratory findings, and medication use were recorded. Measurements of fractal dimension (FD), lacunarity (Lac), bone area fraction (BA/TA), and trabecular thickness (Tb.Th) were taken at the mandibular condyle and angle. These measurements were obtained from panoramic radiographs using ImageJ version 1.52p (National Institutes of Health, Bethesda, MD, USA).</p><p><strong>Results: </strong>Relative to control participants, patients with RA exhibited higher FD values for both mandibular condyle and angle regions (<i>P</i><0.05). Conversely, the RA group displayed lower Lac values for both regions (<i>P</i><0.05). Similarly, Tb.Th values were significantly lower in the RA patient group for both the condyle and the angle (<i>P</i><0.05). Furthermore, a significant negative correlation was identified between disease duration and FD at the mandibular condyle (<i>P</i><0.05).</p><p><strong>Conclusion: </strong>The results demonstrate that FA can be used to quantitatively assess changes in trabecular bone in the jawbones of patients with RA. Image analysis parameters derived from panoramic radiographs, including FA, Lac, BA/TA, and Tb.Th, hold promise in guiding patients with RA toward appropriate medical examinations.</p>","PeriodicalId":51714,"journal":{"name":"Imaging Science in Dentistry","volume":"54 4","pages":"345-353"},"PeriodicalIF":2.1000,"publicationDate":"2024-12-01","publicationTypes":"Journal Article","fieldsOfStudy":null,"isOpenAccess":false,"openAccessPdf":"https://www.ncbi.nlm.nih.gov/pmc/articles/PMC11685309/pdf/","citationCount":"0","resultStr":null,"platform":"Semanticscholar","paperid":null,"PeriodicalName":"Imaging Science in Dentistry","FirstCategoryId":"1085","ListUrlMain":"https://doi.org/10.5624/isd.20240065","RegionNum":0,"RegionCategory":null,"ArticlePicture":[],"TitleCN":null,"AbstractTextCN":null,"PMCID":null,"EPubDate":"2024/8/12 0:00:00","PubModel":"Epub","JCR":"Q3","JCRName":"DENTISTRY, ORAL SURGERY & MEDICINE","Score":null,"Total":0}
引用次数: 0

Abstract

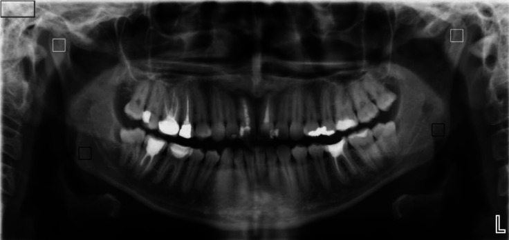
Purpose: Periarticular and generalized osteoporosis are well-known comorbidities of rheumatoid arthritis (RA), associated with either the disease itself or glucocorticoid therapy. This study was performed to quantitatively evaluate changes in the jawbones of patients with RA using fractal analysis (FA).

Materials and methods: The study comprised 186 participants, including 144 women and 42 men. Of these, 93 were patients with RA and 93 were healthy controls. For the RA group, disease duration, laboratory findings, and medication use were recorded. Measurements of fractal dimension (FD), lacunarity (Lac), bone area fraction (BA/TA), and trabecular thickness (Tb.Th) were taken at the mandibular condyle and angle. These measurements were obtained from panoramic radiographs using ImageJ version 1.52p (National Institutes of Health, Bethesda, MD, USA).

Results: Relative to control participants, patients with RA exhibited higher FD values for both mandibular condyle and angle regions (P<0.05). Conversely, the RA group displayed lower Lac values for both regions (P<0.05). Similarly, Tb.Th values were significantly lower in the RA patient group for both the condyle and the angle (P<0.05). Furthermore, a significant negative correlation was identified between disease duration and FD at the mandibular condyle (P<0.05).

Conclusion: The results demonstrate that FA can be used to quantitatively assess changes in trabecular bone in the jawbones of patients with RA. Image analysis parameters derived from panoramic radiographs, including FA, Lac, BA/TA, and Tb.Th, hold promise in guiding patients with RA toward appropriate medical examinations.

Abstract Image

Abstract Image

Abstract Image

类风湿关节炎患者颌骨结构分形分析。
目的:关节周围骨质疏松症和广泛性骨质疏松症是众所周知的类风湿性关节炎(RA)的合并症,与疾病本身或糖皮质激素治疗有关。本研究采用分形分析(FA)定量评价RA患者颌骨的变化。材料和方法:该研究包括186名参与者,其中144名女性和42名男性。其中93人是类风湿性关节炎患者,93人是健康对照。对于类风湿性关节炎组,记录疾病持续时间、实验室结果和药物使用情况。测量下颌髁和角的分形维数(FD)、空隙度(Lac)、骨面积分数(BA/TA)和骨小梁厚度(Tb.Th)。这些测量数据来自使用ImageJ 1.52 2p版本(美国国立卫生研究院,Bethesda, MD, USA)的全景x线片。结果:与对照组相比,RA患者在下颌髁突和角区均表现出更高的FD值(pppp2)。结论:结果表明FA可用于定量评估RA患者颌骨小梁骨的变化。图像分析参数来源于全景x线照片,包括FA、Lac、BA/TA和Tb。因此,有希望指导RA患者进行适当的医学检查。
本文章由计算机程序翻译,如有差异,请以英文原文为准。
求助全文
约1分钟内获得全文 求助全文
来源期刊
Imaging Science in Dentistry
Imaging Science in Dentistry DENTISTRY, ORAL SURGERY & MEDICINE-
CiteScore
2.90
自引率
11.10%
发文量
42
×
引用
GB/T 7714-2015
复制
MLA
复制
APA
复制
导出至
BibTeX EndNote RefMan NoteFirst NoteExpress
×
提示
您的信息不完整,为了账户安全,请先补充。
现在去补充
×
提示
您因"违规操作"
具体请查看互助需知
我知道了
×
提示
确定
请完成安全验证×
copy
已复制链接
快去分享给好友吧!
我知道了
右上角分享
点击右上角分享
0
联系我们:info@booksci.cn Book学术提供免费学术资源搜索服务,方便国内外学者检索中英文文献。致力于提供最便捷和优质的服务体验。 Copyright © 2023 布克学术 All rights reserved.
京ICP备2023020795号-1
ghs 京公网安备 11010802042870号
Book学术文献互助
Book学术文献互助群
群 号:604180095
Book学术官方微信