Effects of diabetes mellitus and cervical changes on scar healing after cesarean section.

IF 1.5 Q3 RADIOLOGY, NUCLEAR MEDICINE & MEDICAL IMAGING
Journal of Ultrasonography Pub Date : 2024-12-23 eCollection Date: 2024-12-01 DOI:10.15557/jou.2024.0035
Şükran Doğru, Huriye Ezveci, Fatih Akkuş, Fikriye Karanfil Yaman, Elifsena Canan Alp, Kazim Gezginç
{"title":"Effects of diabetes mellitus and cervical changes on scar healing after cesarean section.","authors":"Şükran Doğru, Huriye Ezveci, Fatih Akkuş, Fikriye Karanfil Yaman, Elifsena Canan Alp, Kazim Gezginç","doi":"10.15557/jou.2024.0035","DOIUrl":null,"url":null,"abstract":"<p><strong>Aim: </strong>This study aimed to evaluate the effects of diabetes mellitus and cervical dilatation on cesarean section scar healing.</p><p><strong>Material and methods: </strong>This prospective study included pregnant women diagnosed with diabetes mellitus and healthy control pregnant women. The study group was divided into active labor and pre-active labor based on cervical dilatation, and the diabetic group was categorized into gestational diabetes and preexisting diabetes mellitus. Vaginal ultrasound was performed in the entire study group at six months postpartum, and the location of the cesarean scar was evaluated.</p><p><strong>Results: </strong>There were 170 participants in the study; 85 were diabetic, and the remaining 85 were healthy controls. Niche frequency in diabetes mellitus cases was not different from that in healthy controls (<i>p</i> = 0.420). The mean residual myometrial thickness, proximal residual myometrial thickness, and distal residual myometrial thickness were lower in the diabetic group (<i>p</i> = 0.001). Residual myometrial thickness and niche presence in the diabetic group with active labor was not statistically different from the diabetic group without active labor (<i>p</i> >0.05). Additionally, residual myometrial thickness was thinner in the gestational diabetes mellitus group than in the preexisting diabetes mellitus group (3.61 ± 1.78 mm vs. 4.76 ± 2.82 mm, <i>p</i> = 0.032).</p><p><strong>Conclusions: </strong>There was no significant difference in niche frequency between diabetic cases and healthy controls. When comparing the gestational diabetes mellitus group and the preexisting diabetes mellitus groups, there was no difference in the presence of niches. Niche presence was more common in diet-regulated diabetic patients compared with the insulin-regulated group. Cervical dilatation at the time of cesarean section did not affect niche presence in diabetic cases.</p>","PeriodicalId":45612,"journal":{"name":"Journal of Ultrasonography","volume":"24 99","pages":"1-7"},"PeriodicalIF":1.5000,"publicationDate":"2024-12-23","publicationTypes":"Journal Article","fieldsOfStudy":null,"isOpenAccess":false,"openAccessPdf":"https://www.ncbi.nlm.nih.gov/pmc/articles/PMC11665051/pdf/","citationCount":"0","resultStr":null,"platform":"Semanticscholar","paperid":null,"PeriodicalName":"Journal of Ultrasonography","FirstCategoryId":"1085","ListUrlMain":"https://doi.org/10.15557/jou.2024.0035","RegionNum":0,"RegionCategory":null,"ArticlePicture":[],"TitleCN":null,"AbstractTextCN":null,"PMCID":null,"EPubDate":"2024/12/1 0:00:00","PubModel":"eCollection","JCR":"Q3","JCRName":"RADIOLOGY, NUCLEAR MEDICINE & MEDICAL IMAGING","Score":null,"Total":0}
引用次数: 0

Abstract

Aim: This study aimed to evaluate the effects of diabetes mellitus and cervical dilatation on cesarean section scar healing.

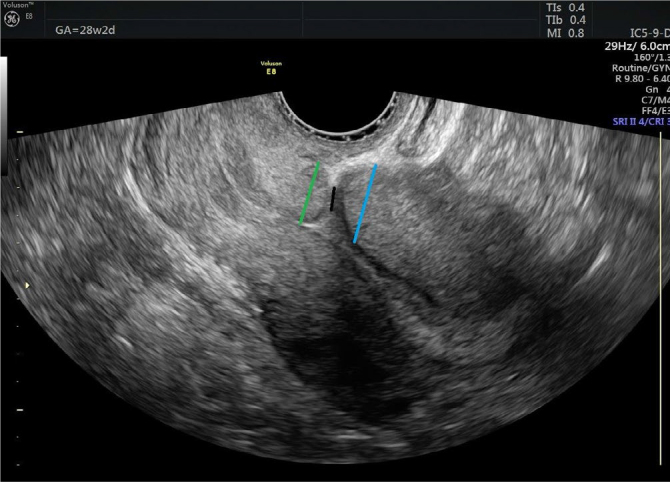
Material and methods: This prospective study included pregnant women diagnosed with diabetes mellitus and healthy control pregnant women. The study group was divided into active labor and pre-active labor based on cervical dilatation, and the diabetic group was categorized into gestational diabetes and preexisting diabetes mellitus. Vaginal ultrasound was performed in the entire study group at six months postpartum, and the location of the cesarean scar was evaluated.

Results: There were 170 participants in the study; 85 were diabetic, and the remaining 85 were healthy controls. Niche frequency in diabetes mellitus cases was not different from that in healthy controls (p = 0.420). The mean residual myometrial thickness, proximal residual myometrial thickness, and distal residual myometrial thickness were lower in the diabetic group (p = 0.001). Residual myometrial thickness and niche presence in the diabetic group with active labor was not statistically different from the diabetic group without active labor (p >0.05). Additionally, residual myometrial thickness was thinner in the gestational diabetes mellitus group than in the preexisting diabetes mellitus group (3.61 ± 1.78 mm vs. 4.76 ± 2.82 mm, p = 0.032).

Conclusions: There was no significant difference in niche frequency between diabetic cases and healthy controls. When comparing the gestational diabetes mellitus group and the preexisting diabetes mellitus groups, there was no difference in the presence of niches. Niche presence was more common in diet-regulated diabetic patients compared with the insulin-regulated group. Cervical dilatation at the time of cesarean section did not affect niche presence in diabetic cases.

Abstract Image

Abstract Image

Abstract Image

糖尿病及宫颈病变对剖宫产术后瘢痕愈合的影响。
目的:探讨糖尿病和宫颈扩张对剖宫产术后瘢痕愈合的影响。材料和方法:本前瞻性研究包括诊断为糖尿病的孕妇和健康对照孕妇。研究组根据宫颈扩张情况分为产程和产程前,糖尿病组分为妊娠期糖尿病组和既往糖尿病组。整个研究组在产后6个月进行阴道超声检查,评估剖宫产瘢痕的位置。结果:共纳入研究对象170人;85人为糖尿病患者,其余85人为健康对照组。糖尿病患者与健康对照组的生态位频率差异无统计学意义(p = 0.420)。糖尿病组的平均残余肌层厚度、近端残余肌层厚度和远端残余肌层厚度较低(p = 0.001)。产程积极的糖尿病组与未产程积极的糖尿病组的残余肌层厚度和生态位存在性无统计学差异(p < 0.05)。此外,妊娠期糖尿病组的残余肌层厚度较既往糖尿病组薄(3.61±1.78 mm比4.76±2.82 mm, p = 0.032)。结论:糖尿病患者与健康对照组的生态位频率无显著差异。当比较妊娠期糖尿病组和既往糖尿病组时,壁龛的存在没有差异。与胰岛素调节组相比,生态位在饮食调节组的糖尿病患者中更常见。剖宫产时宫颈扩张不影响糖尿病病例的生态位存在。
本文章由计算机程序翻译,如有差异,请以英文原文为准。
求助全文
约1分钟内获得全文 求助全文
来源期刊
Journal of Ultrasonography
Journal of Ultrasonography RADIOLOGY, NUCLEAR MEDICINE & MEDICAL IMAGING-
CiteScore
2.30
自引率
0.00%
发文量
58
审稿时长
20 weeks
×
引用
GB/T 7714-2015
复制
MLA
复制
APA
复制
导出至
BibTeX EndNote RefMan NoteFirst NoteExpress
×
提示
您的信息不完整,为了账户安全,请先补充。
现在去补充
×
提示
您因"违规操作"
具体请查看互助需知
我知道了
×
提示
确定
请完成安全验证×
copy
已复制链接
快去分享给好友吧!
我知道了
右上角分享
点击右上角分享
0
联系我们:info@booksci.cn Book学术提供免费学术资源搜索服务,方便国内外学者检索中英文文献。致力于提供最便捷和优质的服务体验。 Copyright © 2023 布克学术 All rights reserved.
京ICP备2023020795号-1
ghs 京公网安备 11010802042870号
Book学术文献互助
Book学术文献互助群
群 号:604180095
Book学术官方微信