Intraoperative Hemodynamic Instability in a Patient With Ebstein's Anomaly Complicated With Eisenmenger Syndrome.

IF 0.5 Q4 CARDIAC & CARDIOVASCULAR SYSTEMS
Case Reports in Cardiology Pub Date : 2024-12-17 eCollection Date: 2024-01-01 DOI:10.1155/cric/8283566
Leonardo A Marquez Roa, Jorge Araujo-Duran, Richard Hofstra, Jibran Ikram, Sabry Ayad
{"title":"Intraoperative Hemodynamic Instability in a Patient With Ebstein's Anomaly Complicated With Eisenmenger Syndrome.","authors":"Leonardo A Marquez Roa, Jorge Araujo-Duran, Richard Hofstra, Jibran Ikram, Sabry Ayad","doi":"10.1155/cric/8283566","DOIUrl":null,"url":null,"abstract":"<p><p>Ebstein's anomaly is a rare congenital displacement of the tricuspid valve resulting in atrialization of the right ventricle. About half of the patients with Ebstein's anomaly also have atrial septal defects, which may lead to chronic shunting and development of Eisenmenger syndrome. We describe a case of a sexagenarian male patient with a history of Ebstein's anomaly complicated with Eisenmenger syndrome undergoing robotic laparoscopic adrenalectomy who presented hemodynamic instability, hypoxemia, and likely right-to-left shunting intraoperatively, as well as the actions taken to correct it and have a successful outcome. Perioperative management of adult patients with congenital heart defects is complex and requires careful monitoring. When available, intraoperative transesophageal echocardiography is strongly recommended. To prevent right-to-left shunting, maintaining elevated systemic vascular resistance with the use of vasopressors and low positive end-expiratory pressure (PEEP) ventilation is critical.</p>","PeriodicalId":51760,"journal":{"name":"Case Reports in Cardiology","volume":"2024 ","pages":"8283566"},"PeriodicalIF":0.5000,"publicationDate":"2024-12-17","publicationTypes":"Journal Article","fieldsOfStudy":null,"isOpenAccess":false,"openAccessPdf":"https://www.ncbi.nlm.nih.gov/pmc/articles/PMC11668542/pdf/","citationCount":"0","resultStr":null,"platform":"Semanticscholar","paperid":null,"PeriodicalName":"Case Reports in Cardiology","FirstCategoryId":"1085","ListUrlMain":"https://doi.org/10.1155/cric/8283566","RegionNum":0,"RegionCategory":null,"ArticlePicture":[],"TitleCN":null,"AbstractTextCN":null,"PMCID":null,"EPubDate":"2024/1/1 0:00:00","PubModel":"eCollection","JCR":"Q4","JCRName":"CARDIAC & CARDIOVASCULAR SYSTEMS","Score":null,"Total":0}
引用次数: 0

Abstract

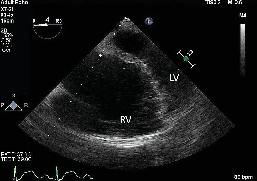
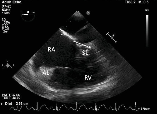
Ebstein's anomaly is a rare congenital displacement of the tricuspid valve resulting in atrialization of the right ventricle. About half of the patients with Ebstein's anomaly also have atrial septal defects, which may lead to chronic shunting and development of Eisenmenger syndrome. We describe a case of a sexagenarian male patient with a history of Ebstein's anomaly complicated with Eisenmenger syndrome undergoing robotic laparoscopic adrenalectomy who presented hemodynamic instability, hypoxemia, and likely right-to-left shunting intraoperatively, as well as the actions taken to correct it and have a successful outcome. Perioperative management of adult patients with congenital heart defects is complex and requires careful monitoring. When available, intraoperative transesophageal echocardiography is strongly recommended. To prevent right-to-left shunting, maintaining elevated systemic vascular resistance with the use of vasopressors and low positive end-expiratory pressure (PEEP) ventilation is critical.

Abstract Image

Abstract Image

Abstract Image

Ebstein畸形合并艾森曼格综合征患者术中血流动力学不稳定。
Ebstein畸形是一种罕见的先天性三尖瓣移位,导致右心室心房化。大约一半的Ebstein异常患者同时伴有房间隔缺损,这可能导致慢性分流和艾森曼格综合征的发展。我们描述了一例60多岁的男性患者,有Ebstein异常合并Eisenmenger综合征的病史,接受机器人腹腔镜肾上腺切除术,其血流动力学不稳定,低氧血症,术中可能出现右至左分流,以及采取的纠正措施,并取得了成功的结果。成人先天性心脏缺陷患者的围手术期管理是复杂的,需要仔细监测。如果条件允许,强烈推荐术中经食管超声心动图。为了防止右至左分流,使用血管加压剂和低呼气末正压通气来维持升高的全身血管阻力是至关重要的。
本文章由计算机程序翻译,如有差异,请以英文原文为准。
求助全文
约1分钟内获得全文 求助全文
来源期刊
Case Reports in Cardiology
Case Reports in Cardiology CARDIAC & CARDIOVASCULAR SYSTEMS-
自引率
0.00%
发文量
63
审稿时长
13 weeks
期刊介绍: Case Reports in Cardiology is a peer-reviewed, Open Access journal that publishes case reports and case series related to hypertension, arrhythmia, congestive heart failure, valvular heart disease, vascular disease, congenital heart disease and cardiomyopathy.
×
引用
GB/T 7714-2015
复制
MLA
复制
APA
复制
导出至
BibTeX EndNote RefMan NoteFirst NoteExpress
×
提示
您的信息不完整,为了账户安全,请先补充。
现在去补充
×
提示
您因"违规操作"
具体请查看互助需知
我知道了
×
提示
确定
请完成安全验证×
copy
已复制链接
快去分享给好友吧!
我知道了
右上角分享
点击右上角分享
0
联系我们:info@booksci.cn Book学术提供免费学术资源搜索服务,方便国内外学者检索中英文文献。致力于提供最便捷和优质的服务体验。 Copyright © 2023 布克学术 All rights reserved.
京ICP备2023020795号-1
ghs 京公网安备 11010802042870号
Book学术文献互助
Book学术文献互助群
群 号:604180095
Book学术官方微信