A Case Study of Aberrant Aortic Origin of the Right Coronary Artery.

Discoveries (Craiova, Romania) Pub Date : 2024-03-31 eCollection Date: 2024-01-01 DOI:10.15190/d.2024.3
Jenab Hojefa Badodiyawala, Arpita Meher, Raju Shah, Bipin Chandra Aditya Dasari
{"title":"A Case Study of Aberrant Aortic Origin of the Right Coronary Artery.","authors":"Jenab Hojefa Badodiyawala, Arpita Meher, Raju Shah, Bipin Chandra Aditya Dasari","doi":"10.15190/d.2024.3","DOIUrl":null,"url":null,"abstract":"<p><p>This case report examines a rare cardiovascular abnormality, the Aberrant Aortic Origin of the Right Coronary Artery (AAORCA), in a 75-year-old patient with a history of myocardial infarction, acute renal injury, and cardiogenic shock. Rapid medical intervention, including coronary angioplasty, demonstrated the significance of prompt care. Chronic issues, including tobacco use and left ventricular dysfunction, complicated matters, emphasizing the importance of comprehensive long- term therapy. This study underscores the critical clinical significance of AAORCA (Anomalous aortic origin of the right coronary artery) following the SCARE 2023 reporting criteria. This abstract emphasizes the delicate relationship between congenital defects, chronic hazards, and proactive healthcare in complex cardiovascular situations.</p>","PeriodicalId":72829,"journal":{"name":"Discoveries (Craiova, Romania)","volume":"12 1","pages":"e184"},"PeriodicalIF":0.0000,"publicationDate":"2024-03-31","publicationTypes":"Journal Article","fieldsOfStudy":null,"isOpenAccess":false,"openAccessPdf":"https://www.ncbi.nlm.nih.gov/pmc/articles/PMC11682872/pdf/","citationCount":"0","resultStr":null,"platform":"Semanticscholar","paperid":null,"PeriodicalName":"Discoveries (Craiova, Romania)","FirstCategoryId":"1085","ListUrlMain":"https://doi.org/10.15190/d.2024.3","RegionNum":0,"RegionCategory":null,"ArticlePicture":[],"TitleCN":null,"AbstractTextCN":null,"PMCID":null,"EPubDate":"2024/1/1 0:00:00","PubModel":"eCollection","JCR":"","JCRName":"","Score":null,"Total":0}
引用次数: 0

Abstract

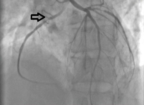
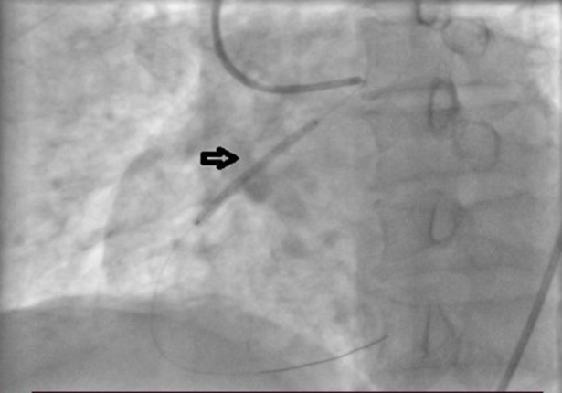
This case report examines a rare cardiovascular abnormality, the Aberrant Aortic Origin of the Right Coronary Artery (AAORCA), in a 75-year-old patient with a history of myocardial infarction, acute renal injury, and cardiogenic shock. Rapid medical intervention, including coronary angioplasty, demonstrated the significance of prompt care. Chronic issues, including tobacco use and left ventricular dysfunction, complicated matters, emphasizing the importance of comprehensive long- term therapy. This study underscores the critical clinical significance of AAORCA (Anomalous aortic origin of the right coronary artery) following the SCARE 2023 reporting criteria. This abstract emphasizes the delicate relationship between congenital defects, chronic hazards, and proactive healthcare in complex cardiovascular situations.

Abstract Image

Abstract Image

Abstract Image

右冠状动脉主动脉起源异常的病例研究。
本病例报告报告了一例罕见的心血管异常,右冠状动脉异常主动脉起源(AAORCA),患者年龄75岁,有心肌梗死、急性肾损伤和心源性休克病史。包括冠状动脉成形术在内的快速医疗干预证明了及时护理的重要性。慢性问题,包括吸烟和左心室功能障碍,复杂的问题,强调综合长期治疗的重要性。本研究强调了符合SCARE 2023报告标准的AAORCA(右冠状动脉异常起源)的关键临床意义。这摘要强调先天性缺陷,慢性危害,并在复杂的心血管情况下主动保健之间的微妙关系。
本文章由计算机程序翻译,如有差异,请以英文原文为准。
求助全文
约1分钟内获得全文 求助全文
来源期刊
自引率
0.00%
发文量
0
×
引用
GB/T 7714-2015
复制
MLA
复制
APA
复制
导出至
BibTeX EndNote RefMan NoteFirst NoteExpress
×
提示
您的信息不完整,为了账户安全,请先补充。
现在去补充
×
提示
您因"违规操作"
具体请查看互助需知
我知道了
×
提示
确定
请完成安全验证×
copy
已复制链接
快去分享给好友吧!
我知道了
右上角分享
点击右上角分享
0
联系我们:info@booksci.cn Book学术提供免费学术资源搜索服务,方便国内外学者检索中英文文献。致力于提供最便捷和优质的服务体验。 Copyright © 2023 布克学术 All rights reserved.
京ICP备2023020795号-1
ghs 京公网安备 11010802042870号
Book学术文献互助
Book学术文献互助群
群 号:604180095
Book学术官方微信