ALK Inhibition in a Patient with Inflammatory Myofibroblastic Tumor Harboring CARS1-ALK Fusion.

IF 3.8 2区 医学 Q2 ONCOLOGY
Cancer Research and Treatment Pub Date : 2025-07-01 Epub Date: 2024-12-18 DOI:10.4143/crt.2024.1184
Songji Choi, Miso Kim, Sheehyun Kim, Taekeun Park, Yoonjin Kwak, Jeong Mo Bae, Hongseok Yun, Jee Hyun Kim
{"title":"ALK Inhibition in a Patient with Inflammatory Myofibroblastic Tumor Harboring CARS1-ALK Fusion.","authors":"Songji Choi, Miso Kim, Sheehyun Kim, Taekeun Park, Yoonjin Kwak, Jeong Mo Bae, Hongseok Yun, Jee Hyun Kim","doi":"10.4143/crt.2024.1184","DOIUrl":null,"url":null,"abstract":"<p><p>Inflammatory myofibroblastic tumor (IMT) is a rare entity, primarily affecting young individuals, often involving the abdomen, pelvis, or lung. Approximately 50% of IMTs harbor anaplastic lymphoma kinase (ALK) gene rearrangements, making ALK inhibitors a viable treatment. We report a case of a 40-year-old female with metastatic IMT harboring a CARS1-ALK fusion. Initial chemotherapy failed, but targeted therapy with alectinib through the KOrean Precision Medicine Networking Group Study of MOlecular profiling guided therapy based on genomic alterations in advanced Solid tumors (KOSMOS)-II study led to significant tumor regression and ongoing, durable clinical improvement of 19 months. This case highlights the importance of precision medicine and raises the reappraisal of targeted agents outside of approved indications for rare cancers with actionable genomic alterations.</p>","PeriodicalId":49094,"journal":{"name":"Cancer Research and Treatment","volume":" ","pages":"899-904"},"PeriodicalIF":3.8000,"publicationDate":"2025-07-01","publicationTypes":"Journal Article","fieldsOfStudy":null,"isOpenAccess":false,"openAccessPdf":"https://www.ncbi.nlm.nih.gov/pmc/articles/PMC12263234/pdf/","citationCount":"0","resultStr":null,"platform":"Semanticscholar","paperid":null,"PeriodicalName":"Cancer Research and Treatment","FirstCategoryId":"3","ListUrlMain":"https://doi.org/10.4143/crt.2024.1184","RegionNum":2,"RegionCategory":"医学","ArticlePicture":[],"TitleCN":null,"AbstractTextCN":null,"PMCID":null,"EPubDate":"2024/12/18 0:00:00","PubModel":"Epub","JCR":"Q2","JCRName":"ONCOLOGY","Score":null,"Total":0}
引用次数: 0

Abstract

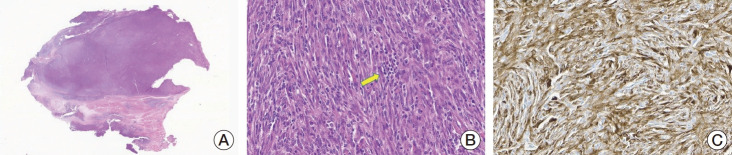
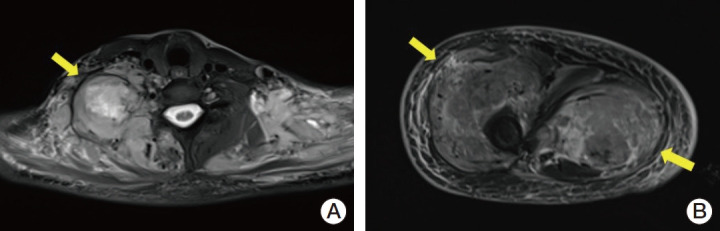
Inflammatory myofibroblastic tumor (IMT) is a rare entity, primarily affecting young individuals, often involving the abdomen, pelvis, or lung. Approximately 50% of IMTs harbor anaplastic lymphoma kinase (ALK) gene rearrangements, making ALK inhibitors a viable treatment. We report a case of a 40-year-old female with metastatic IMT harboring a CARS1-ALK fusion. Initial chemotherapy failed, but targeted therapy with alectinib through the KOrean Precision Medicine Networking Group Study of MOlecular profiling guided therapy based on genomic alterations in advanced Solid tumors (KOSMOS)-II study led to significant tumor regression and ongoing, durable clinical improvement of 19 months. This case highlights the importance of precision medicine and raises the reappraisal of targeted agents outside of approved indications for rare cancers with actionable genomic alterations.

Abstract Image

Abstract Image

Abstract Image

含有CARS1-ALK融合的炎性肌成纤维肿瘤患者的ALK抑制
炎性肌纤维母细胞瘤(IMT)是一种罕见的肿瘤,主要影响年轻人,常累及腹部、盆腔或肺部。约50%的IMT携带ALK基因重排,因此ALK抑制剂是一种可行的治疗方法。我们报告了一例携带CARS1-ALK融合基因的40岁女性转移性IMT患者。最初的化疗失败了,但通过 KOrean Precision Medicine Networking Group Study of MOlecular profiling guided therapy based on genomic alterations in advanced Solid tumors (KOSMOS)-II 研究(基于晚期实体瘤基因组改变的分子图谱指导治疗的 KOrean Precision Medicine Networking Group 研究(KOSMOS)-II)使用阿来替尼进行靶向治疗后,肿瘤明显消退,临床症状持续、持久地改善了 19 个月。该病例凸显了精准医疗的重要性,并提出了在已获批准的适应症之外,重新评估针对具有可操作基因组改变的罕见癌症的靶向药物。
本文章由计算机程序翻译,如有差异,请以英文原文为准。
求助全文
约1分钟内获得全文 求助全文
来源期刊
CiteScore
8.00
自引率
2.20%
发文量
126
审稿时长
>12 weeks
期刊介绍: Cancer Research and Treatment is a peer-reviewed open access publication of the Korean Cancer Association. It is published quarterly, one volume per year. Abbreviated title is Cancer Res Treat. It accepts manuscripts relevant to experimental and clinical cancer research. Subjects include carcinogenesis, tumor biology, molecular oncology, cancer genetics, tumor immunology, epidemiology, predictive markers and cancer prevention, pathology, cancer diagnosis, screening and therapies including chemotherapy, surgery, radiation therapy, immunotherapy, gene therapy, multimodality treatment and palliative care.
×
引用
GB/T 7714-2015
复制
MLA
复制
APA
复制
导出至
BibTeX EndNote RefMan NoteFirst NoteExpress
×
提示
您的信息不完整,为了账户安全,请先补充。
现在去补充
×
提示
您因"违规操作"
具体请查看互助需知
我知道了
×
提示
确定
请完成安全验证×
copy
已复制链接
快去分享给好友吧!
我知道了
右上角分享
点击右上角分享
0
联系我们:info@booksci.cn Book学术提供免费学术资源搜索服务,方便国内外学者检索中英文文献。致力于提供最便捷和优质的服务体验。 Copyright © 2023 布克学术 All rights reserved.
京ICP备2023020795号-1
ghs 京公网安备 11010802042870号
Book学术文献互助
Book学术文献互助群
群 号:604180095
Book学术官方微信