Standardization of polymerase chain reaction for detection of fluconazole resistance targeting Y132F mutation in ERG11 gene in Candida parapsilosis.

Q3 Medicine
Current Medical Mycology Pub Date : 2024-05-07 eCollection Date: 2024-01-01 DOI:10.22034/cmm.2024.345209.1517
Kanagasabapathi Karthika, Thayanidhi Premamalini, Thanneru Vijayakishore, Anupama Jyoti Kindo
{"title":"Standardization of polymerase chain reaction for detection of fluconazole resistance targeting Y132F mutation in <i>ERG11</i> gene in <i>Candida parapsilosis</i>.","authors":"Kanagasabapathi Karthika, Thayanidhi Premamalini, Thanneru Vijayakishore, Anupama Jyoti Kindo","doi":"10.22034/cmm.2024.345209.1517","DOIUrl":null,"url":null,"abstract":"<p><strong>Background and purpose: </strong><i>Candida parapsilosis</i> is the third most commonly isolated species from candidemia patients admitted to Indian intensive care units. Outbreak of infection and emergence of fluconazole resistance associated with this particular species has been increasingly documented since 2018. Worldwide data has documented that Y132F substitution in the <i>ERG11</i> gene is the predominant fluconazole resistance mechanism among <i>C parapsilosis</i>. Hence, this study aimed to detect fluconazole resistance by targeting Y132F mutation in the <i>ERG11</i> gene in <i>C. parapsilosis</i>, by conventional polymerase chain reaction (PCR) assay with in-house designed primers.</p><p><strong>Materials and methods: </strong>A total of 75 <i>Candida</i> isolates were collected from candidemia patients (Jan-Dec 2023). All the <i>Candida</i> isolates were subjected to phenotypic and genotypic characterization. PCR-restriction fragment length polymorphism was performed for identification and confirmation of <i>C. parapsilosis</i> isolates. The antifungal susceptibility testing by broth microdilution method was performed according to the Clinical and Laboratory Standards Institute guidelines (M27-A3) for all <i>C. parapsilosis</i> against fluconazole, itraconazole, voriconazole, and posaconazole to determine their minimum inhibitory concentration (MIC) values. <i>Candida parapsilosis</i>-specific PCR assay was developed with in-house designed primers to detect Y132F mutation in the <i>ERG11</i> gene.</p><p><strong>Results: </strong>In this study, among 75 candidemia patients (Jan-Dec 2023), about 24% of the candidemia was caused by <i>C. parapsilosis</i>. Fluconazole resistance among <i>C. parapsilosis</i> was found to be 16.7% with a MIC range of 32-64 µg/ml. The PCR assay successfully identified all three fluconazole-resistant <i>C. parapsilosis</i> with Y132F mutation, thereby confirming the PCR results. Furthermore, validation of the presence and absence of Y132F mutation in resistant and susceptible isolates by DNA sequencing showed that the results were in concordance with our PCR assay.</p><p><strong>Conclusion: </strong>The developed PCR assay successfully detected the Y132F mutation within 3 h. This assay can be useful for early detection of fluconazole-resistant <i>C. parapsilosis</i> isolates in candidemia patients, which helps the provision of early antifungal treatment for better patient management.</p>","PeriodicalId":10863,"journal":{"name":"Current Medical Mycology","volume":"10 ","pages":""},"PeriodicalIF":0.0000,"publicationDate":"2024-05-07","publicationTypes":"Journal Article","fieldsOfStudy":null,"isOpenAccess":false,"openAccessPdf":"https://www.ncbi.nlm.nih.gov/pmc/articles/PMC11686929/pdf/","citationCount":"0","resultStr":null,"platform":"Semanticscholar","paperid":null,"PeriodicalName":"Current Medical Mycology","FirstCategoryId":"1085","ListUrlMain":"https://doi.org/10.22034/cmm.2024.345209.1517","RegionNum":0,"RegionCategory":null,"ArticlePicture":[],"TitleCN":null,"AbstractTextCN":null,"PMCID":null,"EPubDate":"2024/1/1 0:00:00","PubModel":"eCollection","JCR":"Q3","JCRName":"Medicine","Score":null,"Total":0}
引用次数: 0

Abstract

Background and purpose: Candida parapsilosis is the third most commonly isolated species from candidemia patients admitted to Indian intensive care units. Outbreak of infection and emergence of fluconazole resistance associated with this particular species has been increasingly documented since 2018. Worldwide data has documented that Y132F substitution in the ERG11 gene is the predominant fluconazole resistance mechanism among C parapsilosis. Hence, this study aimed to detect fluconazole resistance by targeting Y132F mutation in the ERG11 gene in C. parapsilosis, by conventional polymerase chain reaction (PCR) assay with in-house designed primers.

Materials and methods: A total of 75 Candida isolates were collected from candidemia patients (Jan-Dec 2023). All the Candida isolates were subjected to phenotypic and genotypic characterization. PCR-restriction fragment length polymorphism was performed for identification and confirmation of C. parapsilosis isolates. The antifungal susceptibility testing by broth microdilution method was performed according to the Clinical and Laboratory Standards Institute guidelines (M27-A3) for all C. parapsilosis against fluconazole, itraconazole, voriconazole, and posaconazole to determine their minimum inhibitory concentration (MIC) values. Candida parapsilosis-specific PCR assay was developed with in-house designed primers to detect Y132F mutation in the ERG11 gene.

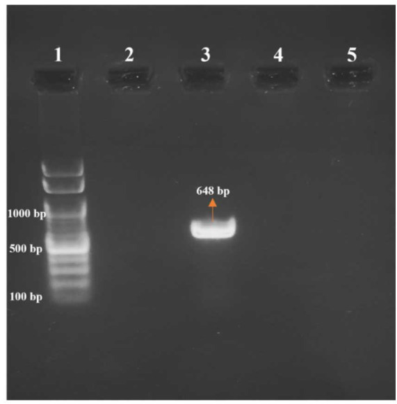
Results: In this study, among 75 candidemia patients (Jan-Dec 2023), about 24% of the candidemia was caused by C. parapsilosis. Fluconazole resistance among C. parapsilosis was found to be 16.7% with a MIC range of 32-64 µg/ml. The PCR assay successfully identified all three fluconazole-resistant C. parapsilosis with Y132F mutation, thereby confirming the PCR results. Furthermore, validation of the presence and absence of Y132F mutation in resistant and susceptible isolates by DNA sequencing showed that the results were in concordance with our PCR assay.

Conclusion: The developed PCR assay successfully detected the Y132F mutation within 3 h. This assay can be useful for early detection of fluconazole-resistant C. parapsilosis isolates in candidemia patients, which helps the provision of early antifungal treatment for better patient management.

Abstract Image

Abstract Image

Abstract Image

聚合酶链反应标准化检测假丝酵母菌ERG11基因Y132F突变氟康唑耐药
背景和目的:假丝酵母菌是印度重症监护病房住院的假丝酵母菌患者中第三常见的分离种。自2018年以来,与这一特定物种相关的感染爆发和氟康唑耐药性的出现越来越多地记录在案。世界范围内的数据表明,ERG11基因中Y132F的替代是C细胞旁裂病中主要的氟康唑耐药机制。因此,本研究旨在利用自行设计的引物,采用传统的聚合酶链反应(PCR)方法,以假丝虫ERG11基因Y132F突变为靶点,检测假丝虫对氟康唑的耐药性。材料与方法:从2023年1 - 12月的念珠菌感染患者中采集念珠菌75株。所有念珠菌分离株均进行表型和基因型鉴定。采用聚合酶链反应-限制性片段长度多态性方法对假丝孢菌进行鉴定和鉴定。采用微量肉汤稀释法,按照美国临床与实验室标准协会指南(M27-A3)对氟康唑、伊曲康唑、伏立康唑和泊沙康唑进行抗真菌药敏试验,测定其最低抑菌浓度(MIC)值。利用自行设计的引物,建立了假丝酵母菌副酵母菌特异性PCR检测ERG11基因Y132F突变。结果:本研究75例念珠菌病患者(2023年1 - 12月)中,约24%念珠菌为假丝酵母菌所致。对氟康唑的耐药率为16.7%,MIC范围为32 ~ 64µg/ml。PCR方法成功鉴定出3株具有Y132F突变的耐氟康唑副枯草菌,从而证实了PCR结果。此外,通过DNA测序验证耐药和敏感分离株中是否存在Y132F突变,结果与我们的PCR检测结果一致。结论:所建立的PCR方法能在3 h内成功检测到Y132F突变株,该方法可用于念珠菌病患者中耐氟康唑副假丝胞菌分离株的早期检测,有助于提供早期抗真菌治疗,提高患者管理水平。
本文章由计算机程序翻译,如有差异,请以英文原文为准。
求助全文
约1分钟内获得全文 求助全文
来源期刊
Current Medical Mycology
Current Medical Mycology Medicine-Infectious Diseases
CiteScore
2.10
自引率
0.00%
发文量
16
审稿时长
4 weeks
×
引用
GB/T 7714-2015
复制
MLA
复制
APA
复制
导出至
BibTeX EndNote RefMan NoteFirst NoteExpress
×
提示
您的信息不完整,为了账户安全,请先补充。
现在去补充
×
提示
您因"违规操作"
具体请查看互助需知
我知道了
×
提示
确定
请完成安全验证×
copy
已复制链接
快去分享给好友吧!
我知道了
右上角分享
点击右上角分享
0
联系我们:info@booksci.cn Book学术提供免费学术资源搜索服务,方便国内外学者检索中英文文献。致力于提供最便捷和优质的服务体验。 Copyright © 2023 布克学术 All rights reserved.
京ICP备2023020795号-1
ghs 京公网安备 11010802042870号
Book学术文献互助
Book学术文献互助群
群 号:604180095
Book学术官方微信