A Long Way From Home: A Rare Case of Cutaneous Metastasis to the Scalp of Hepatocellular Carcinoma.

Q3 Medicine
Case Reports in Dermatological Medicine Pub Date : 2024-12-20 eCollection Date: 2024-01-01 DOI:10.1155/crdm/9965758
Evan Eggiman, Paarth Dodia, Jesse Dewey, Melissa Munoz-Bishop, Matthew Overton
{"title":"A Long Way From Home: A Rare Case of Cutaneous Metastasis to the Scalp of Hepatocellular Carcinoma.","authors":"Evan Eggiman, Paarth Dodia, Jesse Dewey, Melissa Munoz-Bishop, Matthew Overton","doi":"10.1155/crdm/9965758","DOIUrl":null,"url":null,"abstract":"<p><p><b>Introduction:</b> Cutaneous metastases of hepatocellular carcinoma (HCC) are uncommon but important to recognize for timely diagnosis and management. <b>Case Presentation(s):</b> We present a case of a 70-year-old man with a history of HCC who developed a painless nodule on the scalp. Histopathological examination and immunohistochemistry confirmed the nodule as cutaneous metastasis of HCC. The patient had previously undergone transarterial chemoembolization and surgery for HCC, with no evidence of disease for a period before presenting with the cutaneous lesion. <b>Conclusion:</b> Cutaneous metastasis of HCC is rare but signifies advanced disease. This case underscores the importance of considering cutaneous manifestations in patients with a history of HCC and highlights the need for routine follow-up and early intervention to improve patient outcomes.</p>","PeriodicalId":9630,"journal":{"name":"Case Reports in Dermatological Medicine","volume":"2024 ","pages":"9965758"},"PeriodicalIF":0.0000,"publicationDate":"2024-12-20","publicationTypes":"Journal Article","fieldsOfStudy":null,"isOpenAccess":false,"openAccessPdf":"https://www.ncbi.nlm.nih.gov/pmc/articles/PMC11679269/pdf/","citationCount":"0","resultStr":null,"platform":"Semanticscholar","paperid":null,"PeriodicalName":"Case Reports in Dermatological Medicine","FirstCategoryId":"1085","ListUrlMain":"https://doi.org/10.1155/crdm/9965758","RegionNum":0,"RegionCategory":null,"ArticlePicture":[],"TitleCN":null,"AbstractTextCN":null,"PMCID":null,"EPubDate":"2024/1/1 0:00:00","PubModel":"eCollection","JCR":"Q3","JCRName":"Medicine","Score":null,"Total":0}
引用次数: 0

Abstract

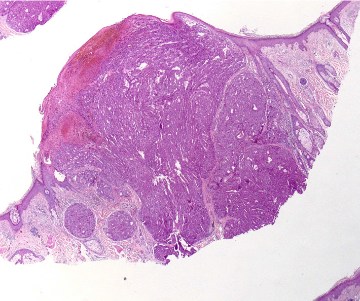
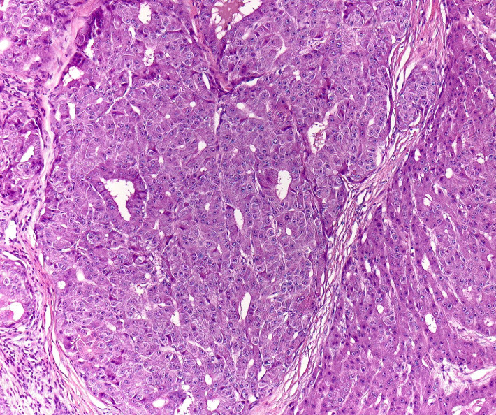
Introduction: Cutaneous metastases of hepatocellular carcinoma (HCC) are uncommon but important to recognize for timely diagnosis and management. Case Presentation(s): We present a case of a 70-year-old man with a history of HCC who developed a painless nodule on the scalp. Histopathological examination and immunohistochemistry confirmed the nodule as cutaneous metastasis of HCC. The patient had previously undergone transarterial chemoembolization and surgery for HCC, with no evidence of disease for a period before presenting with the cutaneous lesion. Conclusion: Cutaneous metastasis of HCC is rare but signifies advanced disease. This case underscores the importance of considering cutaneous manifestations in patients with a history of HCC and highlights the need for routine follow-up and early intervention to improve patient outcomes.

Abstract Image

Abstract Image

Abstract Image

离家很远:一例罕见的肝细胞癌皮肤转移到头皮。
肝细胞癌(HCC)的皮肤转移并不常见,但对及时诊断和治疗很重要。病例介绍:我们报告了一位70岁的有HCC病史的男性,他在头皮上出现了一个无痛结节。组织病理学检查及免疫组化证实结节为肝细胞癌皮肤转移灶。该患者先前接受过经动脉化疗栓塞和肝细胞癌手术,在出现皮肤病变之前一段时间内没有疾病迹象。结论:肝细胞癌的皮肤转移是罕见的,但意味着疾病的晚期。本病例强调了考虑有HCC病史的患者皮肤表现的重要性,并强调了常规随访和早期干预以改善患者预后的必要性。
本文章由计算机程序翻译,如有差异,请以英文原文为准。
求助全文
约1分钟内获得全文 求助全文
来源期刊
CiteScore
1.50
自引率
0.00%
发文量
24
审稿时长
15 weeks
×
引用
GB/T 7714-2015
复制
MLA
复制
APA
复制
导出至
BibTeX EndNote RefMan NoteFirst NoteExpress
×
提示
您的信息不完整,为了账户安全,请先补充。
现在去补充
×
提示
您因"违规操作"
具体请查看互助需知
我知道了
×
提示
确定
请完成安全验证×
copy
已复制链接
快去分享给好友吧!
我知道了
右上角分享
点击右上角分享
0
联系我们:info@booksci.cn Book学术提供免费学术资源搜索服务,方便国内外学者检索中英文文献。致力于提供最便捷和优质的服务体验。 Copyright © 2023 布克学术 All rights reserved.
京ICP备2023020795号-1
ghs 京公网安备 11010802042870号
Book学术文献互助
Book学术文献互助群
群 号:604180095
Book学术官方微信