18F-FDG PET/CT in lymphangiosarcoma: A case report and review of literature.

Q3 Medicine
Nitin Gupta
{"title":"<sup>18</sup>F-FDG PET/CT in lymphangiosarcoma: A case report and review of literature.","authors":"Nitin Gupta","doi":"10.22038/aojnmb.2024.77689.1548","DOIUrl":null,"url":null,"abstract":"<p><strong>Objectives: </strong>Lymphangiosarcoma is a rare tumor that affects the upper limbs of patients who have undergone breast cancer surgery, including axillary dissection, followed by radiation therapy (RT) to the axilla and has a poor prognosis. <sup>18</sup>F-FDG PET/CT may enable the earlier detection of malignant transformation in a setting of chronic lymphedema and help evaluate the extent and staging of the tumor, allowing earlier initiation of treatment options.</p><p><strong>Case presentation: </strong>We herein report a case of cutaneous lymphangiosarcoma in a 47-year-old breast carcinoma patient, which occurred 9 years after initial surgery and radiation therapy. Distant metastases were detected on <sup>18</sup>F-FDG PET/CT. The patient underwent fore-quarter amputation of the upper limb and concurrent chemo-radiation therapy. However, she succumbed to her disease after 3 cycles of chemotherapy.</p><p><strong>Conclusions: </strong><sup>18</sup>F-FDG PET/CT scan helps in the early detection of malignant transformation and lymphangiosarcoma in a setting of chronic lymphedema in breast carcinoma patients following radiation therapy to the axilla. Furthermore, it helps determine the extent of regional spread and detect metastatic involvement, thus enabling better clinical management of these patients.</p>","PeriodicalId":8503,"journal":{"name":"Asia Oceania Journal of Nuclear Medicine and Biology","volume":"13 1","pages":"107-113"},"PeriodicalIF":0.0000,"publicationDate":"2025-01-01","publicationTypes":"Journal Article","fieldsOfStudy":null,"isOpenAccess":false,"openAccessPdf":"https://www.ncbi.nlm.nih.gov/pmc/articles/PMC11682481/pdf/","citationCount":"0","resultStr":null,"platform":"Semanticscholar","paperid":null,"PeriodicalName":"Asia Oceania Journal of Nuclear Medicine and Biology","FirstCategoryId":"1085","ListUrlMain":"https://doi.org/10.22038/aojnmb.2024.77689.1548","RegionNum":0,"RegionCategory":null,"ArticlePicture":[],"TitleCN":null,"AbstractTextCN":null,"PMCID":null,"EPubDate":"","PubModel":"","JCR":"Q3","JCRName":"Medicine","Score":null,"Total":0}
引用次数: 0

Abstract

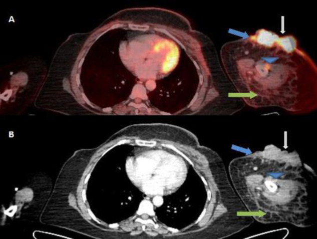
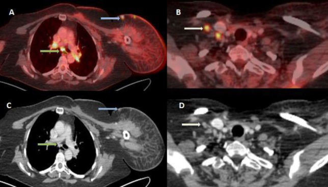
Objectives: Lymphangiosarcoma is a rare tumor that affects the upper limbs of patients who have undergone breast cancer surgery, including axillary dissection, followed by radiation therapy (RT) to the axilla and has a poor prognosis. 18F-FDG PET/CT may enable the earlier detection of malignant transformation in a setting of chronic lymphedema and help evaluate the extent and staging of the tumor, allowing earlier initiation of treatment options.

Case presentation: We herein report a case of cutaneous lymphangiosarcoma in a 47-year-old breast carcinoma patient, which occurred 9 years after initial surgery and radiation therapy. Distant metastases were detected on 18F-FDG PET/CT. The patient underwent fore-quarter amputation of the upper limb and concurrent chemo-radiation therapy. However, she succumbed to her disease after 3 cycles of chemotherapy.

Conclusions: 18F-FDG PET/CT scan helps in the early detection of malignant transformation and lymphangiosarcoma in a setting of chronic lymphedema in breast carcinoma patients following radiation therapy to the axilla. Furthermore, it helps determine the extent of regional spread and detect metastatic involvement, thus enabling better clinical management of these patients.

Abstract Image

Abstract Image

Abstract Image

18F-FDG PET/CT在淋巴管肉瘤中的表现:1例报告及文献复习。
目的:淋巴血管肉瘤是一种罕见的肿瘤,发生于乳腺癌手术包括腋窝清扫术后腋窝放射治疗(RT)患者的上肢,预后较差。18F-FDG PET/CT可以早期发现慢性淋巴水肿的恶性转化,并有助于评估肿瘤的范围和分期,从而可以更早地开始治疗方案。病例介绍:我们在此报告一例47岁的乳腺癌患者,在初次手术和放疗后9年发生皮肤淋巴管肉瘤。18F-FDG PET/CT检查远处转移灶。患者接受上肢四分之一截肢和同步放化疗。然而,在3个周期的化疗后,她死于疾病。结论:18F-FDG PET/CT扫描有助于早期发现乳腺癌患者腋窝放射治疗后慢性淋巴水肿的恶性转化和淋巴管肉瘤。此外,它有助于确定区域扩散的程度和检测转移性累及,从而使这些患者更好的临床管理。
本文章由计算机程序翻译,如有差异,请以英文原文为准。
求助全文
约1分钟内获得全文 求助全文
来源期刊
Asia Oceania Journal of Nuclear Medicine and Biology
Asia Oceania Journal of Nuclear Medicine and Biology Medicine-Radiology, Nuclear Medicine and Imaging
CiteScore
1.80
自引率
0.00%
发文量
28
审稿时长
12 weeks
×
引用
GB/T 7714-2015
复制
MLA
复制
APA
复制
导出至
BibTeX EndNote RefMan NoteFirst NoteExpress
×
提示
您的信息不完整,为了账户安全,请先补充。
现在去补充
×
提示
您因"违规操作"
具体请查看互助需知
我知道了
×
提示
确定
请完成安全验证×
copy
已复制链接
快去分享给好友吧!
我知道了
右上角分享
点击右上角分享
0
联系我们:info@booksci.cn Book学术提供免费学术资源搜索服务,方便国内外学者检索中英文文献。致力于提供最便捷和优质的服务体验。 Copyright © 2023 布克学术 All rights reserved.
京ICP备2023020795号-1
ghs 京公网安备 11010802042870号
Book学术文献互助
Book学术文献互助群
群 号:604180095
Book学术官方微信