Histopathological Assessment of Tricalcium Aluminate-free Mineral Trioxide Aggregate and Two Antibacterial Enhanced Mineral Trioxide Aggregates As Pulpotomy Agents in Rat Model.

IF 2 Q3 DENTISTRY, ORAL SURGERY & MEDICINE
Harsh Baldawa, Vignesh Ravindran, Ganesh Jeevanandan, Abirami Arthanari, Kavalipurapu Venkata Teja, Gianrico Spagnuolo, Carlo Rengo, Flavia Iaculli, Mariangela Cernera
{"title":"Histopathological Assessment of Tricalcium Aluminate-free Mineral Trioxide Aggregate and Two Antibacterial Enhanced Mineral Trioxide Aggregates As Pulpotomy Agents in Rat Model.","authors":"Harsh Baldawa, Vignesh Ravindran, Ganesh Jeevanandan, Abirami Arthanari, Kavalipurapu Venkata Teja, Gianrico Spagnuolo, Carlo Rengo, Flavia Iaculli, Mariangela Cernera","doi":"10.14744/eej.2024.53315","DOIUrl":null,"url":null,"abstract":"<p><strong>Objective: </strong>To evaluate the effect of a newly developed MTA-based material and two antibacterial-enhanced MTAs as pulp capping materials in immature permanent dental elements underwent full pulpotomy.</p><p><strong>Methods: </strong>The present animal study included 20 Wistar albino rats that, after full pulpotomy, were randomly divided into 4 groups receiving different MTA formulations as pulp capping materials: conventional MTA, Tricalcium aluminate (TCA)- free MTA, and MTA enhanced with metronidazole or doxycycline. Histopathological assessments were carried out at 7- and 28-days post-treatment to evaluate dentinal bridge formation, inflammatory reactions, pulp tissue necrosis and internal resorption.</p><p><strong>Results: </strong>Seven days post-treatment, all groups exhibited inflammation and pulp necrosis, that were minimal in Groups III and IV than Group I. Group II showed a statistically significant difference only in terms of pulp necrosis (p<0.001). At 28-days all Groups showed slight inflammation and pulp necrosis, mainly in Groups I. Dentinal bridge formation was appreciated in all samples belonging to Groups II, III and IV and in 7/10 specimens of Group I, resulting in a statistically significant difference (p≤0.001).</p><p><strong>Conclusion: </strong>TCA-free MTA and antibiotic-enhanced MTAs showed superior performances in dentinal bridge formation and exhibited minimal pulpal necrosis than conventional MTA. The inclusion of antibiotics might contribute to create a more sterile environment that would improve the outcomes, favoring deposition of a mineralized matrix. However, further studies are needed to support these preliminary results. (EEJ-2024-10-157).</p>","PeriodicalId":11860,"journal":{"name":"European Endodontic Journal","volume":"9 4","pages":"344-351"},"PeriodicalIF":2.0000,"publicationDate":"2024-12-01","publicationTypes":"Journal Article","fieldsOfStudy":null,"isOpenAccess":false,"openAccessPdf":"https://www.ncbi.nlm.nih.gov/pmc/articles/PMC11685525/pdf/","citationCount":"0","resultStr":null,"platform":"Semanticscholar","paperid":null,"PeriodicalName":"European Endodontic Journal","FirstCategoryId":"1085","ListUrlMain":"https://doi.org/10.14744/eej.2024.53315","RegionNum":0,"RegionCategory":null,"ArticlePicture":[],"TitleCN":null,"AbstractTextCN":null,"PMCID":null,"EPubDate":"","PubModel":"","JCR":"Q3","JCRName":"DENTISTRY, ORAL SURGERY & MEDICINE","Score":null,"Total":0}
引用次数: 0

Abstract

Objective: To evaluate the effect of a newly developed MTA-based material and two antibacterial-enhanced MTAs as pulp capping materials in immature permanent dental elements underwent full pulpotomy.

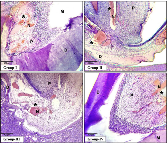
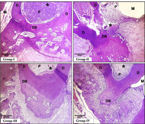
Methods: The present animal study included 20 Wistar albino rats that, after full pulpotomy, were randomly divided into 4 groups receiving different MTA formulations as pulp capping materials: conventional MTA, Tricalcium aluminate (TCA)- free MTA, and MTA enhanced with metronidazole or doxycycline. Histopathological assessments were carried out at 7- and 28-days post-treatment to evaluate dentinal bridge formation, inflammatory reactions, pulp tissue necrosis and internal resorption.

Results: Seven days post-treatment, all groups exhibited inflammation and pulp necrosis, that were minimal in Groups III and IV than Group I. Group II showed a statistically significant difference only in terms of pulp necrosis (p<0.001). At 28-days all Groups showed slight inflammation and pulp necrosis, mainly in Groups I. Dentinal bridge formation was appreciated in all samples belonging to Groups II, III and IV and in 7/10 specimens of Group I, resulting in a statistically significant difference (p≤0.001).

Conclusion: TCA-free MTA and antibiotic-enhanced MTAs showed superior performances in dentinal bridge formation and exhibited minimal pulpal necrosis than conventional MTA. The inclusion of antibiotics might contribute to create a more sterile environment that would improve the outcomes, favoring deposition of a mineralized matrix. However, further studies are needed to support these preliminary results. (EEJ-2024-10-157).

Abstract Image

Abstract Image

不含铝酸三钙的三氧化三矿物聚集体和两种抗菌增强的三氧化三矿物聚集体作为大鼠断髓剂的组织病理学评价。
目的评估一种新开发的基于 MTA 的材料和两种抗菌增强型 MTA 作为牙髓封闭材料对接受全牙髓切断术的未成熟恒牙牙髓的影响:本动物研究包括 20 只 Wistar 白化大鼠,在进行全牙髓切断术后,将其随机分为 4 组,接受不同的 MTA 配方作为牙髓封闭材料:传统 MTA、不含铝酸三钙 (TCA) 的 MTA 和使用甲硝唑或强力霉素增强的 MTA。在治疗后 7 天和 28 天进行组织病理学评估,以评价牙本质桥的形成、炎症反应、牙髓组织坏死和内部吸收:结果:治疗后七天,所有组都出现了炎症和牙髓坏死,其中第三组和第四组的炎症和牙髓坏死程度比第一组轻:与传统的 MTA 相比,不含三氯乙酸的 MTA 和抗生素增强型 MTA 在牙本质桥形成方面表现更优,牙髓坏死也最小。抗生素的加入可能有助于创造更无菌的环境,从而改善结果,有利于矿化基质的沉积。不过,还需要进一步的研究来支持这些初步结果。(EEJ-2024-10-157)。
本文章由计算机程序翻译,如有差异,请以英文原文为准。
求助全文
约1分钟内获得全文 求助全文
来源期刊
European Endodontic Journal
European Endodontic Journal DENTISTRY, ORAL SURGERY & MEDICINE-
CiteScore
3.40
自引率
5.60%
发文量
25
×
引用
GB/T 7714-2015
复制
MLA
复制
APA
复制
导出至
BibTeX EndNote RefMan NoteFirst NoteExpress
×
提示
您的信息不完整,为了账户安全,请先补充。
现在去补充
×
提示
您因"违规操作"
具体请查看互助需知
我知道了
×
提示
确定
请完成安全验证×
copy
已复制链接
快去分享给好友吧!
我知道了
右上角分享
点击右上角分享
0
联系我们:info@booksci.cn Book学术提供免费学术资源搜索服务,方便国内外学者检索中英文文献。致力于提供最便捷和优质的服务体验。 Copyright © 2023 布克学术 All rights reserved.
京ICP备2023020795号-1
ghs 京公网安备 11010802042870号
Book学术文献互助
Book学术文献互助群
群 号:604180095
Book学术官方微信