Liver laceration as a post-cardiopulmonary resuscitation complication in a person with breast implants: a case report.

IF 0.2
Journal of Trauma and Injury Pub Date : 2024-12-01 Epub Date: 2024-12-16 DOI:10.20408/jti.2024.0077
Min-Jeong Cho
{"title":"Liver laceration as a post-cardiopulmonary resuscitation complication in a person with breast implants: a case report.","authors":"Min-Jeong Cho","doi":"10.20408/jti.2024.0077","DOIUrl":null,"url":null,"abstract":"<p><p>Cardiac compression is the most crucial component of successful cardiopulmonary resuscitation (CPR). However, CPR procedure poses a risk of complications, even when CPR providers perform cardiac compressions as recommended. Reports indicate that solid organ injuries, including liver injuries, occur with an incidence of about 0.6% to 3%. In this particular case, a 25-year-old woman was found hanged in her apartment. She was transported to a nearby hospital where CPR was administered for approximately 30 minutes until she was resuscitated. Subsequently, an abdomen-pelvis computed tomography scan revealed a liver injury. The location of the liver injury, between the sternum and spine, suggested it was a compression injury caused by CPR. There was no evidence of extravasation or active bleeding; thus, conservative management was chosen for the liver injury. By hospital day 4, the patient's pupil reflex had completely disappeared. Electroencephalography showed generalized attenuation, indicating severe global brain damage. Liver injury is a relatively rare post-CPR complication, with an incidence of 0.6% according to a retrospective analysis of a cardiac arrest registry. The liver is partially situated between the sternum and spine. The end of the sternum is shaped like an inverted triangle, resembling a sword. Therefore, if the CPR provider's hands are placed too low or excessive pressure is applied, the sternum can injure the left liver. Blood loss from liver injuries could potentially hinder the successful resuscitation of patients. In this case, had there been no blood loss from the liver injury, the patient might have maintained better cerebral perfusion and function.</p>","PeriodicalId":52698,"journal":{"name":"Journal of Trauma and Injury","volume":"37 4","pages":"300-303"},"PeriodicalIF":0.2000,"publicationDate":"2024-12-01","publicationTypes":"Journal Article","fieldsOfStudy":null,"isOpenAccess":false,"openAccessPdf":"https://www.ncbi.nlm.nih.gov/pmc/articles/PMC11703693/pdf/","citationCount":"0","resultStr":null,"platform":"Semanticscholar","paperid":null,"PeriodicalName":"Journal of Trauma and Injury","FirstCategoryId":"1085","ListUrlMain":"https://doi.org/10.20408/jti.2024.0077","RegionNum":0,"RegionCategory":null,"ArticlePicture":[],"TitleCN":null,"AbstractTextCN":null,"PMCID":null,"EPubDate":"2024/12/16 0:00:00","PubModel":"Epub","JCR":"","JCRName":"","Score":null,"Total":0}
引用次数: 0

Abstract

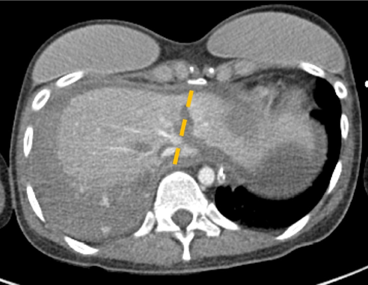
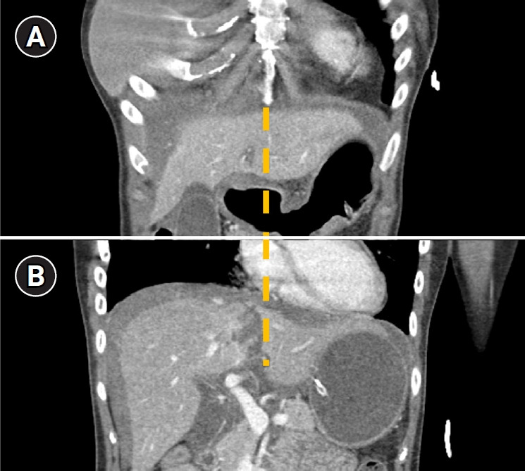
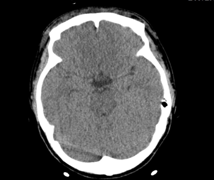
Cardiac compression is the most crucial component of successful cardiopulmonary resuscitation (CPR). However, CPR procedure poses a risk of complications, even when CPR providers perform cardiac compressions as recommended. Reports indicate that solid organ injuries, including liver injuries, occur with an incidence of about 0.6% to 3%. In this particular case, a 25-year-old woman was found hanged in her apartment. She was transported to a nearby hospital where CPR was administered for approximately 30 minutes until she was resuscitated. Subsequently, an abdomen-pelvis computed tomography scan revealed a liver injury. The location of the liver injury, between the sternum and spine, suggested it was a compression injury caused by CPR. There was no evidence of extravasation or active bleeding; thus, conservative management was chosen for the liver injury. By hospital day 4, the patient's pupil reflex had completely disappeared. Electroencephalography showed generalized attenuation, indicating severe global brain damage. Liver injury is a relatively rare post-CPR complication, with an incidence of 0.6% according to a retrospective analysis of a cardiac arrest registry. The liver is partially situated between the sternum and spine. The end of the sternum is shaped like an inverted triangle, resembling a sword. Therefore, if the CPR provider's hands are placed too low or excessive pressure is applied, the sternum can injure the left liver. Blood loss from liver injuries could potentially hinder the successful resuscitation of patients. In this case, had there been no blood loss from the liver injury, the patient might have maintained better cerebral perfusion and function.

Abstract Image

Abstract Image

Abstract Image

隆胸者心肺复苏后并发肝裂伤:病例报告。
心脏按压是成功的心肺复苏(CPR)最关键的组成部分。然而,即使心肺复苏术提供者按照建议进行心脏按压,心肺复苏术也有并发症的风险。报告显示,包括肝损伤在内的实体器官损伤发生率约为0.6%至3%。在这个特殊的案件中,一名25岁的女子被发现在她的公寓里上吊。她被送往附近的一家医院,在那里进行了大约30分钟的心肺复苏术,直到她苏醒过来。随后,腹部-骨盆计算机断层扫描显示肝脏损伤。肝脏损伤的位置,在胸骨和脊柱之间,表明这是心肺复苏术造成的压迫伤。没有外渗或活动性出血的证据;因此,对肝损伤选择保守治疗。到住院第4天,患者的瞳孔反射完全消失。脑电图显示全身性衰减,提示严重的全身性脑损伤。肝损伤是一种相对罕见的心肺复苏术后并发症,根据心脏骤停登记的回顾性分析,其发生率为0.6%。肝脏部分位于胸骨和脊柱之间。胸骨的末端形状像一个倒三角形,像一把剑。因此,如果CPR提供者的手放得太低或施加的压力过大,胸骨可能会损伤左肝。肝损伤导致的失血可能会阻碍患者的成功复苏。在本例中,如果没有肝损伤引起的失血,患者可能会保持较好的脑灌注和功能。
本文章由计算机程序翻译,如有差异,请以英文原文为准。
求助全文
约1分钟内获得全文 求助全文
来源期刊
自引率
0.00%
发文量
58
审稿时长
11 weeks
×
引用
GB/T 7714-2015
复制
MLA
复制
APA
复制
导出至
BibTeX EndNote RefMan NoteFirst NoteExpress
×
提示
您的信息不完整,为了账户安全,请先补充。
现在去补充
×
提示
您因"违规操作"
具体请查看互助需知
我知道了
×
提示
确定
请完成安全验证×
copy
已复制链接
快去分享给好友吧!
我知道了
右上角分享
点击右上角分享
0
联系我们:info@booksci.cn Book学术提供免费学术资源搜索服务,方便国内外学者检索中英文文献。致力于提供最便捷和优质的服务体验。 Copyright © 2023 布克学术 All rights reserved.
京ICP备2023020795号-1
ghs 京公网安备 11010802042870号
Book学术文献互助
Book学术文献互助群
群 号:604180095
Book学术官方微信