[18F]FDG PET/CT volumetric biomarkers for non-invasive prediction of HER2 expression in breast cancer patients.

Q3 Medicine
Mai Amr Elahmadawy, Heba Abdelhamed, Dina Hosny Gamal El-Din, Mahitab Eltohamy, Adel Mohamed Ismail Hassan, Salwa Abd El-Gaid
{"title":"[<sup>18</sup>F]FDG PET/CT volumetric biomarkers for non-invasive prediction of HER2 expression in breast cancer patients.","authors":"Mai Amr Elahmadawy, Heba Abdelhamed, Dina Hosny Gamal El-Din, Mahitab Eltohamy, Adel Mohamed Ismail Hassan, Salwa Abd El-Gaid","doi":"10.22038/aojnmb.2024.79970.1563","DOIUrl":null,"url":null,"abstract":"<p><strong>Objectives: </strong>to investigate the capability of <sup>18</sup>F-fluorodeoxyglucose positron emission tomography/computed tomography ([<sup>18</sup>F]-FDG PET/CT) derived volumetric parameters to predict human epidermal growth factor receptor 2 (HER2) status in breast cancer patients.</p><p><strong>Methods: </strong>retrospective study enrolled 47 female patients with breast cancer. All patients had pretreatment [<sup>18</sup>F]-FDG PET/CT. Clinical data, pathology report and HER2 status were retrieved from medical records. In an attempt to assess the predictive value of the PET-derived metabolic parameters, Receiver operating characteristic (ROC) curve was constructed with area under curve analysis performed to detect best cutoff value of significant parameters for detection of HER2 positive.</p><p><strong>Results: </strong>No statistically significant difference was noted among both groups (HER2 positive and negative) in respect to age, menopausal status, histology, grade, T-stage, N-stage, or antigen Kiel 67 (Ki-67) index. ROC curve successfully marked cutoff point ≥42.35 for total lesion glycolysis (TLG) and  12.75 for metabolic tumor value (MTV) that are capable to discriminate positive versus negative HER2 expression in breast cancer patients with area under curve (AUC) 0.728 and 0.723 and P-values 0.002 and 0.004 respectively. Such cutoff point was not deduced for standard uptake value (SUV) max. Primary tumor TLG cutoff correlated well with age where 77.8% of patients with TLG  42.35 were older than 45 years old compared to 22.2% of them who were younger than 45 years, P-value0.047. Also 70.3% of patients with TLG exceeds  42.35 had T3 and 4 primary tumors while 65% of those with TLG <42.35 their primary tumors were T1 and 2, P-value0.03. As regards Primary tumor MTV cutoff point, significant correlations were noted in respect to T-stage where 78.2% of the patients with primary tumor MTV  12.75 were T3 and 4, compared to 66.6% of those with primary tumor MTV <12.75 were T1 and 2, P-value0.011.</p><p><strong>Conclusion: </strong>PET-derived volumetrics may serve as non-invasive predictors of biological processes represented here as HER2 expression in breast cancer patients.</p>","PeriodicalId":8503,"journal":{"name":"Asia Oceania Journal of Nuclear Medicine and Biology","volume":"13 1","pages":"10-20"},"PeriodicalIF":0.0000,"publicationDate":"2025-01-01","publicationTypes":"Journal Article","fieldsOfStudy":null,"isOpenAccess":false,"openAccessPdf":"https://www.ncbi.nlm.nih.gov/pmc/articles/PMC11682474/pdf/","citationCount":"0","resultStr":null,"platform":"Semanticscholar","paperid":null,"PeriodicalName":"Asia Oceania Journal of Nuclear Medicine and Biology","FirstCategoryId":"1085","ListUrlMain":"https://doi.org/10.22038/aojnmb.2024.79970.1563","RegionNum":0,"RegionCategory":null,"ArticlePicture":[],"TitleCN":null,"AbstractTextCN":null,"PMCID":null,"EPubDate":"","PubModel":"","JCR":"Q3","JCRName":"Medicine","Score":null,"Total":0}
引用次数: 0

Abstract

Objectives: to investigate the capability of 18F-fluorodeoxyglucose positron emission tomography/computed tomography ([18F]-FDG PET/CT) derived volumetric parameters to predict human epidermal growth factor receptor 2 (HER2) status in breast cancer patients.

Methods: retrospective study enrolled 47 female patients with breast cancer. All patients had pretreatment [18F]-FDG PET/CT. Clinical data, pathology report and HER2 status were retrieved from medical records. In an attempt to assess the predictive value of the PET-derived metabolic parameters, Receiver operating characteristic (ROC) curve was constructed with area under curve analysis performed to detect best cutoff value of significant parameters for detection of HER2 positive.

Results: No statistically significant difference was noted among both groups (HER2 positive and negative) in respect to age, menopausal status, histology, grade, T-stage, N-stage, or antigen Kiel 67 (Ki-67) index. ROC curve successfully marked cutoff point ≥42.35 for total lesion glycolysis (TLG) and  12.75 for metabolic tumor value (MTV) that are capable to discriminate positive versus negative HER2 expression in breast cancer patients with area under curve (AUC) 0.728 and 0.723 and P-values 0.002 and 0.004 respectively. Such cutoff point was not deduced for standard uptake value (SUV) max. Primary tumor TLG cutoff correlated well with age where 77.8% of patients with TLG  42.35 were older than 45 years old compared to 22.2% of them who were younger than 45 years, P-value0.047. Also 70.3% of patients with TLG exceeds  42.35 had T3 and 4 primary tumors while 65% of those with TLG <42.35 their primary tumors were T1 and 2, P-value0.03. As regards Primary tumor MTV cutoff point, significant correlations were noted in respect to T-stage where 78.2% of the patients with primary tumor MTV  12.75 were T3 and 4, compared to 66.6% of those with primary tumor MTV <12.75 were T1 and 2, P-value0.011.

Conclusion: PET-derived volumetrics may serve as non-invasive predictors of biological processes represented here as HER2 expression in breast cancer patients.

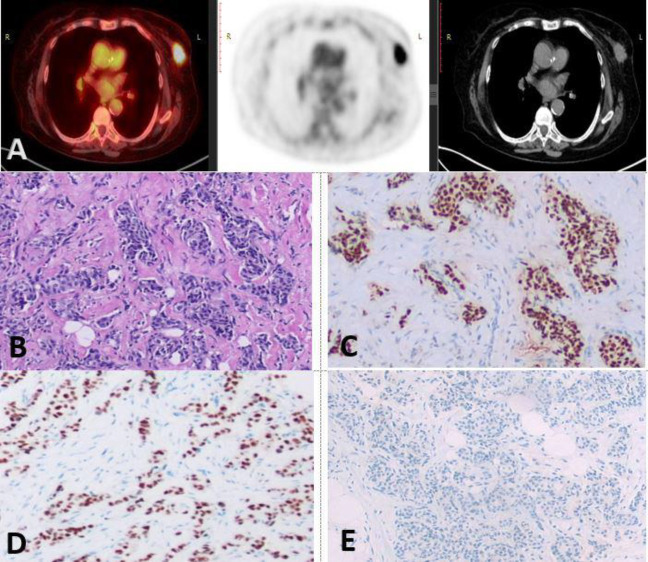
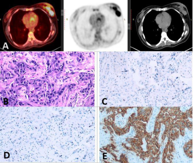
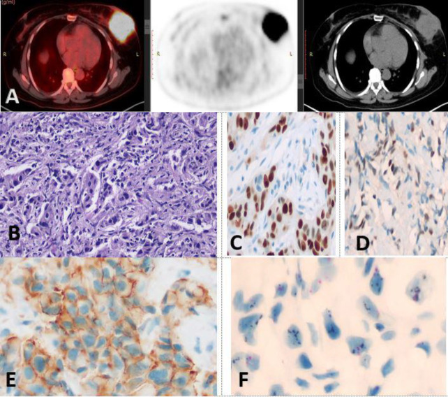
Abstract Image

Abstract Image

Abstract Image

[18F]FDG PET/CT体积生物标志物无创预测乳腺癌患者HER2表达
目的:探讨18F-氟脱氧葡萄糖正电子发射断层扫描/计算机断层扫描([18F]-FDG PET/CT)衍生的体积参数预测乳腺癌患者人表皮生长因子受体2 (HER2)状态的能力。方法:回顾性研究纳入47例女性乳腺癌患者。所有患者均行预处理[18F]-FDG PET/CT。从病历中检索临床资料、病理报告和HER2状态。为了评估pet衍生代谢参数的预测价值,构建受试者工作特征(ROC)曲线,并进行曲线下面积分析,以检测检测HER2阳性的显著参数的最佳截止值。结果:两组(HER2阳性和阴性)在年龄、绝经状态、组织学、分级、t分期、n分期或抗原Kiel 67 (Ki-67)指数方面无统计学差异。ROC曲线成功标记总病灶糖酵解(TLG)和代谢肿瘤值(MTV)截断点≥42.35和12.75,能够区分乳腺癌患者HER2的阳性和阴性表达,曲线下面积(AUC)分别为0.728和0.723,p值分别为0.002和0.004。对于标准摄取值(SUV) max,没有推导出该截断点。原发肿瘤TLG切断与年龄相关,TLG 42.35的患者中年龄≥45岁的占77.8%,小于45岁的占22.2%,p值为0.047。此外,70.3%的TLG超过42.35的患者有T3和4原发肿瘤,而65%的TLG患者有T3和4原发肿瘤。结论:pet衍生的体积可以作为乳腺癌患者HER2表达生物学过程的非侵入性预测指标。
本文章由计算机程序翻译,如有差异,请以英文原文为准。
求助全文
约1分钟内获得全文 求助全文
来源期刊
Asia Oceania Journal of Nuclear Medicine and Biology
Asia Oceania Journal of Nuclear Medicine and Biology Medicine-Radiology, Nuclear Medicine and Imaging
CiteScore
1.80
自引率
0.00%
发文量
28
审稿时长
12 weeks
×
引用
GB/T 7714-2015
复制
MLA
复制
APA
复制
导出至
BibTeX EndNote RefMan NoteFirst NoteExpress
×
提示
您的信息不完整,为了账户安全,请先补充。
现在去补充
×
提示
您因"违规操作"
具体请查看互助需知
我知道了
×
提示
确定
请完成安全验证×
copy
已复制链接
快去分享给好友吧!
我知道了
右上角分享
点击右上角分享
0
联系我们:info@booksci.cn Book学术提供免费学术资源搜索服务,方便国内外学者检索中英文文献。致力于提供最便捷和优质的服务体验。 Copyright © 2023 布克学术 All rights reserved.
京ICP备2023020795号-1
ghs 京公网安备 11010802042870号
Book学术文献互助
Book学术文献互助群
群 号:604180095
Book学术官方微信