TANGO2-related rhabdomyolysis symptoms are associated with abnormal autophagy functioning.

Autophagy reports Pub Date : 2024-02-01 eCollection Date: 2024-12-31 DOI:10.1080/27694127.2024.2306766
Hortense de Calbiac, Sebastian Montealegre, Marjolène Straube, Solène Renault, Hugo Debruge, Loïc Chentout, Sorana Ciura, Apolline Imbard, Edouard Le Guillou, Anca Marian, Nicolas Goudin, Laure Caccavelli, Sylvie Fabrega, Arnaud Hubas, Peter van Endert, Nicolas Dupont, Julien Diana, Edor Kabashi, Pascale de Lonlay
{"title":"TANGO2-related rhabdomyolysis symptoms are associated with abnormal autophagy functioning.","authors":"Hortense de Calbiac, Sebastian Montealegre, Marjolène Straube, Solène Renault, Hugo Debruge, Loïc Chentout, Sorana Ciura, Apolline Imbard, Edouard Le Guillou, Anca Marian, Nicolas Goudin, Laure Caccavelli, Sylvie Fabrega, Arnaud Hubas, Peter van Endert, Nicolas Dupont, Julien Diana, Edor Kabashi, Pascale de Lonlay","doi":"10.1080/27694127.2024.2306766","DOIUrl":null,"url":null,"abstract":"<p><p>Patients with pathogenic variants in the <i>TANGO2</i> gene suffer from severe and recurrent rhabdomyolysis episodes precipitated by fasting. Autophagy functioning was analyzed <i>in vitro</i>, in primary skeletal myoblasts from TANGO2 patients, in basal and fasting conditions, and <i>TANGO2</i> mutations were associated with reduced LC3-II levels upon starvation. In zebrafish larvae, <i>tango2</i> inhibition induced locomotor defects which were exacerbated by exposure to atorvastatin, a compound known to cause rhabdomyolysis. Importantly, rhabdomyolysis features of <i>tango2</i> knockdown were associated with autophagy and mitophagy defects in zebrafish. Calpeptin treatment was sufficient to rescue the locomotor properties thanks to its beneficial effect on autophagy functioning in zebrafish and to improve LC3-II levels in starved primary muscle cells of TANGO2 patients. Overall, we demonstrated that TANGO2 plays an important role in autophagy thus giving rise to new therapeutic perspectives in the prevention of RM life-threatening episodes.</p>","PeriodicalId":72341,"journal":{"name":"Autophagy reports","volume":"3 1","pages":""},"PeriodicalIF":0.0000,"publicationDate":"2024-02-01","publicationTypes":"Journal Article","fieldsOfStudy":null,"isOpenAccess":false,"openAccessPdf":"https://www.ncbi.nlm.nih.gov/pmc/articles/PMC7617261/pdf/","citationCount":"0","resultStr":null,"platform":"Semanticscholar","paperid":null,"PeriodicalName":"Autophagy reports","FirstCategoryId":"1085","ListUrlMain":"https://doi.org/10.1080/27694127.2024.2306766","RegionNum":0,"RegionCategory":null,"ArticlePicture":[],"TitleCN":null,"AbstractTextCN":null,"PMCID":null,"EPubDate":"2024/12/31 0:00:00","PubModel":"eCollection","JCR":"","JCRName":"","Score":null,"Total":0}
引用次数: 0

Abstract

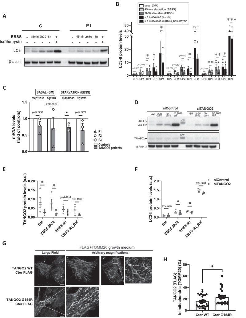
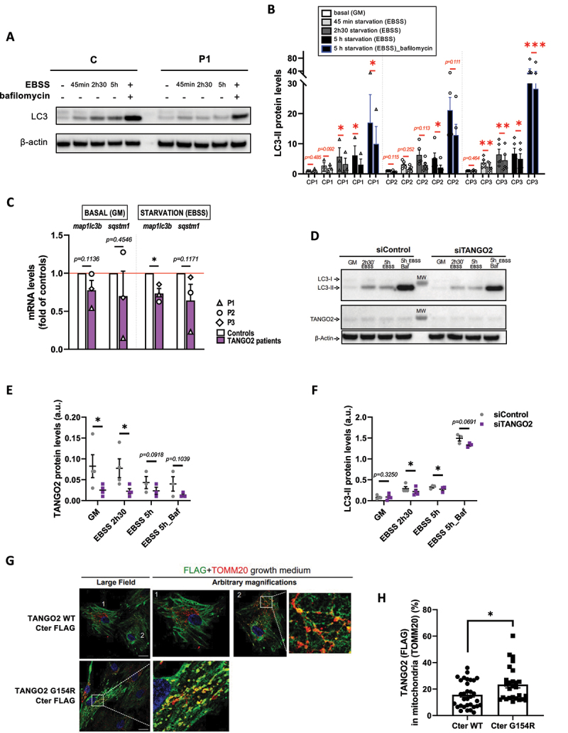
Patients with pathogenic variants in the TANGO2 gene suffer from severe and recurrent rhabdomyolysis episodes precipitated by fasting. Autophagy functioning was analyzed in vitro, in primary skeletal myoblasts from TANGO2 patients, in basal and fasting conditions, and TANGO2 mutations were associated with reduced LC3-II levels upon starvation. In zebrafish larvae, tango2 inhibition induced locomotor defects which were exacerbated by exposure to atorvastatin, a compound known to cause rhabdomyolysis. Importantly, rhabdomyolysis features of tango2 knockdown were associated with autophagy and mitophagy defects in zebrafish. Calpeptin treatment was sufficient to rescue the locomotor properties thanks to its beneficial effect on autophagy functioning in zebrafish and to improve LC3-II levels in starved primary muscle cells of TANGO2 patients. Overall, we demonstrated that TANGO2 plays an important role in autophagy thus giving rise to new therapeutic perspectives in the prevention of RM life-threatening episodes.

Abstract Image

Abstract Image

Abstract Image

tango2相关的横纹肌溶解症状与自噬功能异常有关。
携带致病性TANGO2基因变异的患者会因禁食引起严重的反复发作的横纹肌溶解。体外自噬功能分析,在基础和禁食条件下,TANGO2患者的原发性骨骼肌母细胞,TANGO2突变与饥饿时LC3-II水平降低有关。在斑马鱼幼虫中,tango2抑制诱导运动缺陷,暴露于阿托伐他汀(一种已知会导致横纹肌溶解的化合物)会加剧运动缺陷。重要的是,tango2敲低的横纹肌溶解特征与斑马鱼的自噬和有丝自噬缺陷有关。由于Calpeptin对斑马鱼自噬功能的有益作用,Calpeptin治疗足以恢复运动特性,并改善TANGO2患者饥饿原代肌细胞中的LC3-II水平。总之,我们证明了TANGO2在自噬中起重要作用,从而在预防危及生命的RM发作方面产生了新的治疗前景。
本文章由计算机程序翻译,如有差异,请以英文原文为准。
求助全文
约1分钟内获得全文 求助全文
来源期刊
自引率
0.00%
发文量
0
×
引用
GB/T 7714-2015
复制
MLA
复制
APA
复制
导出至
BibTeX EndNote RefMan NoteFirst NoteExpress
×
提示
您的信息不完整,为了账户安全,请先补充。
现在去补充
×
提示
您因"违规操作"
具体请查看互助需知
我知道了
×
提示
确定
请完成安全验证×
copy
已复制链接
快去分享给好友吧!
我知道了
右上角分享
点击右上角分享
0
联系我们:info@booksci.cn Book学术提供免费学术资源搜索服务,方便国内外学者检索中英文文献。致力于提供最便捷和优质的服务体验。 Copyright © 2023 布克学术 All rights reserved.
京ICP备2023020795号-1
ghs 京公网安备 11010802042870号
Book学术文献互助
Book学术文献互助群
群 号:604180095
Book学术官方微信