Severe Ectopic Adrenocorticotropic Hormone Syndrome Due to Pulmonary Carcinoid Tumor: A Case Report and Literature Review

IF 1.2 Q3 Medicine
Karissa Aldrete MD , Leena Shahla MD
{"title":"Severe Ectopic Adrenocorticotropic Hormone Syndrome Due to Pulmonary Carcinoid Tumor: A Case Report and Literature Review","authors":"Karissa Aldrete MD ,&nbsp;Leena Shahla MD","doi":"10.1016/j.aace.2024.08.002","DOIUrl":null,"url":null,"abstract":"<div><h3>Background/Objective</h3><div>Pulmonary carcinoid tumors are a rare cause of Cushing’s syndrome and usually present with an indolent course. Here, we present a case of rapid onset and severe Cushing’s syndrome due to a typical pulmonary carcinoid tumor.</div></div><div><h3>Case Report</h3><div>A 32-year-old woman developed diabetes, hypertension, and weight gain of 50 pounds over 3 months. Laboratory evaluation was significant for elevated cortisol and adrenocorticotropic hormone levels and levels were nonsuppressible on low and high-dose dexamethasone suppression tests. Chest computed tomography revealed a pulmonary nodule and biopsy showed a typical carcinoid tumor. She was treated with steroidogenesis inhibitors with a plan for surgical excision but developed worsening complications of hypercortisolemia. She eventually underwent cryoablation of the tumor, but unfortunately passed away just 6 months after her initial presentation.</div></div><div><h3>Discussion</h3><div>Cushing’s syndrome in typical pulmonary carcinoid tumors is rarely seen and usually presents with mild hypercortisolism similar to Cushing’s disease. Severe hypercortisolemia from typical pulmonary carcinoid tumors can represent a more aggressive pathology or metastatic disease. Severe Cushing’s syndrome is associated with significant morbidity and mortality and requires rapid tumor localization as surgical resection can be curative.</div></div><div><h3>Conclusion</h3><div>This case highlights a rare presentation of severe Cushing’s syndrome due to a typical pulmonary carcinoid.</div></div>","PeriodicalId":7051,"journal":{"name":"AACE Clinical Case Reports","volume":"10 6","pages":"Pages 232-235"},"PeriodicalIF":1.2000,"publicationDate":"2024-11-01","publicationTypes":"Journal Article","fieldsOfStudy":null,"isOpenAccess":false,"openAccessPdf":"https://www.ncbi.nlm.nih.gov/pmc/articles/PMC11680749/pdf/","citationCount":"0","resultStr":null,"platform":"Semanticscholar","paperid":null,"PeriodicalName":"AACE Clinical Case Reports","FirstCategoryId":"1085","ListUrlMain":"https://www.sciencedirect.com/science/article/pii/S2376060524000798","RegionNum":0,"RegionCategory":null,"ArticlePicture":[],"TitleCN":null,"AbstractTextCN":null,"PMCID":null,"EPubDate":"","PubModel":"","JCR":"Q3","JCRName":"Medicine","Score":null,"Total":0}
引用次数: 0

Abstract

Background/Objective

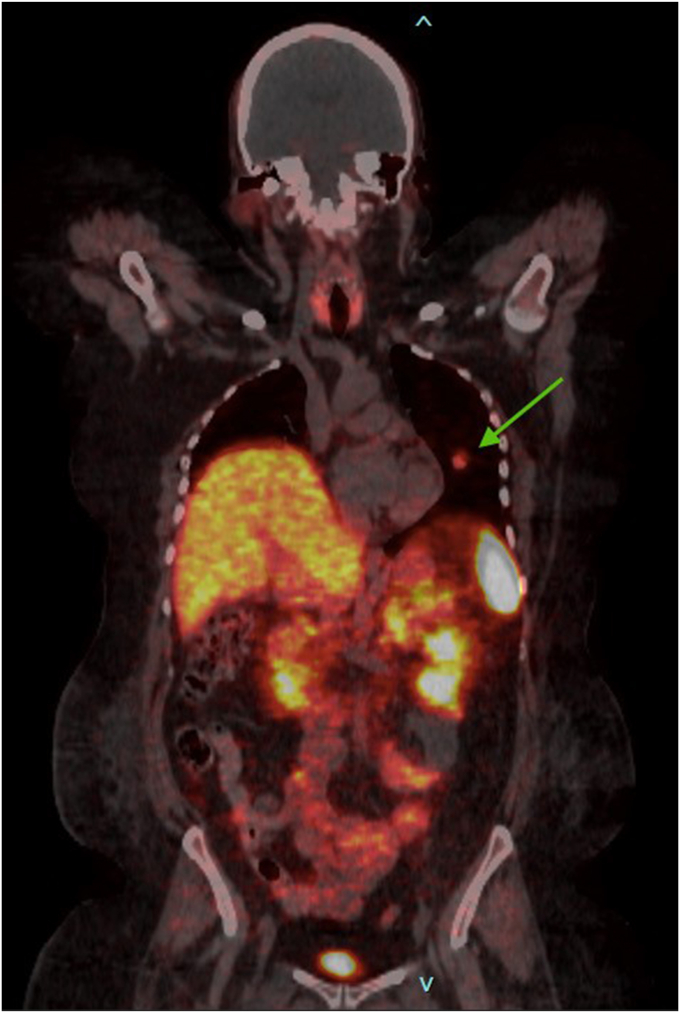
Pulmonary carcinoid tumors are a rare cause of Cushing’s syndrome and usually present with an indolent course. Here, we present a case of rapid onset and severe Cushing’s syndrome due to a typical pulmonary carcinoid tumor.

Case Report

A 32-year-old woman developed diabetes, hypertension, and weight gain of 50 pounds over 3 months. Laboratory evaluation was significant for elevated cortisol and adrenocorticotropic hormone levels and levels were nonsuppressible on low and high-dose dexamethasone suppression tests. Chest computed tomography revealed a pulmonary nodule and biopsy showed a typical carcinoid tumor. She was treated with steroidogenesis inhibitors with a plan for surgical excision but developed worsening complications of hypercortisolemia. She eventually underwent cryoablation of the tumor, but unfortunately passed away just 6 months after her initial presentation.

Discussion

Cushing’s syndrome in typical pulmonary carcinoid tumors is rarely seen and usually presents with mild hypercortisolism similar to Cushing’s disease. Severe hypercortisolemia from typical pulmonary carcinoid tumors can represent a more aggressive pathology or metastatic disease. Severe Cushing’s syndrome is associated with significant morbidity and mortality and requires rapid tumor localization as surgical resection can be curative.

Conclusion

This case highlights a rare presentation of severe Cushing’s syndrome due to a typical pulmonary carcinoid.

Abstract Image

Abstract Image

Abstract Image

肺类癌所致严重异位促肾上腺皮质激素综合征1例并文献复习。
背景/目的:肺类癌是引起库欣综合征的罕见原因,通常表现为惰性病程。在此,我们报告一例由典型的肺类癌肿瘤引起的快速发作和严重的库欣综合征。病例报告:一名32岁女性患有糖尿病、高血压,3个月内体重增加50磅。实验室评估显示皮质醇和促肾上腺皮质激素水平升高,低剂量和高剂量地塞米松抑制试验水平不受抑制。胸部电脑断层显示一肺结节,活组织检查显示典型的类癌。她接受类固醇生成抑制剂治疗,并计划手术切除,但高皮质醇血症并发症恶化。她最终接受了肿瘤的冷冻消融,但不幸的是,在她最初的表现后仅6个月就去世了。讨论:库欣综合征在典型的肺类癌肿瘤中罕见,通常表现为与库欣病相似的轻度高皮质醇血症。典型肺类癌引起的严重高糖血症可能是一种更具侵袭性的病理或转移性疾病。严重的库欣综合征具有显著的发病率和死亡率,需要快速定位肿瘤,因为手术切除可以治愈。结论:本病例是一例罕见的由典型的肺类癌引起的严重库欣综合征。
本文章由计算机程序翻译,如有差异,请以英文原文为准。
求助全文
约1分钟内获得全文 求助全文
来源期刊
AACE Clinical Case Reports
AACE Clinical Case Reports Medicine-Endocrinology, Diabetes and Metabolism
CiteScore
2.30
自引率
0.00%
发文量
61
审稿时长
55 days
×
引用
GB/T 7714-2015
复制
MLA
复制
APA
复制
导出至
BibTeX EndNote RefMan NoteFirst NoteExpress
×
提示
您的信息不完整,为了账户安全,请先补充。
现在去补充
×
提示
您因"违规操作"
具体请查看互助需知
我知道了
×
提示
确定
请完成安全验证×
copy
已复制链接
快去分享给好友吧!
我知道了
右上角分享
点击右上角分享
0
联系我们:info@booksci.cn Book学术提供免费学术资源搜索服务,方便国内外学者检索中英文文献。致力于提供最便捷和优质的服务体验。 Copyright © 2023 布克学术 All rights reserved.
京ICP备2023020795号-1
ghs 京公网安备 11010802042870号
Book学术文献互助
Book学术文献互助群
群 号:604180095
Book学术官方微信