PRAME Staining of Adnexal Lesions and Common Skin Cancer Types: Biomarker with Potential Diagnostic Utility.

IF 1.7 Q3 DERMATOLOGY
Hisham F Bahmad, John Alexis
{"title":"PRAME Staining of Adnexal Lesions and Common Skin Cancer Types: Biomarker with Potential Diagnostic Utility.","authors":"Hisham F Bahmad, John Alexis","doi":"10.3390/dermatopathology11040039","DOIUrl":null,"url":null,"abstract":"<p><p>PRAME (PReferentially expressed Antigen in MElanoma) is a tumor-associated antigen first identified in tumor-reactive T-cell clones derived from a patient with metastatic melanoma. Immunohistochemistry (IHC) for PRAME is useful for diagnostic purposes to support a suspected diagnosis of melanoma. Anecdotally, PRAME has been observed to stain sebaceous units in glands in background skin. We examined the expression of PRAME in adnexal lesions and common skin cancers to determine whether it is of potential diagnostic utility in supporting the differentiation between sebaceous and non-sebaceous lesions. IRB approval from Mount Sinai Medical Center (MSMC) was obtained. This is a single-center retrospective cohort analysis over a ten-year period (1 January 2012, and 31 December 2023). We used the pathological database of skin lesions, including sebaceous, sweat gland, and follicular lesions, in addition to basal cell carcinomas (BCCs) and squamous cell carcinomas (SCCs), from 81 patients who underwent shave/punch biopsies or surgical excisions. We evaluated the IHC staining percentage positivity and intensity for PRAME. Staining intensity was subcategorized into negative, weak, moderate, and strong, whereas expression percentage positivity was subcategorized into 0%, 1-25%, 26-50%, 51-75%, and 76-100%. Most sebaceous versus non-sebaceous lesions exhibited cytoplasmic staining of moderate to strong intensity in >75% of cells. PRAME has a sensitivity and specificity of 100.0% and 86.7%, respectively, to support distinguishing between sebaceous and non-sebaceous adnexal lesions (regardless of whether they are benign or malignant). BCCs and SCCs showed weak to moderate nuclear staining for PRAME in >75% of cells. None of the 13 lesions of hair follicle origin showed any staining. A total of 26 of the 32 lesions of sweat gland origin were negative while 6 (18.75%) showed positive staining. In conclusion, we confirm the potential utility of PRAME for supporting the distinction between sebaceous and non-sebaceous adnexal lesions on one hand, and on the other, distinguishing BCC and SCC that may show nuclear staining from sebaceous carcinoma that shows cytoplasmic staining.</p>","PeriodicalId":42885,"journal":{"name":"Dermatopathology","volume":"11 4","pages":"364-373"},"PeriodicalIF":1.7000,"publicationDate":"2024-12-12","publicationTypes":"Journal Article","fieldsOfStudy":null,"isOpenAccess":false,"openAccessPdf":"https://www.ncbi.nlm.nih.gov/pmc/articles/PMC11674263/pdf/","citationCount":"0","resultStr":null,"platform":"Semanticscholar","paperid":null,"PeriodicalName":"Dermatopathology","FirstCategoryId":"1085","ListUrlMain":"https://doi.org/10.3390/dermatopathology11040039","RegionNum":0,"RegionCategory":null,"ArticlePicture":[],"TitleCN":null,"AbstractTextCN":null,"PMCID":null,"EPubDate":"","PubModel":"","JCR":"Q3","JCRName":"DERMATOLOGY","Score":null,"Total":0}
引用次数: 0

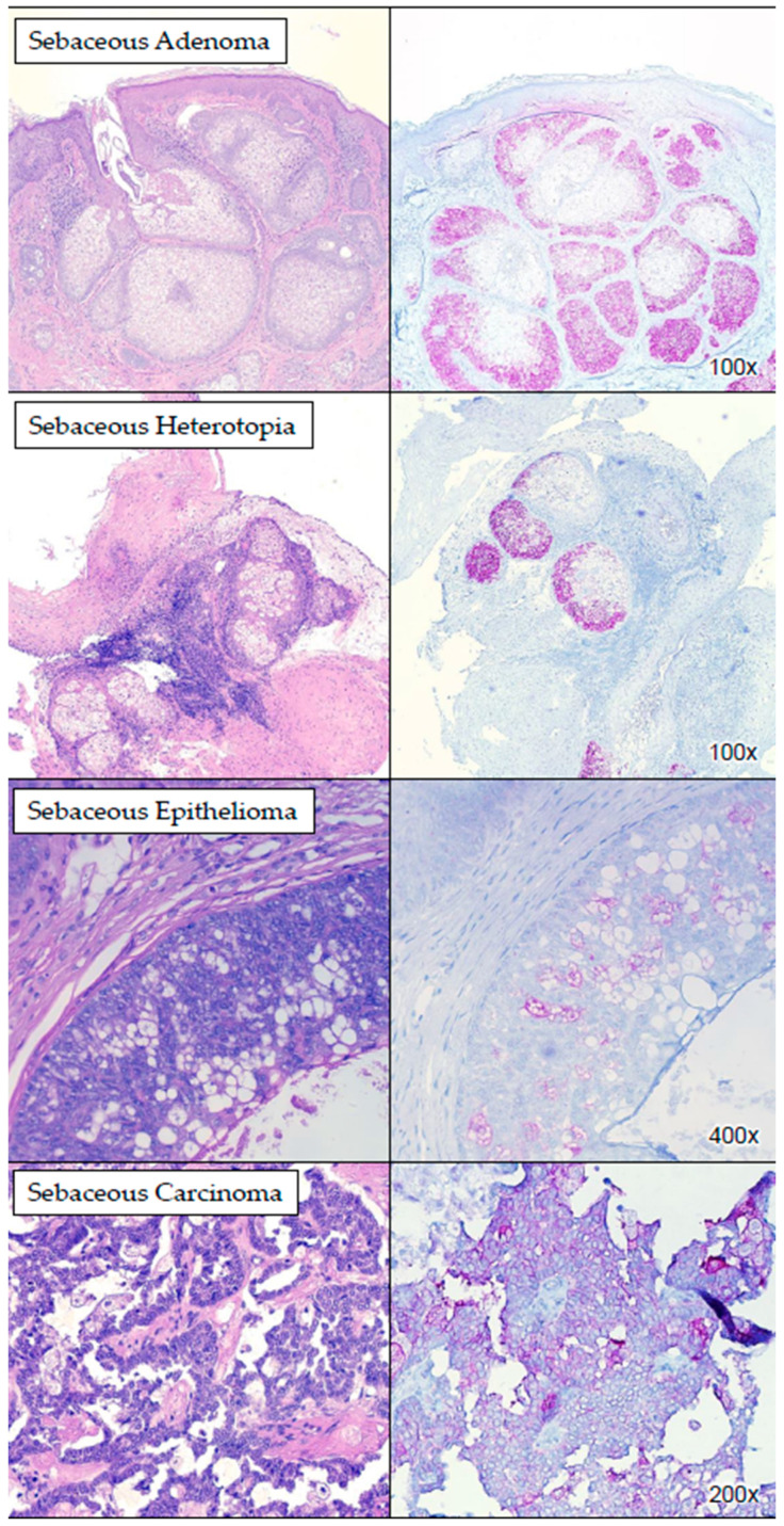
Abstract

PRAME (PReferentially expressed Antigen in MElanoma) is a tumor-associated antigen first identified in tumor-reactive T-cell clones derived from a patient with metastatic melanoma. Immunohistochemistry (IHC) for PRAME is useful for diagnostic purposes to support a suspected diagnosis of melanoma. Anecdotally, PRAME has been observed to stain sebaceous units in glands in background skin. We examined the expression of PRAME in adnexal lesions and common skin cancers to determine whether it is of potential diagnostic utility in supporting the differentiation between sebaceous and non-sebaceous lesions. IRB approval from Mount Sinai Medical Center (MSMC) was obtained. This is a single-center retrospective cohort analysis over a ten-year period (1 January 2012, and 31 December 2023). We used the pathological database of skin lesions, including sebaceous, sweat gland, and follicular lesions, in addition to basal cell carcinomas (BCCs) and squamous cell carcinomas (SCCs), from 81 patients who underwent shave/punch biopsies or surgical excisions. We evaluated the IHC staining percentage positivity and intensity for PRAME. Staining intensity was subcategorized into negative, weak, moderate, and strong, whereas expression percentage positivity was subcategorized into 0%, 1-25%, 26-50%, 51-75%, and 76-100%. Most sebaceous versus non-sebaceous lesions exhibited cytoplasmic staining of moderate to strong intensity in >75% of cells. PRAME has a sensitivity and specificity of 100.0% and 86.7%, respectively, to support distinguishing between sebaceous and non-sebaceous adnexal lesions (regardless of whether they are benign or malignant). BCCs and SCCs showed weak to moderate nuclear staining for PRAME in >75% of cells. None of the 13 lesions of hair follicle origin showed any staining. A total of 26 of the 32 lesions of sweat gland origin were negative while 6 (18.75%) showed positive staining. In conclusion, we confirm the potential utility of PRAME for supporting the distinction between sebaceous and non-sebaceous adnexal lesions on one hand, and on the other, distinguishing BCC and SCC that may show nuclear staining from sebaceous carcinoma that shows cytoplasmic staining.

Abstract Image

Abstract Image

Abstract Image

附件病变和常见皮肤癌类型的PRAME染色:具有潜在诊断效用的生物标志物。
PRAME(黑色素瘤中的优先表达抗原)是一种肿瘤相关抗原,首次在来自转移性黑色素瘤患者的肿瘤反应性t细胞克隆中发现。免疫组织化学(IHC) PRAME是有用的诊断目的,以支持黑色素瘤的疑似诊断。有趣的是,PRAME已被观察到染色皮脂腺单位在背景皮肤。我们检测了PRAME在附件病变和普通皮肤癌中的表达,以确定它是否具有潜在的诊断价值,以支持皮脂腺病变和非皮脂腺病变的区分。获得了西奈山医学中心(MSMC)的IRB批准。这是一项为期10年(2012年1月1日至2023年12月31日)的单中心回顾性队列分析。我们使用了81例患者的皮肤病变病理数据库,包括皮脂腺、汗腺和滤泡病变,以及基底细胞癌(BCCs)和鳞状细胞癌(SCCs),这些患者接受了刮刀/穿孔活检或手术切除。我们评估了PRAME的IHC染色阳性率和强度。染色强度分为阴性、弱、中、强,阳性表达率分为0%、1-25%、26-50%、51-75%、76-100%。大多数皮脂腺病变和非皮脂腺病变在约75%的细胞中显示中等至强强度的细胞质染色。PRAME在区分皮脂腺和非皮脂腺病变(无论其是良性还是恶性)方面的敏感性和特异性分别为100.0%和86.7%。bcc和SCCs在约75%的细胞中显示弱至中度PRAME核染色。13个毛囊起源病变均未见染色。32例汗腺起源病变中26例为阴性,6例(18.75%)为阳性。总之,我们证实了PRAME的潜在效用,一方面支持区分皮脂腺和非皮脂腺病变,另一方面,区分可能显示核染色的BCC和SCC与显示细胞质染色的皮脂腺癌。
本文章由计算机程序翻译,如有差异,请以英文原文为准。
求助全文
约1分钟内获得全文 求助全文
来源期刊
Dermatopathology
Dermatopathology DERMATOLOGY-
自引率
5.30%
发文量
39
审稿时长
11 weeks
×
引用
GB/T 7714-2015
复制
MLA
复制
APA
复制
导出至
BibTeX EndNote RefMan NoteFirst NoteExpress
×
提示
您的信息不完整,为了账户安全,请先补充。
现在去补充
×
提示
您因"违规操作"
具体请查看互助需知
我知道了
×
提示
确定
请完成安全验证×
copy
已复制链接
快去分享给好友吧!
我知道了
右上角分享
点击右上角分享
0
联系我们:info@booksci.cn Book学术提供免费学术资源搜索服务,方便国内外学者检索中英文文献。致力于提供最便捷和优质的服务体验。 Copyright © 2023 布克学术 All rights reserved.
京ICP备2023020795号-1
ghs 京公网安备 11010802042870号
Book学术文献互助
Book学术文献互助群
群 号:604180095
Book学术官方微信