Cutaneous epitheliotropic T-cell lymphoma in a sugar glider (Petaurus breviceps).

IF 1.4 3区 农林科学 Q3 DERMATOLOGY
Veterinary dermatology Pub Date : 2025-04-01 Epub Date: 2024-12-26 DOI:10.1111/vde.13318
Piercarlo Amati, Carla Dedola, Roberta Demontis, Chiara Brachelente
{"title":"Cutaneous epitheliotropic T-cell lymphoma in a sugar glider (Petaurus breviceps).","authors":"Piercarlo Amati, Carla Dedola, Roberta Demontis, Chiara Brachelente","doi":"10.1111/vde.13318","DOIUrl":null,"url":null,"abstract":"<p><p>A 3-year-old male sugar glider presented with pruritus and alopecia primarily affecting the back and neck regions. Dermatologic diagnostics ruled out common causes. Skin biopsies revealed cutaneous epitheliotropic T-cell lymphoma, a rare condition in sugar gliders. Despite treatment, the glider's condition worsened, leading to death. This case highlights the importance of thorough diagnostic evaluation in exotic pets.</p>","PeriodicalId":23599,"journal":{"name":"Veterinary dermatology","volume":" ","pages":"218-221"},"PeriodicalIF":1.4000,"publicationDate":"2025-04-01","publicationTypes":"Journal Article","fieldsOfStudy":null,"isOpenAccess":false,"openAccessPdf":"https://www.ncbi.nlm.nih.gov/pmc/articles/PMC11885096/pdf/","citationCount":"0","resultStr":null,"platform":"Semanticscholar","paperid":null,"PeriodicalName":"Veterinary dermatology","FirstCategoryId":"97","ListUrlMain":"https://doi.org/10.1111/vde.13318","RegionNum":3,"RegionCategory":"农林科学","ArticlePicture":[],"TitleCN":null,"AbstractTextCN":null,"PMCID":null,"EPubDate":"2024/12/26 0:00:00","PubModel":"Epub","JCR":"Q3","JCRName":"DERMATOLOGY","Score":null,"Total":0}
引用次数: 0

Abstract

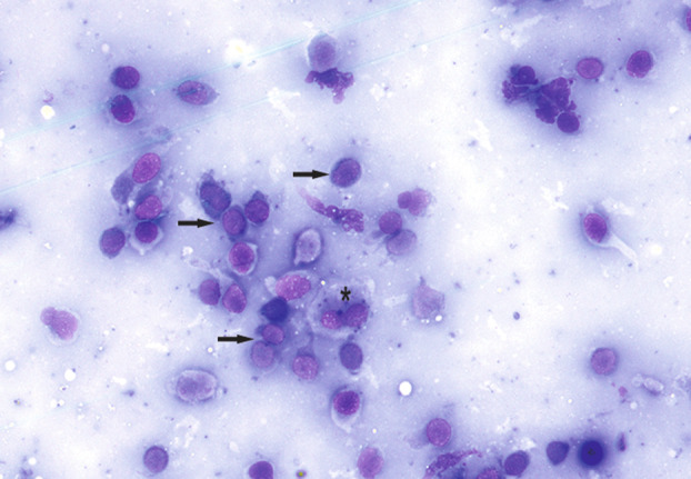
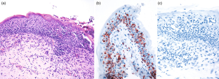
A 3-year-old male sugar glider presented with pruritus and alopecia primarily affecting the back and neck regions. Dermatologic diagnostics ruled out common causes. Skin biopsies revealed cutaneous epitheliotropic T-cell lymphoma, a rare condition in sugar gliders. Despite treatment, the glider's condition worsened, leading to death. This case highlights the importance of thorough diagnostic evaluation in exotic pets.

Abstract Image

Abstract Image

Abstract Image

糖滑翔机的皮肤嗜上皮性t细胞淋巴瘤。
一名三岁男性糖滑翔机提出瘙痒和脱发主要影响背部和颈部区域。皮肤科诊断排除了常见原因。皮肤活检显示皮肤嗜上皮性t细胞淋巴瘤,这是糖滑翔机中一种罕见的疾病。尽管接受了治疗,但这名滑翔机的病情恶化,最终导致死亡。本病例强调了对外来宠物进行彻底诊断评估的重要性。
本文章由计算机程序翻译,如有差异,请以英文原文为准。
求助全文
约1分钟内获得全文 求助全文
来源期刊
Veterinary dermatology
Veterinary dermatology 农林科学-兽医学
CiteScore
3.20
自引率
21.40%
发文量
92
审稿时长
12-24 weeks
期刊介绍: Veterinary Dermatology is a bi-monthly, peer-reviewed, international journal which publishes papers on all aspects of the skin of mammals, birds, reptiles, amphibians and fish. Scientific research papers, clinical case reports and reviews covering the following aspects of dermatology will be considered for publication: -Skin structure (anatomy, histology, ultrastructure) -Skin function (physiology, biochemistry, pharmacology, immunology, genetics) -Skin microbiology and parasitology -Dermatopathology -Pathogenesis, diagnosis and treatment of skin diseases -New disease entities
×
引用
GB/T 7714-2015
复制
MLA
复制
APA
复制
导出至
BibTeX EndNote RefMan NoteFirst NoteExpress
×
提示
您的信息不完整,为了账户安全,请先补充。
现在去补充
×
提示
您因"违规操作"
具体请查看互助需知
我知道了
×
提示
确定
请完成安全验证×
copy
已复制链接
快去分享给好友吧!
我知道了
右上角分享
点击右上角分享
0
联系我们:info@booksci.cn Book学术提供免费学术资源搜索服务,方便国内外学者检索中英文文献。致力于提供最便捷和优质的服务体验。 Copyright © 2023 布克学术 All rights reserved.
京ICP备2023020795号-1
ghs 京公网安备 11010802042870号
Book学术文献互助
Book学术文献互助群
群 号:604180095
Book学术官方微信