Comparison of glued platelet-rich fibrin membrane and noneugenol pack as periodontal dressings after gingival depigmentation.

Q2 Dentistry
Megha Poojari, Monali Shah, Prasad Nadig
{"title":"Comparison of glued platelet-rich fibrin membrane and noneugenol pack as periodontal dressings after gingival depigmentation.","authors":"Megha Poojari, Monali Shah, Prasad Nadig","doi":"10.4103/jisp.jisp_270_23","DOIUrl":null,"url":null,"abstract":"<p><p>Periodontal surgery often necessitates the use of a periodontal dressing to protect the surgical site and facilitate healing. Commonly used dressings, such as noneugenol packs, offer some benefits but have significant drawbacks, including plaque accumulation, a sensation of foreignness, and no significant impact on healing enhancement. On the other hand, platelet-rich fibrin (PRF) membranes are rich in growth factors, which can accelerate wound healing and tissue regeneration. However, their use is limited due to the need for suturing to stabilize the membrane. N-butyl cyanoacrylate is a tissue adhesive known for its hemostatic and bacteriostatic properties and effectiveness in moist environments, presenting a potential solution for PRF membrane stabilization without the need for suturing. This case report evaluates the use of PRF membrane in combination with N-butyl cyanoacrylate adhesive as an alternative to traditional noneugenol periodontal dressing.</p>","PeriodicalId":15890,"journal":{"name":"Journal of Indian Society of Periodontology","volume":"28 3","pages":"376-379"},"PeriodicalIF":0.0000,"publicationDate":"2024-05-01","publicationTypes":"Journal Article","fieldsOfStudy":null,"isOpenAccess":false,"openAccessPdf":"https://www.ncbi.nlm.nih.gov/pmc/articles/PMC11684567/pdf/","citationCount":"0","resultStr":null,"platform":"Semanticscholar","paperid":null,"PeriodicalName":"Journal of Indian Society of Periodontology","FirstCategoryId":"1085","ListUrlMain":"https://doi.org/10.4103/jisp.jisp_270_23","RegionNum":0,"RegionCategory":null,"ArticlePicture":[],"TitleCN":null,"AbstractTextCN":null,"PMCID":null,"EPubDate":"2024/12/2 0:00:00","PubModel":"Epub","JCR":"Q2","JCRName":"Dentistry","Score":null,"Total":0}
引用次数: 0

Abstract

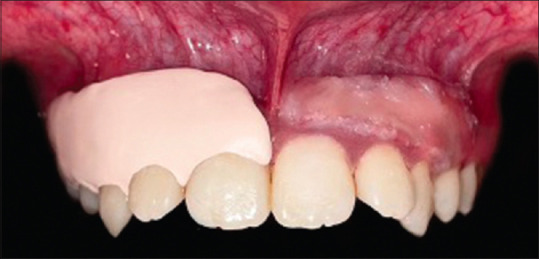
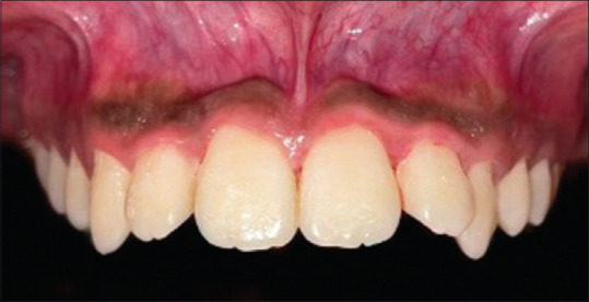
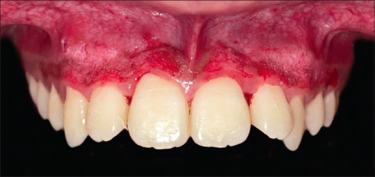
Periodontal surgery often necessitates the use of a periodontal dressing to protect the surgical site and facilitate healing. Commonly used dressings, such as noneugenol packs, offer some benefits but have significant drawbacks, including plaque accumulation, a sensation of foreignness, and no significant impact on healing enhancement. On the other hand, platelet-rich fibrin (PRF) membranes are rich in growth factors, which can accelerate wound healing and tissue regeneration. However, their use is limited due to the need for suturing to stabilize the membrane. N-butyl cyanoacrylate is a tissue adhesive known for its hemostatic and bacteriostatic properties and effectiveness in moist environments, presenting a potential solution for PRF membrane stabilization without the need for suturing. This case report evaluates the use of PRF membrane in combination with N-butyl cyanoacrylate adhesive as an alternative to traditional noneugenol periodontal dressing.

Abstract Image

Abstract Image

Abstract Image

粘接富血小板纤维蛋白膜与非丁香酚包料作为牙龈色素脱失后牙周敷料的比较。
牙周手术通常需要使用牙周敷料来保护手术部位并促进愈合。常用的敷料,如非丁香酚包,有一些好处,但也有明显的缺点,包括斑块堆积,异乡感,对增强愈合没有明显的影响。另一方面,富血小板纤维蛋白(PRF)膜富含生长因子,能促进伤口愈合和组织再生。然而,由于需要缝合以稳定膜,它们的使用受到限制。氰基丙烯酸酯正丁酯是一种组织粘合剂,以其止血和抑菌特性和在潮湿环境中的有效性而闻名,为不需要缝合的PRF膜稳定提供了潜在的解决方案。本病例报告评估了使用PRF膜结合氰基丙烯酸酯正丁酯粘合剂作为传统的非丁香酚牙周敷料的替代品。
本文章由计算机程序翻译,如有差异,请以英文原文为准。
求助全文
约1分钟内获得全文 求助全文
来源期刊
CiteScore
1.70
自引率
0.00%
发文量
87
审稿时长
44 weeks
期刊介绍: The Journal of Indian Society of Periodontology publishes original scientific articles to support practice , education and research in the dental specialty of periodontology and oral implantology. Journal of Indian Society of Periodontology (JISP), is the official publication of the Society and is managed and brought out by the Editor of the society. The journal is published Bimonthly with special issues being brought out for specific occasions. The ISP had a bulletin as its publication for a large number of years and was enhanced as a Journal a few years ago
×
引用
GB/T 7714-2015
复制
MLA
复制
APA
复制
导出至
BibTeX EndNote RefMan NoteFirst NoteExpress
×
提示
您的信息不完整,为了账户安全,请先补充。
现在去补充
×
提示
您因"违规操作"
具体请查看互助需知
我知道了
×
提示
确定
请完成安全验证×
copy
已复制链接
快去分享给好友吧!
我知道了
右上角分享
点击右上角分享
0
联系我们:info@booksci.cn Book学术提供免费学术资源搜索服务,方便国内外学者检索中英文文献。致力于提供最便捷和优质的服务体验。 Copyright © 2023 布克学术 All rights reserved.
京ICP备2023020795号-1
ghs 京公网安备 11010802042870号
Book学术文献互助
Book学术文献互助群
群 号:604180095
Book学术官方微信