Concurrent Adrenal Adenoma, Unilateral Adrenal Hyperplasia, and Bilateral Renal Artery Stenosis in a 61-Year-Old Man.

IF 2.4 4区 医学 Q3 PUBLIC, ENVIRONMENTAL & OCCUPATIONAL HEALTH
Sanda Mrabet, Achraf Jaziri, Dorsaf Zellama, Abdellatif Achour, Yosra Hasni, Hamza Elfekih, Ibtissem Hasni Bouraoui, Mohamed Amine Chaari
{"title":"Concurrent Adrenal Adenoma, Unilateral Adrenal Hyperplasia, and Bilateral Renal Artery Stenosis in a 61-Year-Old Man.","authors":"Sanda Mrabet, Achraf Jaziri, Dorsaf Zellama, Abdellatif Achour, Yosra Hasni, Hamza Elfekih, Ibtissem Hasni Bouraoui, Mohamed Amine Chaari","doi":"10.1177/15579883241309769","DOIUrl":null,"url":null,"abstract":"<p><p>We report a case of a very rare association of adrenal adenoma, unilateral adrenal hyperplasia, and bilateral renal artery stenosis. A 61-year-old man with a remarkable history of two severe strokes was admitted to the Nephrology department with hypertension associated with severe hypokalemia and metabolic alkalosis. Doppler of renal arteries was not conclusive, so contrast-enhanced scanning was done revealing a left adrenal adenoma, right adrenal hyperplasia, and bilateral moderate renal artery stenosis. After control of blood pressure with central anti-hypertensive drugs and calcium channel blockers and normalization of kalemia under potassium supplementation, the hormonal analysis was done showing an elevated plasma aldosterone concentration at 1,568 pmol/L, with a direct renin concentration below the detection level. Primary aldosteronism was confirmed and the prescription of an anti-aldosterone agent led to the control of blood pressure and potassium plasmatic levels. In front of arterial hypertension with hypokalemia, we recommend the assessment of secondary and primary hyperaldosteronism in a systematic way since the association of two or even three etiologies of hyperaldosteronism is possible and an appropriate diagnosis is essential for adequate treatment.</p>","PeriodicalId":7429,"journal":{"name":"American Journal of Men's Health","volume":"18 6","pages":"15579883241309769"},"PeriodicalIF":2.4000,"publicationDate":"2024-11-01","publicationTypes":"Journal Article","fieldsOfStudy":null,"isOpenAccess":false,"openAccessPdf":"https://www.ncbi.nlm.nih.gov/pmc/articles/PMC11694272/pdf/","citationCount":"0","resultStr":null,"platform":"Semanticscholar","paperid":null,"PeriodicalName":"American Journal of Men's Health","FirstCategoryId":"3","ListUrlMain":"https://doi.org/10.1177/15579883241309769","RegionNum":4,"RegionCategory":"医学","ArticlePicture":[],"TitleCN":null,"AbstractTextCN":null,"PMCID":null,"EPubDate":"","PubModel":"","JCR":"Q3","JCRName":"PUBLIC, ENVIRONMENTAL & OCCUPATIONAL HEALTH","Score":null,"Total":0}
引用次数: 0

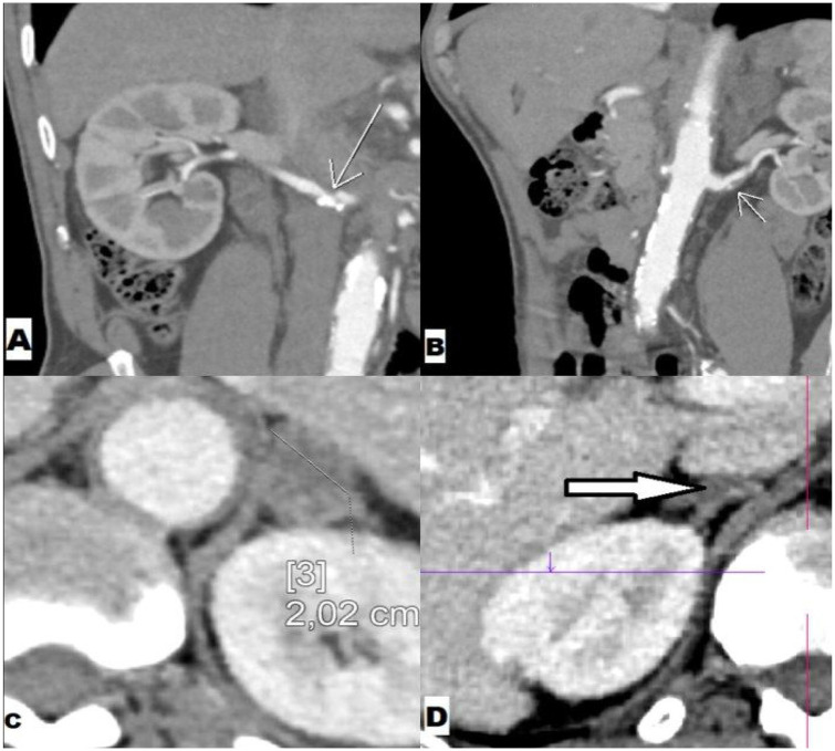
Abstract

We report a case of a very rare association of adrenal adenoma, unilateral adrenal hyperplasia, and bilateral renal artery stenosis. A 61-year-old man with a remarkable history of two severe strokes was admitted to the Nephrology department with hypertension associated with severe hypokalemia and metabolic alkalosis. Doppler of renal arteries was not conclusive, so contrast-enhanced scanning was done revealing a left adrenal adenoma, right adrenal hyperplasia, and bilateral moderate renal artery stenosis. After control of blood pressure with central anti-hypertensive drugs and calcium channel blockers and normalization of kalemia under potassium supplementation, the hormonal analysis was done showing an elevated plasma aldosterone concentration at 1,568 pmol/L, with a direct renin concentration below the detection level. Primary aldosteronism was confirmed and the prescription of an anti-aldosterone agent led to the control of blood pressure and potassium plasmatic levels. In front of arterial hypertension with hypokalemia, we recommend the assessment of secondary and primary hyperaldosteronism in a systematic way since the association of two or even three etiologies of hyperaldosteronism is possible and an appropriate diagnosis is essential for adequate treatment.

Abstract Image

Abstract Image

Abstract Image

并发肾上腺腺瘤、单侧肾上腺增生及双侧肾动脉狭窄1例。
我们报告一个非常罕见的肾上腺腺瘤、单侧肾上腺增生和双侧肾动脉狭窄的病例。一位61岁男性,有两次严重中风病史,因高血压合并严重低钾血症和代谢性碱中毒被肾内科收治。肾动脉多普勒检查结果不确定,因此增强扫描显示左侧肾上腺腺瘤,右侧肾上腺增生,双侧中度肾动脉狭窄。在使用中枢性降压药和钙通道阻滞剂控制血压,补钾使血钾正常化后,激素分析显示血浆醛固酮浓度升高至1568 pmol/L,直接肾素浓度低于检测水平。原发性醛固酮增多症被证实,抗醛固酮药物的处方导致血压和钾血浆水平的控制。在动脉高血压合并低钾血症时,我们建议系统地评估继发性和原发性高醛固酮增多症,因为高醛固酮增多症的两种甚至三种病因可能存在关联,适当的诊断对于充分的治疗至关重要。
本文章由计算机程序翻译,如有差异,请以英文原文为准。
求助全文
约1分钟内获得全文 求助全文
来源期刊
American Journal of Men's Health
American Journal of Men's Health PUBLIC, ENVIRONMENTAL & OCCUPATIONAL HEALTH-
CiteScore
3.70
自引率
4.30%
发文量
107
审稿时长
15 weeks
期刊介绍: American Journal of Men"s Health will be a core resource for cutting-edge information regarding men"s health and illness. The Journal will publish papers from all health, behavioral and social disciplines, including but not limited to medicine, nursing, allied health, public health, health psychology/behavioral medicine, and medical sociology and anthropology.
×
引用
GB/T 7714-2015
复制
MLA
复制
APA
复制
导出至
BibTeX EndNote RefMan NoteFirst NoteExpress
×
提示
您的信息不完整,为了账户安全,请先补充。
现在去补充
×
提示
您因"违规操作"
具体请查看互助需知
我知道了
×
提示
确定
请完成安全验证×
copy
已复制链接
快去分享给好友吧!
我知道了
右上角分享
点击右上角分享
0
联系我们:info@booksci.cn Book学术提供免费学术资源搜索服务,方便国内外学者检索中英文文献。致力于提供最便捷和优质的服务体验。 Copyright © 2023 布克学术 All rights reserved.
京ICP备2023020795号-1
ghs 京公网安备 11010802042870号
Book学术文献互助
Book学术文献互助群
群 号:604180095
Book学术官方微信