Synchronous primary tumors amd distant metastasis detected on 18F-FDG PET in patients with head and neck carcinoma.

Q3 Medicine
Nitin Gupta, Samta Kumari, Poorva Vias, Manpreet Kaur, Shalini Verma
{"title":"Synchronous primary tumors amd distant metastasis detected on <sup>18</sup>F-FDG PET in patients with head and neck carcinoma.","authors":"Nitin Gupta, Samta Kumari, Poorva Vias, Manpreet Kaur, Shalini Verma","doi":"10.22038/aojnmb.2024.76461.1536","DOIUrl":null,"url":null,"abstract":"<p><strong>Objectives: </strong><sup>18</sup>F-FDG PET/CT has been used to characterize the primary lesion and staging in head and neck cancers (HNC). However, prior studies for detecting distant metastasis and synchronous tumors are sparse, especially in Indian context. To investigate the frequency and distribution of head and neck carcinomas, distant metastases and synchronous malignancies detected in HNC in a north Indian population.</p><p><strong>Methods: </strong>Medical records and whole body <sup>18</sup>F-FDG PET/CT examinations performed for initial staging on a total of 281 newly diagnosed HNC patients between 01/2019 to 31/6/2023 in North India were retrospectively analyzed and reviewed to look for distant metastasis and synchronous tumors.</p><p><strong>Results: </strong>On whole body <sup>18</sup>F-FDG PET/CT, distant metastases were detected in 33 (11.7%) patients, all with locally advanced primary tumors corresponding to T category 3 and 4. Lung (6%) and bone (~6.7%) were the most common sites of distant metastasis. In nine patients metastases were detected below the diaphragm. Synchronous malignancies were discovered and histopathologically proven in 22 (7%) patients. Lung carcinoma was the most common synchronous tumor, detected in 9 patients. In seven patients synchronous tumour was detected outside the aerodigestive tract, of which four were below the diaphragm.</p><p><strong>Conclusions: </strong>Of the distant metastasis diagnosed in 11.7% of HNC patients with TNM tumor category T3 and T4, 3% of metastasis lesions were detected below the diaphragm. Synchronous malignancy was diagnosed in 7% patients irrespective of primary HNC stage. These findings demonstrate the advantage of using whole body <sup>18</sup>F-FDG PET/CT as an ideal and preferred modality for initial staging and screening of HNC patients since detection of distant metastasis or a synchronous malignancy changes the management approach in these patients.</p>","PeriodicalId":8503,"journal":{"name":"Asia Oceania Journal of Nuclear Medicine and Biology","volume":"13 1","pages":"21-32"},"PeriodicalIF":0.0000,"publicationDate":"2025-01-01","publicationTypes":"Journal Article","fieldsOfStudy":null,"isOpenAccess":false,"openAccessPdf":"https://www.ncbi.nlm.nih.gov/pmc/articles/PMC11682470/pdf/","citationCount":"0","resultStr":null,"platform":"Semanticscholar","paperid":null,"PeriodicalName":"Asia Oceania Journal of Nuclear Medicine and Biology","FirstCategoryId":"1085","ListUrlMain":"https://doi.org/10.22038/aojnmb.2024.76461.1536","RegionNum":0,"RegionCategory":null,"ArticlePicture":[],"TitleCN":null,"AbstractTextCN":null,"PMCID":null,"EPubDate":"","PubModel":"","JCR":"Q3","JCRName":"Medicine","Score":null,"Total":0}
引用次数: 0

Abstract

Objectives: 18F-FDG PET/CT has been used to characterize the primary lesion and staging in head and neck cancers (HNC). However, prior studies for detecting distant metastasis and synchronous tumors are sparse, especially in Indian context. To investigate the frequency and distribution of head and neck carcinomas, distant metastases and synchronous malignancies detected in HNC in a north Indian population.

Methods: Medical records and whole body 18F-FDG PET/CT examinations performed for initial staging on a total of 281 newly diagnosed HNC patients between 01/2019 to 31/6/2023 in North India were retrospectively analyzed and reviewed to look for distant metastasis and synchronous tumors.

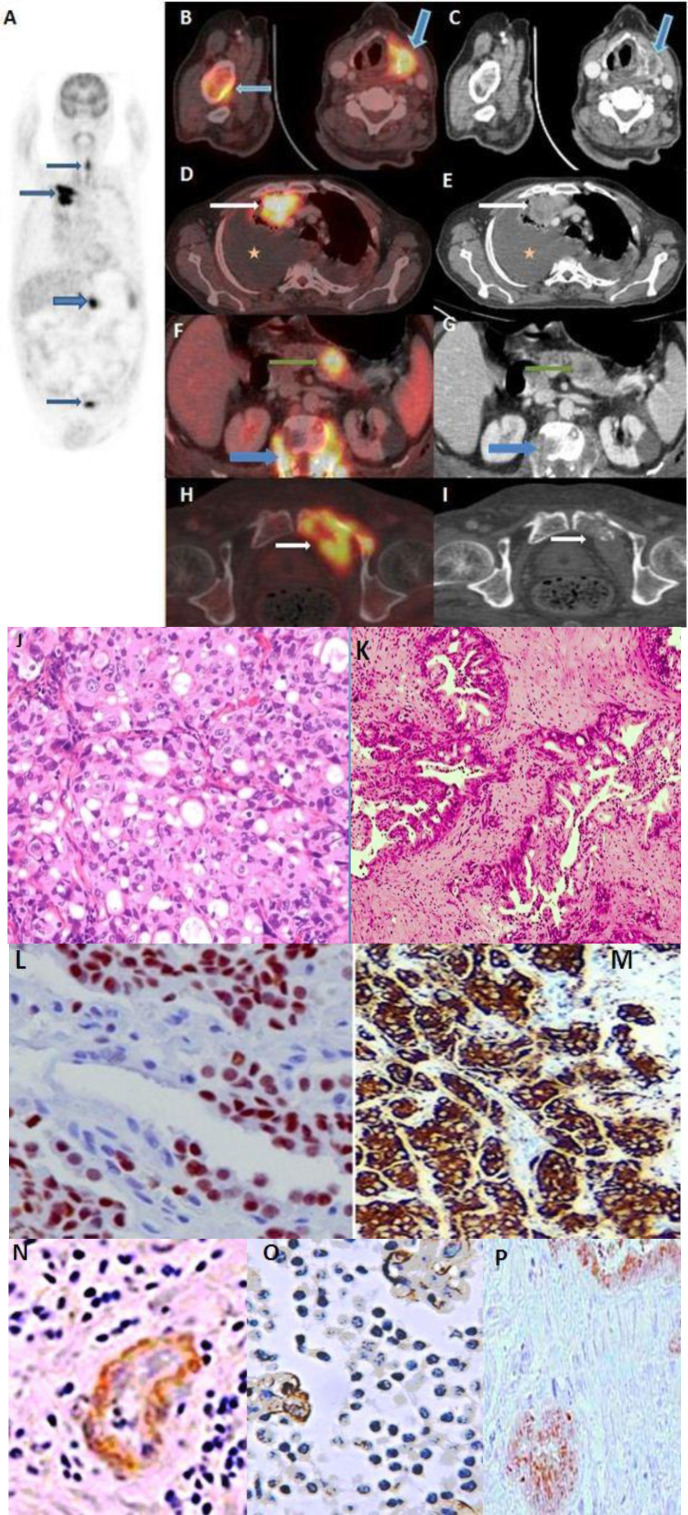
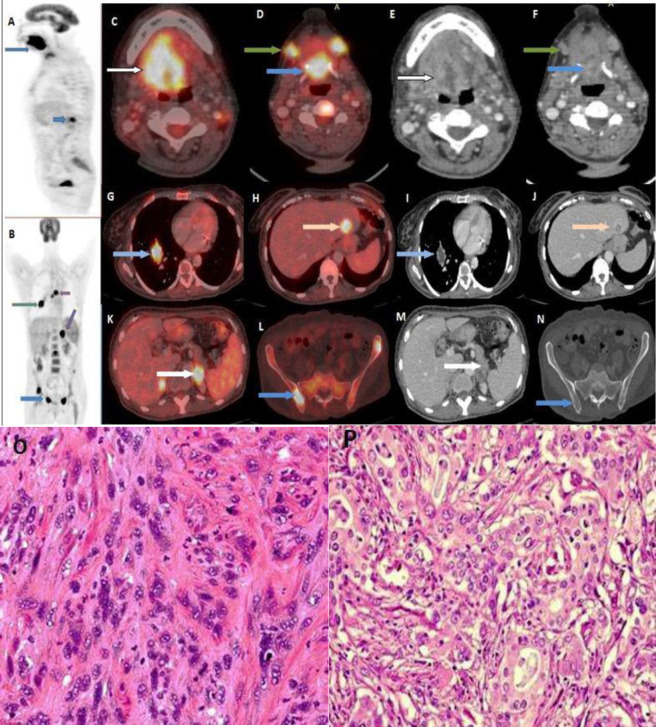
Results: On whole body 18F-FDG PET/CT, distant metastases were detected in 33 (11.7%) patients, all with locally advanced primary tumors corresponding to T category 3 and 4. Lung (6%) and bone (~6.7%) were the most common sites of distant metastasis. In nine patients metastases were detected below the diaphragm. Synchronous malignancies were discovered and histopathologically proven in 22 (7%) patients. Lung carcinoma was the most common synchronous tumor, detected in 9 patients. In seven patients synchronous tumour was detected outside the aerodigestive tract, of which four were below the diaphragm.

Conclusions: Of the distant metastasis diagnosed in 11.7% of HNC patients with TNM tumor category T3 and T4, 3% of metastasis lesions were detected below the diaphragm. Synchronous malignancy was diagnosed in 7% patients irrespective of primary HNC stage. These findings demonstrate the advantage of using whole body 18F-FDG PET/CT as an ideal and preferred modality for initial staging and screening of HNC patients since detection of distant metastasis or a synchronous malignancy changes the management approach in these patients.

Abstract Image

Abstract Image

Abstract Image

18F-FDG PET检测头颈部癌患者同步原发肿瘤及远处转移。
目的:18F-FDG PET/CT用于头颈癌(HNC)的原发病变和分期。然而,先前检测远处转移和同步肿瘤的研究很少,特别是在印度。研究印度北部HNC人群头颈癌、远处转移和同步恶性肿瘤的频率和分布。方法:回顾性分析2019年1月1日至2023年6月31日印度北部281例新诊断HNC患者的医疗记录和初始分期全身18F-FDG PET/CT检查,寻找远处转移和同步肿瘤。结果:全身18F-FDG PET/CT检查发现远处转移33例(11.7%),均为局部晚期原发肿瘤,对应T 3、4类。肺(6%)和骨(~6.7%)是最常见的远处转移部位。9例患者在横膈膜下发现转移灶。22例(7%)患者发现并经组织病理学证实为同步恶性肿瘤。肺癌是最常见的同步肿瘤,共9例。在7例患者中,同时在气消化道外发现肿瘤,其中4例在横膈膜下。结论:11.7%的HNC T3、T4型TNM患者发生远处转移,其中膈下转移灶占3%。7%的患者被诊断为同步恶性肿瘤,与原发性HNC分期无关。这些发现表明,使用全身18F-FDG PET/CT作为HNC患者初始分期和筛查的理想和首选方式的优势,因为发现远处转移或同步恶性肿瘤改变了这些患者的治疗方法。
本文章由计算机程序翻译,如有差异,请以英文原文为准。
求助全文
约1分钟内获得全文 求助全文
来源期刊
Asia Oceania Journal of Nuclear Medicine and Biology
Asia Oceania Journal of Nuclear Medicine and Biology Medicine-Radiology, Nuclear Medicine and Imaging
CiteScore
1.80
自引率
0.00%
发文量
28
审稿时长
12 weeks
×
引用
GB/T 7714-2015
复制
MLA
复制
APA
复制
导出至
BibTeX EndNote RefMan NoteFirst NoteExpress
×
提示
您的信息不完整,为了账户安全,请先补充。
现在去补充
×
提示
您因"违规操作"
具体请查看互助需知
我知道了
×
提示
确定
请完成安全验证×
copy
已复制链接
快去分享给好友吧!
我知道了
右上角分享
点击右上角分享
0
联系我们:info@booksci.cn Book学术提供免费学术资源搜索服务,方便国内外学者检索中英文文献。致力于提供最便捷和优质的服务体验。 Copyright © 2023 布克学术 All rights reserved.
京ICP备2023020795号-1
ghs 京公网安备 11010802042870号
Book学术文献互助
Book学术文献互助群
群 号:604180095
Book学术官方微信