Generalized Epileptic Seizures in Fibrodysplasia Ossificans Progressiva Harboring a Recurrent Heterozygous Variant of the ACVR1 Gene (R206H).

Case Reports in Genetics Pub Date : 2024-12-17 eCollection Date: 2024-01-01 DOI:10.1155/crig/9569275
Kenichi Mishima, Hiroshi Kitoh, Anna Shiraki, Kenta Sawamura, Yasunari Kamiya, Masaki Matsushita, Shiro Imagama
{"title":"Generalized Epileptic Seizures in Fibrodysplasia Ossificans Progressiva Harboring a Recurrent Heterozygous Variant of the <i>ACVR1</i> Gene (R206H).","authors":"Kenichi Mishima, Hiroshi Kitoh, Anna Shiraki, Kenta Sawamura, Yasunari Kamiya, Masaki Matsushita, Shiro Imagama","doi":"10.1155/crig/9569275","DOIUrl":null,"url":null,"abstract":"<p><p><b>Background:</b> Fibrodysplasia ossificans progressiva (FOP) is an ultra-rare disorder caused by heterozygous <i>ACVR1</i> pathogenic variants and is characterized by both progressive heterotopic ossification of the soft tissues and congenital malformations of the great toe. In addition to pathological skeletal metamorphosis, patients with FOP experience diverse neurological symptoms such as chronic pain and involuntary movements; however, little is known about the association between FOP and epileptic seizures. <b>Methods:</b> We report the case of a young boy with FOP who sustained multiple major fractures due to epileptic loss of consciousness. <b>Results:</b> Based on generalized electroencephalographic abnormalities and the presence of myoclonic movements, the patient was diagnosed with juvenile myoclonic epilepsy. The absence of seizures was well-controlled with valproic acid, whereas occasional abrupt myoclonic movements of the hands and feet persisted. <b>Conclusion:</b> This case expands our understanding of the phenotypic diversity of FOP and the functional versatility of <i>ACVR1</i>-mediated bone morphogenetic protein (BMP) signaling.</p>","PeriodicalId":30325,"journal":{"name":"Case Reports in Genetics","volume":"2024 ","pages":"9569275"},"PeriodicalIF":0.0000,"publicationDate":"2024-12-17","publicationTypes":"Journal Article","fieldsOfStudy":null,"isOpenAccess":false,"openAccessPdf":"https://www.ncbi.nlm.nih.gov/pmc/articles/PMC11668544/pdf/","citationCount":"0","resultStr":null,"platform":"Semanticscholar","paperid":null,"PeriodicalName":"Case Reports in Genetics","FirstCategoryId":"1085","ListUrlMain":"https://doi.org/10.1155/crig/9569275","RegionNum":0,"RegionCategory":null,"ArticlePicture":[],"TitleCN":null,"AbstractTextCN":null,"PMCID":null,"EPubDate":"2024/1/1 0:00:00","PubModel":"eCollection","JCR":"","JCRName":"","Score":null,"Total":0}
引用次数: 0

Abstract

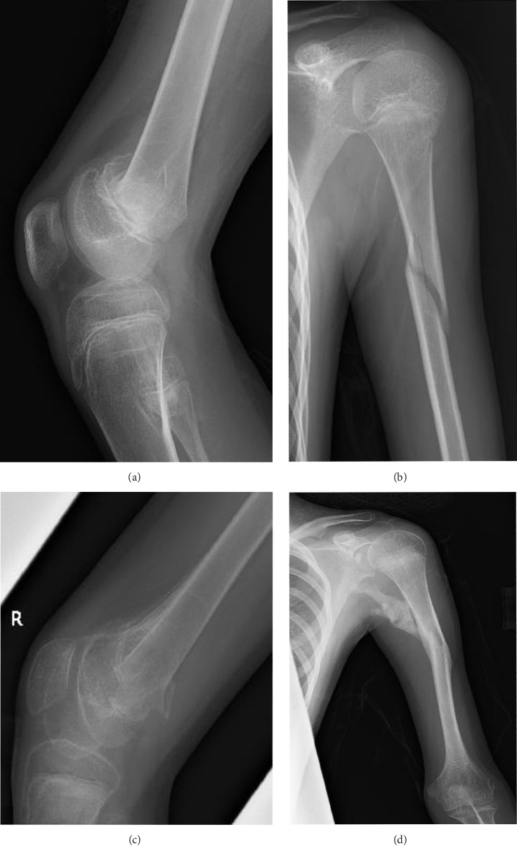
Background: Fibrodysplasia ossificans progressiva (FOP) is an ultra-rare disorder caused by heterozygous ACVR1 pathogenic variants and is characterized by both progressive heterotopic ossification of the soft tissues and congenital malformations of the great toe. In addition to pathological skeletal metamorphosis, patients with FOP experience diverse neurological symptoms such as chronic pain and involuntary movements; however, little is known about the association between FOP and epileptic seizures. Methods: We report the case of a young boy with FOP who sustained multiple major fractures due to epileptic loss of consciousness. Results: Based on generalized electroencephalographic abnormalities and the presence of myoclonic movements, the patient was diagnosed with juvenile myoclonic epilepsy. The absence of seizures was well-controlled with valproic acid, whereas occasional abrupt myoclonic movements of the hands and feet persisted. Conclusion: This case expands our understanding of the phenotypic diversity of FOP and the functional versatility of ACVR1-mediated bone morphogenetic protein (BMP) signaling.

Abstract Image

Abstract Image

携带ACVR1基因复发杂合变异(R206H)的进行性骨化纤维发育不良患者的全身癫痫发作
背景:进行性骨化纤维发育不良(FOP)是一种由杂合ACVR1致病变异引起的超罕见疾病,其特征是软组织进行性异位骨化和大脚趾先天性畸形。除了病理性骨骼变态外,FOP患者还会出现多种神经系统症状,如慢性疼痛和不自主运动;然而,对于FOP和癫痫发作之间的关系知之甚少。方法:我们报告一例年轻的男孩与FOP谁持续多处主要骨折由于癫痫性意识丧失。结果:根据全身性脑电图异常和肌阵挛性运动的存在,诊断为青少年肌阵挛性癫痫。丙戊酸很好地控制了癫痫发作,但偶尔突然的手足肌阵挛性运动持续存在。结论:该病例扩展了我们对FOP表型多样性和acvr1介导的骨形态发生蛋白(BMP)信号功能多样性的理解。
本文章由计算机程序翻译,如有差异,请以英文原文为准。
求助全文
约1分钟内获得全文 求助全文
来源期刊
自引率
0.00%
发文量
21
×
引用
GB/T 7714-2015
复制
MLA
复制
APA
复制
导出至
BibTeX EndNote RefMan NoteFirst NoteExpress
×
提示
您的信息不完整,为了账户安全,请先补充。
现在去补充
×
提示
您因"违规操作"
具体请查看互助需知
我知道了
×
提示
确定
请完成安全验证×
copy
已复制链接
快去分享给好友吧!
我知道了
右上角分享
点击右上角分享
0
联系我们:info@booksci.cn Book学术提供免费学术资源搜索服务,方便国内外学者检索中英文文献。致力于提供最便捷和优质的服务体验。 Copyright © 2023 布克学术 All rights reserved.
京ICP备2023020795号-1
ghs 京公网安备 11010802042870号
Book学术文献互助
Book学术文献互助群
群 号:604180095
Book学术官方微信