Analysis of root number and canal morphology of maxillary premolars using cone-beam computed tomography.

IF 2.1 Q3 DENTISTRY, ORAL SURGERY & MEDICINE
Imaging Science in Dentistry Pub Date : 2024-12-01 Epub Date: 2024-10-23 DOI:10.5624/isd.20240150
Yun-Hoa Jung, Jae-Joon Hwang, Ji-Soo Lee, Bong-Hae Cho
{"title":"Analysis of root number and canal morphology of maxillary premolars using cone-beam computed tomography.","authors":"Yun-Hoa Jung, Jae-Joon Hwang, Ji-Soo Lee, Bong-Hae Cho","doi":"10.5624/isd.20240150","DOIUrl":null,"url":null,"abstract":"<p><strong>Purpose: </strong>This study aimed to evaluate the number of roots and type of root canals in maxillary first and second premolars within a selected Korean population utilizing cone-beam computed tomography (CBCT). Additionally, it sought to investigate potential differences in these features according to sex and tooth type.</p><p><strong>Materials and methods: </strong>CBCT images of 585 maxillary first premolars and 578 maxillary second premolars from 303 patients were retrospectively reviewed. The number of roots was classified based on root morphology, and canal configurations were categorized into 8 types according to the Vertucci classification. For statistical analysis, chi-square or Fisher exact tests were employed to compare root number and canal morphology according to sex and tooth type.</p><p><strong>Results: </strong>CBCT analysis revealed that 71.5% of maxillary first premolars and 97.6% of maxillary second premolars had 1 root. The most common canal configuration in maxillary first premolars was Vertucci type IV (42.6%), whereas type I predominated in maxillary second premolars (76.5%). Significant differences in root number and canal configurations were found between men and women (<i>P</i><0.05), with single roots and Vertucci type I canals more commonly observed in women.</p><p><strong>Conclusion: </strong>Both maxillary first premolars and maxillary second premolars typically had 1 root, with a smaller percentage possessing 2 roots. Significant sex differences were observed in root number and canal type. This study highlights the variability in root number and canal configuration, emphasizing the importance of recognizing these variations to achieve successful endodontic treatment.</p>","PeriodicalId":51714,"journal":{"name":"Imaging Science in Dentistry","volume":"54 4","pages":"370-380"},"PeriodicalIF":2.1000,"publicationDate":"2024-12-01","publicationTypes":"Journal Article","fieldsOfStudy":null,"isOpenAccess":false,"openAccessPdf":"https://www.ncbi.nlm.nih.gov/pmc/articles/PMC11685305/pdf/","citationCount":"0","resultStr":null,"platform":"Semanticscholar","paperid":null,"PeriodicalName":"Imaging Science in Dentistry","FirstCategoryId":"1085","ListUrlMain":"https://doi.org/10.5624/isd.20240150","RegionNum":0,"RegionCategory":null,"ArticlePicture":[],"TitleCN":null,"AbstractTextCN":null,"PMCID":null,"EPubDate":"2024/10/23 0:00:00","PubModel":"Epub","JCR":"Q3","JCRName":"DENTISTRY, ORAL SURGERY & MEDICINE","Score":null,"Total":0}
引用次数: 0

Abstract

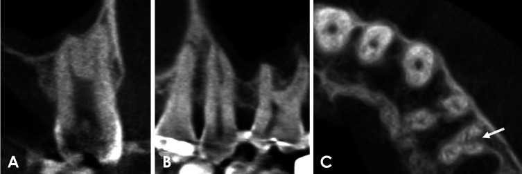
Purpose: This study aimed to evaluate the number of roots and type of root canals in maxillary first and second premolars within a selected Korean population utilizing cone-beam computed tomography (CBCT). Additionally, it sought to investigate potential differences in these features according to sex and tooth type.

Materials and methods: CBCT images of 585 maxillary first premolars and 578 maxillary second premolars from 303 patients were retrospectively reviewed. The number of roots was classified based on root morphology, and canal configurations were categorized into 8 types according to the Vertucci classification. For statistical analysis, chi-square or Fisher exact tests were employed to compare root number and canal morphology according to sex and tooth type.

Results: CBCT analysis revealed that 71.5% of maxillary first premolars and 97.6% of maxillary second premolars had 1 root. The most common canal configuration in maxillary first premolars was Vertucci type IV (42.6%), whereas type I predominated in maxillary second premolars (76.5%). Significant differences in root number and canal configurations were found between men and women (P<0.05), with single roots and Vertucci type I canals more commonly observed in women.

Conclusion: Both maxillary first premolars and maxillary second premolars typically had 1 root, with a smaller percentage possessing 2 roots. Significant sex differences were observed in root number and canal type. This study highlights the variability in root number and canal configuration, emphasizing the importance of recognizing these variations to achieve successful endodontic treatment.

Abstract Image

Abstract Image

Abstract Image

上颌前磨牙牙根数及根管形态的锥束ct分析。
目的:本研究旨在利用锥束计算机断层扫描(CBCT)评估选定的韩国人群上颌第一和第二前磨牙的根数量和根管类型。此外,它还试图根据性别和牙齿类型调查这些特征的潜在差异。材料与方法:回顾性分析303例上颌第一前磨牙585颗、第二前磨牙578颗的CBCT图像。根据根形态对根数进行分类,根据Vertucci分类将根管形态分为8种类型。统计分析采用卡方检验或Fisher精确检验比较不同性别和牙型的根数和根管形态。结果:CBCT分析显示71.5%的上颌第一前磨牙和97.6%的上颌第二前磨牙有1根。上颌第一前磨牙的根管形态以Vertucci IV型(42.6%)最为常见,而上颌第二前磨牙的根管形态以I型(76.5%)为主。结论:上颌第一前磨牙和第二前磨牙均为1根,2根的比例较小。根数和根管类型性别差异显著。本研究强调了根数和根管形态的可变性,强调了认识到这些变异对实现成功的根管治疗的重要性。
本文章由计算机程序翻译,如有差异,请以英文原文为准。
求助全文
约1分钟内获得全文 求助全文
来源期刊
Imaging Science in Dentistry
Imaging Science in Dentistry DENTISTRY, ORAL SURGERY & MEDICINE-
CiteScore
2.90
自引率
11.10%
发文量
42
×
引用
GB/T 7714-2015
复制
MLA
复制
APA
复制
导出至
BibTeX EndNote RefMan NoteFirst NoteExpress
×
提示
您的信息不完整,为了账户安全,请先补充。
现在去补充
×
提示
您因"违规操作"
具体请查看互助需知
我知道了
×
提示
确定
请完成安全验证×
copy
已复制链接
快去分享给好友吧!
我知道了
右上角分享
点击右上角分享
0
联系我们:info@booksci.cn Book学术提供免费学术资源搜索服务,方便国内外学者检索中英文文献。致力于提供最便捷和优质的服务体验。 Copyright © 2023 布克学术 All rights reserved.
京ICP备2023020795号-1
ghs 京公网安备 11010802042870号
Book学术文献互助
Book学术文献互助群
群 号:604180095
Book学术官方微信