Lung Cyst Hydatid Extracted via Bronchoscopy and the Necessity of Surgery: A Case Report.

IF 0.9 4区 医学 Q4 PARASITOLOGY
Oguz Karcioglu, Ayşen Kara, Olcay Kurtulan, Serkan Uysal, Ziya Toros Selçuk
{"title":"Lung Cyst Hydatid Extracted via Bronchoscopy and the Necessity of Surgery: A Case Report.","authors":"Oguz Karcioglu, Ayşen Kara, Olcay Kurtulan, Serkan Uysal, Ziya Toros Selçuk","doi":"10.18502/ijpa.v19i4.17170","DOIUrl":null,"url":null,"abstract":"<p><p><i>Echinococcus granulosus</i> remains a global public health issue. Although predominantly affecting the liver, the lungs are the second most affected organ and often undergo surgical intervention. Here, a case managed by bronchoscopy and medical therapy is presented. A 26-year-old woman was presented with a cough, hemoptysis, and a 5 kg weight loss in the last two months. Chest imaging identified a 4 cm centrally cystic mass lesion in the middle lobe of the right lung, which was suspicious of lung cancer. Bronchoscopy revealed a whitish, plastic-like object that was difficult to extricate and obstructed the middle lobe bronchus. We removed the material and purulent secretions covering it and opened the middle lobe bronchus totally. The histopathological study verified its consistency with hydatid cyst. There was no evidence of a hydatid cyst on computerized thomography after bronchoscopy. The lesion in the left lobe of the liver, confirmed to be suggestive of a hydatid cyst via ultrasonography, was treated using the PAIR technique. We administered oral albendazole to continue the treatment. It may be a reasonable approach to postpone surgery in order to preserve lung tissue in patients who have undergone complete removal of hydatid cyst material via bronchoscope.</p>","PeriodicalId":14669,"journal":{"name":"Iranian Journal of Parasitology","volume":"19 4","pages":"484-488"},"PeriodicalIF":0.9000,"publicationDate":"2024-10-01","publicationTypes":"Journal Article","fieldsOfStudy":null,"isOpenAccess":false,"openAccessPdf":"https://www.ncbi.nlm.nih.gov/pmc/articles/PMC11671833/pdf/","citationCount":"0","resultStr":null,"platform":"Semanticscholar","paperid":null,"PeriodicalName":"Iranian Journal of Parasitology","FirstCategoryId":"3","ListUrlMain":"https://doi.org/10.18502/ijpa.v19i4.17170","RegionNum":4,"RegionCategory":"医学","ArticlePicture":[],"TitleCN":null,"AbstractTextCN":null,"PMCID":null,"EPubDate":"","PubModel":"","JCR":"Q4","JCRName":"PARASITOLOGY","Score":null,"Total":0}
引用次数: 0

Abstract

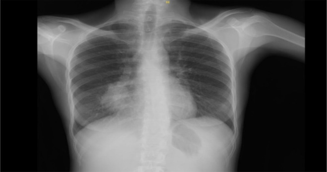
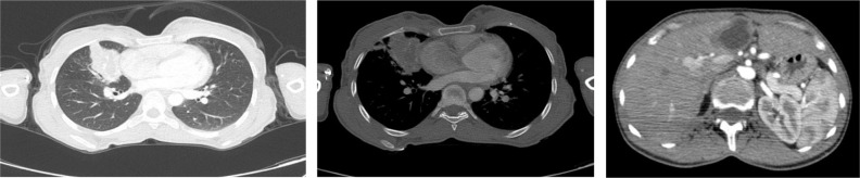
Echinococcus granulosus remains a global public health issue. Although predominantly affecting the liver, the lungs are the second most affected organ and often undergo surgical intervention. Here, a case managed by bronchoscopy and medical therapy is presented. A 26-year-old woman was presented with a cough, hemoptysis, and a 5 kg weight loss in the last two months. Chest imaging identified a 4 cm centrally cystic mass lesion in the middle lobe of the right lung, which was suspicious of lung cancer. Bronchoscopy revealed a whitish, plastic-like object that was difficult to extricate and obstructed the middle lobe bronchus. We removed the material and purulent secretions covering it and opened the middle lobe bronchus totally. The histopathological study verified its consistency with hydatid cyst. There was no evidence of a hydatid cyst on computerized thomography after bronchoscopy. The lesion in the left lobe of the liver, confirmed to be suggestive of a hydatid cyst via ultrasonography, was treated using the PAIR technique. We administered oral albendazole to continue the treatment. It may be a reasonable approach to postpone surgery in order to preserve lung tissue in patients who have undergone complete removal of hydatid cyst material via bronchoscope.

Abstract Image

Abstract Image

Abstract Image

支气管镜下肺包虫囊提取术及手术必要性1例。
细粒棘球绦虫仍然是一个全球性的公共卫生问题。虽然主要影响肝脏,但肺部是第二个最受影响的器官,通常需要手术干预。在这里,一个病例管理的支气管镜和药物治疗提出。一名26岁女性在过去两个月内出现咳嗽、咯血和体重减轻5公斤。胸部影像学示右肺中叶一4cm中央囊性肿块,怀疑肺癌。支气管镜检查发现难以取出的白色塑料样物体,阻塞了支气管中叶。我们切除了覆盖它的物质和化脓性分泌物,并完全打开了中间支气管。组织病理学检查证实其与包虫囊肿一致。支气管镜检查后计算机断层扫描未发现包虫囊肿。肝左叶病变经超声检查证实为包虫囊肿,采用PAIR技术治疗。我们给予口服阿苯达唑继续治疗。对于经支气管镜完全切除包虫囊肿的患者,推迟手术以保存肺组织可能是一种合理的方法。
本文章由计算机程序翻译,如有差异,请以英文原文为准。
求助全文
约1分钟内获得全文 求助全文
来源期刊
CiteScore
1.80
自引率
0.00%
发文量
55
审稿时长
6-12 weeks
期刊介绍: Iranian Journal of Parasitology (IJP) is the official publication of Iranian Society of Parasitology (ISP) launched in 2006. The society was inaugurated in 1994 and pursues the improvement of the knowledge on the parasites and parasitic diseases, exchange of scientific knowledge with foreign societies, publicity activities, and consultation on the parasitic diseases, and intimate relationship among society members. The main aims of the Journal are: contribution to the field of Parasitology, including all aspects of parasites and parasitic diseases (medical and veterinary) and related fields such as Entomology which may be submitted by scientists from Iran and all over the world.
×
引用
GB/T 7714-2015
复制
MLA
复制
APA
复制
导出至
BibTeX EndNote RefMan NoteFirst NoteExpress
×
提示
您的信息不完整,为了账户安全,请先补充。
现在去补充
×
提示
您因"违规操作"
具体请查看互助需知
我知道了
×
提示
确定
请完成安全验证×
copy
已复制链接
快去分享给好友吧!
我知道了
右上角分享
点击右上角分享
0
联系我们:info@booksci.cn Book学术提供免费学术资源搜索服务,方便国内外学者检索中英文文献。致力于提供最便捷和优质的服务体验。 Copyright © 2023 布克学术 All rights reserved.
京ICP备2023020795号-1
ghs 京公网安备 11010802042870号
Book学术文献互助
Book学术文献互助群
群 号:604180095
Book学术官方微信