Overlap syndrome of Erdheim-Chester disease and Langerhans cell histiocytosis: A case report.

IF 3.1 4区 医学 Q2 PATHOLOGY
Cytojournal Pub Date : 2024-11-29 eCollection Date: 2024-01-01 DOI:10.25259/Cytojournal_174_2024
Yingying Ding, Shanshan Chen, Guinian Huang, Xiaojuan Guo
{"title":"Overlap syndrome of Erdheim-Chester disease and Langerhans cell histiocytosis: A case report.","authors":"Yingying Ding, Shanshan Chen, Guinian Huang, Xiaojuan Guo","doi":"10.25259/Cytojournal_174_2024","DOIUrl":null,"url":null,"abstract":"<p><p>Langerhans cell histiocytosis (LCH) and Erdheim-Chester disease (ECD) are exceptionally rare disorders characterized by varied clinical presentations, posing several challenges for clinicians. The concomitant occurrence of LCH and ECD is exceedingly rare and has no known etiology. In this report, we present a rare case of mixed histiocytosis (both ECD and LCH) with multisystem involvement. The patient, a 49-year-old female, initially presented with a rash 2 years ago and progressively developed exophthalmos, fatigue, and shortness of breath. She lacked the mutation in codon 600 of exon 15 of B-Raf proto-oncogene (BRAF-V600E) and subsequently underwent treatment with corticosteroids, interferon-alpha, and chemotherapy, all of which proved ineffective. This work highlights the urgent need to improve treatment outcomes for such patients. Therefore, we discuss the latest advancements in understanding treatment strategies for mixed histiocytic syndromes.</p>","PeriodicalId":49082,"journal":{"name":"Cytojournal","volume":"21 ","pages":"59"},"PeriodicalIF":3.1000,"publicationDate":"2024-11-29","publicationTypes":"Journal Article","fieldsOfStudy":null,"isOpenAccess":false,"openAccessPdf":"https://www.ncbi.nlm.nih.gov/pmc/articles/PMC11683406/pdf/","citationCount":"0","resultStr":null,"platform":"Semanticscholar","paperid":null,"PeriodicalName":"Cytojournal","FirstCategoryId":"3","ListUrlMain":"https://doi.org/10.25259/Cytojournal_174_2024","RegionNum":4,"RegionCategory":"医学","ArticlePicture":[],"TitleCN":null,"AbstractTextCN":null,"PMCID":null,"EPubDate":"2024/1/1 0:00:00","PubModel":"eCollection","JCR":"Q2","JCRName":"PATHOLOGY","Score":null,"Total":0}
引用次数: 0

Abstract

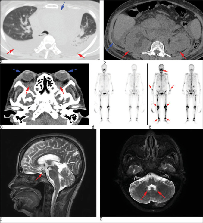
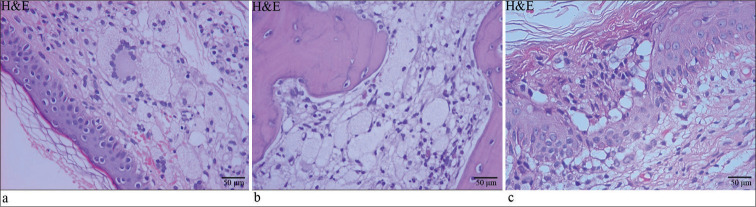
Langerhans cell histiocytosis (LCH) and Erdheim-Chester disease (ECD) are exceptionally rare disorders characterized by varied clinical presentations, posing several challenges for clinicians. The concomitant occurrence of LCH and ECD is exceedingly rare and has no known etiology. In this report, we present a rare case of mixed histiocytosis (both ECD and LCH) with multisystem involvement. The patient, a 49-year-old female, initially presented with a rash 2 years ago and progressively developed exophthalmos, fatigue, and shortness of breath. She lacked the mutation in codon 600 of exon 15 of B-Raf proto-oncogene (BRAF-V600E) and subsequently underwent treatment with corticosteroids, interferon-alpha, and chemotherapy, all of which proved ineffective. This work highlights the urgent need to improve treatment outcomes for such patients. Therefore, we discuss the latest advancements in understanding treatment strategies for mixed histiocytic syndromes.

Abstract Image

Abstract Image

Abstract Image

埃尔德海姆-切斯特病和朗格汉斯细胞组织细胞增多症重叠综合征1例。
朗格汉斯细胞组织细胞增多症(LCH)和埃尔德海姆-切斯特病(ECD)是非常罕见的疾病,其临床表现各不相同,给临床医生带来了一些挑战。LCH和ECD同时发生是非常罕见的,没有已知的病因。在本报告中,我们报告了一例罕见的混合性组织细胞增多症(ECD和LCH)与多系统累及。患者为49岁女性,最初于2年前出现皮疹,并逐渐发展为眼球突出、疲劳和呼吸短促。她缺乏B-Raf原癌基因(BRAF-V600E)第15外显子600密码子突变,随后接受了皮质类固醇、α干扰素和化疗治疗,但均无效。这项工作强调了改善这类患者治疗结果的迫切需要。因此,我们讨论了了解混合组织细胞综合征治疗策略的最新进展。
本文章由计算机程序翻译,如有差异,请以英文原文为准。
求助全文
约1分钟内获得全文 求助全文
来源期刊
Cytojournal
Cytojournal PATHOLOGY-
CiteScore
2.20
自引率
42.10%
发文量
56
审稿时长
>12 weeks
期刊介绍: The CytoJournal is an open-access peer-reviewed journal committed to publishing high-quality articles in the field of Diagnostic Cytopathology including Molecular aspects. The journal is owned by the Cytopathology Foundation and published by the Scientific Scholar.
×
引用
GB/T 7714-2015
复制
MLA
复制
APA
复制
导出至
BibTeX EndNote RefMan NoteFirst NoteExpress
×
提示
您的信息不完整,为了账户安全,请先补充。
现在去补充
×
提示
您因"违规操作"
具体请查看互助需知
我知道了
×
提示
确定
请完成安全验证×
copy
已复制链接
快去分享给好友吧!
我知道了
右上角分享
点击右上角分享
0
联系我们:info@booksci.cn Book学术提供免费学术资源搜索服务,方便国内外学者检索中英文文献。致力于提供最便捷和优质的服务体验。 Copyright © 2023 布克学术 All rights reserved.
京ICP备2023020795号-1
ghs 京公网安备 11010802042870号
Book学术文献互助
Book学术文献互助群
群 号:604180095
Book学术官方微信