"Chasing Rainbows" Beyond Kaposi Sarcoma's Dermoscopy: A Mini-Review.

IF 1.7 Q3 DERMATOLOGY
Emmanouil Karampinis, Olga Toli, Georgia Pappa, Anna Vardiampasi, Melpomeni Theofili, Efterpi Zafiriou, Mattheos Bobos, Aimilios Lallas, Elizabeth Lazaridou, Biswanath Behera, Zoe Apalla
{"title":"\"Chasing Rainbows\" Beyond Kaposi Sarcoma's Dermoscopy: A Mini-Review.","authors":"Emmanouil Karampinis, Olga Toli, Georgia Pappa, Anna Vardiampasi, Melpomeni Theofili, Efterpi Zafiriou, Mattheos Bobos, Aimilios Lallas, Elizabeth Lazaridou, Biswanath Behera, Zoe Apalla","doi":"10.3390/dermatopathology11040035","DOIUrl":null,"url":null,"abstract":"<p><p>The dermoscopic rainbow pattern (RP), also known as polychromatic pattern, is characterized by a multicolored appearance, resulting from the dispersion of polarized light as it penetrates various tissue components. Its separation into different wavelengths occurs according to the physics principles of scattering, absorption, and interference of light, creating the optical effect of RP. Even though the RP is regarded as a highly specific dermoscopic indicator of Kaposi's sarcoma, in the medical literature, it has also been documented as an atypical dermoscopic finding of other non-Kaposi skin entities. We aim to present two distinct cases-a pigmented basal cell carcinoma (pBCC) and an aneurysmatic dermatofibroma-that exhibited RP in dermoscopy and to conduct a thorough review of skin conditions that display RP, revealing any predisposing factors that could increase the likelihood of its occurrence in certain lesions. We identified 33 case reports and large-scale studies with diverse entities characterized by the presence of RP, including skin cancers (Merkel cell carcinoma, BCC, melanoma, etc.), adnexal tumors, special types of nevi (blue, deep penetrating), vascular lesions (acroangiodermatitis, strawberry angioma, angiokeratoma, aneurismatic dermatofibromas, etc.), granulation tissue, hypertrophic scars and fibrous lesions, skin infections (sporotrichosis and cutaneous leishmaniasis), and inflammatory dermatoses (lichen simplex and stasis dermatitis). According to our results, the majority of the lesions exhibiting the RP were located on the extremities. Identified precipitating factors included the nodular shape, lesion composition and vascularization, skin pigmentation, and lesions' depth and thickness. These parameters lead to increased scattering and interference of light, producing a spectrum of colors that resemble a rainbow.</p>","PeriodicalId":42885,"journal":{"name":"Dermatopathology","volume":"11 4","pages":"333-341"},"PeriodicalIF":1.7000,"publicationDate":"2024-11-25","publicationTypes":"Journal Article","fieldsOfStudy":null,"isOpenAccess":false,"openAccessPdf":"https://www.ncbi.nlm.nih.gov/pmc/articles/PMC11674653/pdf/","citationCount":"0","resultStr":null,"platform":"Semanticscholar","paperid":null,"PeriodicalName":"Dermatopathology","FirstCategoryId":"1085","ListUrlMain":"https://doi.org/10.3390/dermatopathology11040035","RegionNum":0,"RegionCategory":null,"ArticlePicture":[],"TitleCN":null,"AbstractTextCN":null,"PMCID":null,"EPubDate":"","PubModel":"","JCR":"Q3","JCRName":"DERMATOLOGY","Score":null,"Total":0}
引用次数: 0

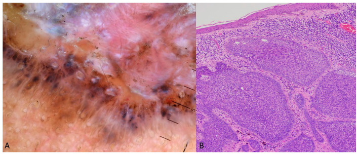
Abstract

The dermoscopic rainbow pattern (RP), also known as polychromatic pattern, is characterized by a multicolored appearance, resulting from the dispersion of polarized light as it penetrates various tissue components. Its separation into different wavelengths occurs according to the physics principles of scattering, absorption, and interference of light, creating the optical effect of RP. Even though the RP is regarded as a highly specific dermoscopic indicator of Kaposi's sarcoma, in the medical literature, it has also been documented as an atypical dermoscopic finding of other non-Kaposi skin entities. We aim to present two distinct cases-a pigmented basal cell carcinoma (pBCC) and an aneurysmatic dermatofibroma-that exhibited RP in dermoscopy and to conduct a thorough review of skin conditions that display RP, revealing any predisposing factors that could increase the likelihood of its occurrence in certain lesions. We identified 33 case reports and large-scale studies with diverse entities characterized by the presence of RP, including skin cancers (Merkel cell carcinoma, BCC, melanoma, etc.), adnexal tumors, special types of nevi (blue, deep penetrating), vascular lesions (acroangiodermatitis, strawberry angioma, angiokeratoma, aneurismatic dermatofibromas, etc.), granulation tissue, hypertrophic scars and fibrous lesions, skin infections (sporotrichosis and cutaneous leishmaniasis), and inflammatory dermatoses (lichen simplex and stasis dermatitis). According to our results, the majority of the lesions exhibiting the RP were located on the extremities. Identified precipitating factors included the nodular shape, lesion composition and vascularization, skin pigmentation, and lesions' depth and thickness. These parameters lead to increased scattering and interference of light, producing a spectrum of colors that resemble a rainbow.

Abstract Image

Abstract Image

Abstract Image

“追逐彩虹”超越卡波西肉瘤的皮肤镜检查:一个小回顾。
皮肤镜下的彩虹图案(RP),也称为多色图案,其特点是具有多色外观,这是由于偏振光在穿透各种组织成分时分散造成的。根据光的散射、吸收和干涉的物理原理,它被分离成不同的波长,产生RP的光学效应。尽管RP被认为是卡波西肉瘤的高度特异性皮肤镜指标,但在医学文献中,它也被记录为其他非卡波西皮肤实体的非典型皮肤镜发现。我们的目的是提出两个不同的病例-色素基底细胞癌(pBCC)和动脉瘤性皮肤纤维瘤-在皮肤镜检查中显示RP,并对显示RP的皮肤状况进行彻底的回顾,揭示任何可能增加其在某些病变中发生可能性的易感因素。我们确定了33例病例报告和大规模研究,其中包括以RP存在为特征的各种实体,包括皮肤癌(默克尔细胞癌、BCC、黑色素瘤等)、附件肿瘤、特殊类型的痣(蓝色、深穿透)、血管病变(肢血管性皮炎、草莓血管瘤、血管角化瘤、动脉瘤性皮肤纤维瘤等)、肉芽组织、增生性疤痕和纤维病变、皮肤感染(孢子虫病和皮肤利什曼病)、炎症性皮肤病(单纯性地衣、瘀血性皮炎)。根据我们的结果,大多数显示RP的病变位于四肢。确定的沉淀因素包括结节形状、病变组成和血管化、皮肤色素沉着、病变深度和厚度。这些参数导致光的散射和干涉增加,产生类似彩虹的光谱。
本文章由计算机程序翻译,如有差异,请以英文原文为准。
求助全文
约1分钟内获得全文 求助全文
来源期刊
Dermatopathology
Dermatopathology DERMATOLOGY-
自引率
5.30%
发文量
39
审稿时长
11 weeks
×
引用
GB/T 7714-2015
复制
MLA
复制
APA
复制
导出至
BibTeX EndNote RefMan NoteFirst NoteExpress
×
提示
您的信息不完整,为了账户安全,请先补充。
现在去补充
×
提示
您因"违规操作"
具体请查看互助需知
我知道了
×
提示
确定
请完成安全验证×
copy
已复制链接
快去分享给好友吧!
我知道了
右上角分享
点击右上角分享
0
联系我们:info@booksci.cn Book学术提供免费学术资源搜索服务,方便国内外学者检索中英文文献。致力于提供最便捷和优质的服务体验。 Copyright © 2023 布克学术 All rights reserved.
京ICP备2023020795号-1
ghs 京公网安备 11010802042870号
Book学术文献互助
Book学术文献互助群
群 号:604180095
Book学术官方微信